Isolated Intramedullary Spinal Neurenteric Cysts: Case Report and Literature Review.

Asian journal of neurosurgery Pub Date : 2025-03-18 eCollection Date: 2025-06-01 DOI:10.1055/s-0045-1806727
Sunil Buddappa, Rajesh Kumar Barooah, B K Baishya, Fazlallah Afshangian, Daniel Encarnacion-Santos, Gianluca Scalia, Giuseppe E Umana, Bipin Chaurasia
{"title":"Isolated Intramedullary Spinal Neurenteric Cysts: Case Report and Literature Review.","authors":"Sunil Buddappa, Rajesh Kumar Barooah, B K Baishya, Fazlallah Afshangian, Daniel Encarnacion-Santos, Gianluca Scalia, Giuseppe E Umana, Bipin Chaurasia","doi":"10.1055/s-0045-1806727","DOIUrl":null,"url":null,"abstract":"<p><p>Neurenteric cysts, also known as endodermal or enterogenous cysts, are uncommon benign congenital lesions of the central nervous system (CNS) characterized by an epithelial lining of endodermal origin. These cysts predominantly affect the spinal canal and cord. Intramedullary neurenteric cysts are exceptionally rare, with fewer than 100 reported isolated cases. Their distinct characteristics, clinical presentation, and challenges in diagnosis and treatment necessitate a detailed case analysis and review. We present the case of a 33-year-old male patient with an intriguing case of an isolated intramedullary cystic lesion in the cervicodorsal spinal cord, extending from the cervicobulbar junction to the D4 vertebra level. The patient's clinical presentation included a 6-month history of progressive weakness in the left upper limb, accompanied by pain and numbness. Neurological examination revealed muscle atrophy, reduced strength, spastic paraparesis, and sensory deficits. Radiological findings demonstrated an expansile cystic lesion with marked signal heterogeneity, intense enhancement, and the presence of a \"cap sign\" indicative of subacute hemorrhage. Diagnosis of spinal intramedullary neurenteric cysts is reliant on histopathology. Surgical removal remains the recommended treatment, as a conservative approach can lead to irreversible neurological deficits. However, complete resection may be challenging due to potential adhesions to surrounding structures. In such cases, a more conservative approach, avoiding cyst spillage into the subarachnoid space, is preferred. Vigilant radiological follow-up is crucial to monitor for potential cyst recurrence. These rare cases highlight the need for further scientific literature and improved diagnostic and therapeutic strategies.</p>","PeriodicalId":94300,"journal":{"name":"Asian journal of neurosurgery","volume":"20 2","pages":"408-412"},"PeriodicalIF":0.0000,"publicationDate":"2025-03-18","publicationTypes":"Journal Article","fieldsOfStudy":null,"isOpenAccess":false,"openAccessPdf":"https://www.ncbi.nlm.nih.gov/pmc/articles/PMC12136934/pdf/","citationCount":"0","resultStr":null,"platform":"Semanticscholar","paperid":null,"PeriodicalName":"Asian journal of neurosurgery","FirstCategoryId":"1085","ListUrlMain":"https://doi.org/10.1055/s-0045-1806727","RegionNum":0,"RegionCategory":null,"ArticlePicture":[],"TitleCN":null,"AbstractTextCN":null,"PMCID":null,"EPubDate":"2025/6/1 0:00:00","PubModel":"eCollection","JCR":"","JCRName":"","Score":null,"Total":0}
引用次数: 0

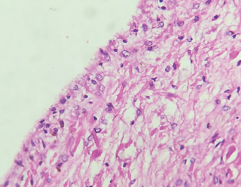
Abstract

Neurenteric cysts, also known as endodermal or enterogenous cysts, are uncommon benign congenital lesions of the central nervous system (CNS) characterized by an epithelial lining of endodermal origin. These cysts predominantly affect the spinal canal and cord. Intramedullary neurenteric cysts are exceptionally rare, with fewer than 100 reported isolated cases. Their distinct characteristics, clinical presentation, and challenges in diagnosis and treatment necessitate a detailed case analysis and review. We present the case of a 33-year-old male patient with an intriguing case of an isolated intramedullary cystic lesion in the cervicodorsal spinal cord, extending from the cervicobulbar junction to the D4 vertebra level. The patient's clinical presentation included a 6-month history of progressive weakness in the left upper limb, accompanied by pain and numbness. Neurological examination revealed muscle atrophy, reduced strength, spastic paraparesis, and sensory deficits. Radiological findings demonstrated an expansile cystic lesion with marked signal heterogeneity, intense enhancement, and the presence of a "cap sign" indicative of subacute hemorrhage. Diagnosis of spinal intramedullary neurenteric cysts is reliant on histopathology. Surgical removal remains the recommended treatment, as a conservative approach can lead to irreversible neurological deficits. However, complete resection may be challenging due to potential adhesions to surrounding structures. In such cases, a more conservative approach, avoiding cyst spillage into the subarachnoid space, is preferred. Vigilant radiological follow-up is crucial to monitor for potential cyst recurrence. These rare cases highlight the need for further scientific literature and improved diagnostic and therapeutic strategies.

Abstract Image

Abstract Image

孤立髓内脊髓神经肠囊肿:1例报告及文献复习。
神经肠囊肿,也称为内胚层或肠源性囊肿,是少见的中枢神经系统(CNS)先天性良性病变,其特征为内胚层上皮。这些囊肿主要影响椎管和脊髓。髓内神经肾囊肿是非常罕见的,只有不到100例报告的孤立病例。其独特的特点,临床表现和挑战,在诊断和治疗需要详细的病例分析和回顾。我们报告一例33岁男性患者,其颈背脊髓出现孤立的髓内囊性病变,从颈球交界处延伸至D4椎体水平。患者的临床表现包括6个月的左上肢进行性无力,伴有疼痛和麻木。神经学检查显示肌肉萎缩、力量减弱、痉挛性截瘫和感觉缺陷。影像学表现为扩张性囊性病变,信号不均匀,强化明显,伴有“帽状征”,提示亚急性出血。脊髓髓内神经肾囊肿的诊断依赖于组织病理学。手术切除仍然是推荐的治疗方法,因为保守的方法可能导致不可逆的神经功能缺损。然而,由于与周围结构的潜在粘连,完全切除可能具有挑战性。在这种情况下,首选更保守的方法,避免囊肿溢入蛛网膜下腔。警惕的放射随访对监测潜在的囊肿复发至关重要。这些罕见的病例强调了进一步的科学文献和改进的诊断和治疗策略的必要性。
本文章由计算机程序翻译,如有差异,请以英文原文为准。
求助全文
约1分钟内获得全文 求助全文
来源期刊
自引率
0.00%
发文量
0
×
引用
GB/T 7714-2015
复制
MLA
复制
APA
复制
导出至
BibTeX EndNote RefMan NoteFirst NoteExpress
×
提示
您的信息不完整,为了账户安全,请先补充。
现在去补充
×
提示
您因"违规操作"
具体请查看互助需知
我知道了
×
提示
确定
请完成安全验证×
copy
已复制链接
快去分享给好友吧!
我知道了
右上角分享
点击右上角分享
0
联系我们:info@booksci.cn Book学术提供免费学术资源搜索服务,方便国内外学者检索中英文文献。致力于提供最便捷和优质的服务体验。 Copyright © 2023 布克学术 All rights reserved.
京ICP备2023020795号-1
ghs 京公网安备 11010802042870号
Book学术文献互助
Book学术文献互助群
群 号:604180095
Book学术官方微信