Anterior Clinoid Process Metastasis with Sudden Loss of Vision: Role of Emergency Optic Nerve Decompression.

Asian journal of neurosurgery Pub Date : 2025-03-24 eCollection Date: 2025-06-01 DOI:10.1055/s-0045-1806729
Marta Rico Pereira, Fernando Muñoz Hernández
{"title":"Anterior Clinoid Process Metastasis with Sudden Loss of Vision: Role of Emergency Optic Nerve Decompression.","authors":"Marta Rico Pereira, Fernando Muñoz Hernández","doi":"10.1055/s-0045-1806729","DOIUrl":null,"url":null,"abstract":"<p><p>Anterior clinoid process metastases are rare. We present an unusual case of anterior clinoid process metastasis with sudden deterioration of visual function requiring emergency optic nerve decompression, resulting in recovery of visual function. The patient was a 41-year-old man with a diagnosis of leiomyosarcoma of the radius, operated on in 2014, with bone and lung metastases, who had been treated with chemotherapy and appeared to have stable disease at his last follow-up. Six years later, he developed a 1-month history of progressive unilateral loss of visual acuity and visual field defect (initially quadrantanopia that progressed to nasal hemianopia). Brain imaging showed a contrast-enhancing lesion affecting the left anterior clinoid process with extension to the cavernous sinus and sphenoid sinus, causing compression of the left optic nerve. Although the lesion could have suggested a meningioma given the location, in the context of the patient's oncological history, the diagnosis of metastasis was considered more likely. The patient was admitted to the hospital and, during the hospital stay, developed sudden left retro-orbital pain progressing to left amaurosis over approximately 8 hours. Urgent surgery was performed: a pterional craniotomy with partial tumor removal and optic nerve decompression with extradural anterior clinoidectomy. After surgery, the patient had an immediate but partial improvement in visual acuity and in the visual field defect. Metastasis to the anterior clinoid process is very uncommon, with only one case previously reported in the literature. In cases of visual impairment, symptoms may deteriorate rapidly to complete loss of vision, so urgent decompressive surgery of the optic pathway may be indicated to recover visual function, although recovery may be partial.</p>","PeriodicalId":94300,"journal":{"name":"Asian journal of neurosurgery","volume":"20 2","pages":"423-426"},"PeriodicalIF":0.0000,"publicationDate":"2025-03-24","publicationTypes":"Journal Article","fieldsOfStudy":null,"isOpenAccess":false,"openAccessPdf":"https://www.ncbi.nlm.nih.gov/pmc/articles/PMC12136971/pdf/","citationCount":"0","resultStr":null,"platform":"Semanticscholar","paperid":null,"PeriodicalName":"Asian journal of neurosurgery","FirstCategoryId":"1085","ListUrlMain":"https://doi.org/10.1055/s-0045-1806729","RegionNum":0,"RegionCategory":null,"ArticlePicture":[],"TitleCN":null,"AbstractTextCN":null,"PMCID":null,"EPubDate":"2025/6/1 0:00:00","PubModel":"eCollection","JCR":"","JCRName":"","Score":null,"Total":0}
引用次数: 0

Abstract

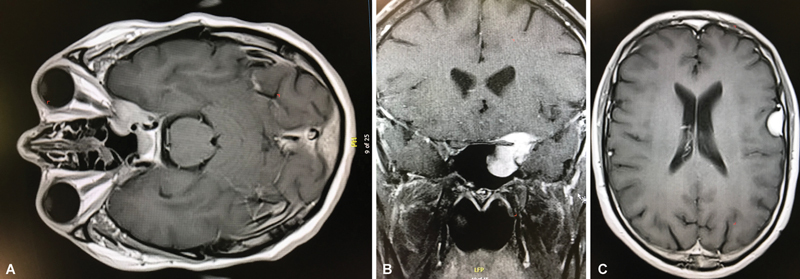
Anterior clinoid process metastases are rare. We present an unusual case of anterior clinoid process metastasis with sudden deterioration of visual function requiring emergency optic nerve decompression, resulting in recovery of visual function. The patient was a 41-year-old man with a diagnosis of leiomyosarcoma of the radius, operated on in 2014, with bone and lung metastases, who had been treated with chemotherapy and appeared to have stable disease at his last follow-up. Six years later, he developed a 1-month history of progressive unilateral loss of visual acuity and visual field defect (initially quadrantanopia that progressed to nasal hemianopia). Brain imaging showed a contrast-enhancing lesion affecting the left anterior clinoid process with extension to the cavernous sinus and sphenoid sinus, causing compression of the left optic nerve. Although the lesion could have suggested a meningioma given the location, in the context of the patient's oncological history, the diagnosis of metastasis was considered more likely. The patient was admitted to the hospital and, during the hospital stay, developed sudden left retro-orbital pain progressing to left amaurosis over approximately 8 hours. Urgent surgery was performed: a pterional craniotomy with partial tumor removal and optic nerve decompression with extradural anterior clinoidectomy. After surgery, the patient had an immediate but partial improvement in visual acuity and in the visual field defect. Metastasis to the anterior clinoid process is very uncommon, with only one case previously reported in the literature. In cases of visual impairment, symptoms may deteriorate rapidly to complete loss of vision, so urgent decompressive surgery of the optic pathway may be indicated to recover visual function, although recovery may be partial.

Abstract Image

Abstract Image

Abstract Image

突前斜突转移伴突发性视力丧失:紧急视神经减压的作用。
前斜突转移是罕见的。我们报告一例罕见的前斜突转移伴视觉功能突然恶化的病例,需要紧急视神经减压以恢复视觉功能。患者是一名41岁的男性,被诊断为桡骨平滑肌肉瘤,于2014年接受手术,并伴有骨和肺转移,他曾接受化疗,在最后一次随访时病情稳定。6年后,患者出现1个月进行性单侧视力丧失和视野缺损病史(最初为象限视,后发展为鼻偏视)。脑成像显示增强病变影响左侧前斜突,并延伸至海绵窦和蝶窦,导致左侧视神经受压。虽然病变可能提示脑膜瘤的位置,在患者的肿瘤病史的背景下,转移的诊断被认为更有可能。患者入院,在住院期间,在大约8小时的时间里,突然出现左侧眶后疼痛,进展为左侧黑朦。紧急手术:翼点开颅部分肿瘤切除和视神经减压硬膜外前斜突切除术。手术后,患者的视力和视野缺损立即得到部分改善。转移到前斜突是非常罕见的,只有一个病例以前的文献报道。在视力受损的病例中,症状可迅速恶化至完全丧失视力,因此可能需要紧急进行视神经通路减压手术以恢复视力,尽管恢复可能是部分的。
本文章由计算机程序翻译,如有差异,请以英文原文为准。
求助全文
约1分钟内获得全文 求助全文
来源期刊
自引率
0.00%
发文量
0
×
引用
GB/T 7714-2015
复制
MLA
复制
APA
复制
导出至
BibTeX EndNote RefMan NoteFirst NoteExpress
×
提示
您的信息不完整,为了账户安全,请先补充。
现在去补充
×
提示
您因"违规操作"
具体请查看互助需知
我知道了
×
提示
确定
请完成安全验证×
copy
已复制链接
快去分享给好友吧!
我知道了
右上角分享
点击右上角分享
0
联系我们:info@booksci.cn Book学术提供免费学术资源搜索服务,方便国内外学者检索中英文文献。致力于提供最便捷和优质的服务体验。 Copyright © 2023 布克学术 All rights reserved.
京ICP备2023020795号-1
ghs 京公网安备 11010802042870号
Book学术文献互助
Book学术文献互助群
群 号:604180095
Book学术官方微信