Virtual reality-guided simulation of brachytherapy: Two case reports.

IF 1.1 4区 医学 Q4 ONCOLOGY
Journal of Contemporary Brachytherapy Pub Date : 2025-04-01 Epub Date: 2025-05-06 DOI:10.5114/jcb.2025.150246
Kae Okuma, Hiroki Nakayama, Madoka Sakuramachi, Shintaro Kimura, Wakako Yatsuoka, Akane Yoshiba, Koji Inaba, Tomoya Kaneda, Tairo Kashihara, Kana Takahashi, Ayaka Nagao, Yuko Nakayama, Hiroshi Igaki
{"title":"Virtual reality-guided simulation of brachytherapy: Two case reports.","authors":"Kae Okuma, Hiroki Nakayama, Madoka Sakuramachi, Shintaro Kimura, Wakako Yatsuoka, Akane Yoshiba, Koji Inaba, Tomoya Kaneda, Tairo Kashihara, Kana Takahashi, Ayaka Nagao, Yuko Nakayama, Hiroshi Igaki","doi":"10.5114/jcb.2025.150246","DOIUrl":null,"url":null,"abstract":"<p><strong>Purpose: </strong>Brachytherapy requires precise applicator placement, especially in complex cases, where standard imaging may not provide sufficient guidance. Virtual reality (VR) technology has emerged as a valuable tool for pre-simulation, enabling improved anatomical understanding and procedural planning. We reported two cases, in which VR pre-simulation was used to enhance brachytherapy planning in challenging anatomical regions.</p><p><strong>Cases description: </strong>Case 1: A 51-year-old woman with carcinoma of unknown primary and poorly differentiated adenocarcinoma had previously undergone chemotherapy and radiation therapy for a large tumor in the right common iliac region. The tumor recurred and invaded the sacrum, requiring interstitial brachytherapy due to prior radiation dose constraints. Applicator placement was challenging, necessitating collaboration with an interventional radiology (IR) physician. VR pre-simulation facilitated multi-disciplinary communication and optimized puncture, leading to a safer and more accurate procedure. Case 2: A 46-year-old man with floor of the mouth cancer was initially scheduled for total glossectomy and laryngectomy, but opted for radiotherapy after significant tumor shrinkage. To minimize radiation dose to the mandible, interstitial brachytherapy was added. Due to safety concerns regarding prolonged applicator placement, a strategy of daily insertion and removal was adopted. A custom-made mouthpiece with a single guiding applicator was prepared by a dentist, and multiple needle-type applicators were employed. VR pre-simulation enabled precise needle insertion and facilitated procedural consistency, even among radiation oncologists unfamiliar with head and neck brachytherapy.</p><p><strong>Conclusions: </strong>VR technology enhances pre-procedural planning, improve multi-disciplinary coordination, and optimize needle placement in brachytherapy for complex anatomical sites. By integrating VR into brachytherapy workflows, treatment precision and safety can be improved across various anatomical regions.</p>","PeriodicalId":51305,"journal":{"name":"Journal of Contemporary Brachytherapy","volume":"17 2","pages":"142-148"},"PeriodicalIF":1.1000,"publicationDate":"2025-04-01","publicationTypes":"Journal Article","fieldsOfStudy":null,"isOpenAccess":false,"openAccessPdf":"https://www.ncbi.nlm.nih.gov/pmc/articles/PMC12140148/pdf/","citationCount":"0","resultStr":null,"platform":"Semanticscholar","paperid":null,"PeriodicalName":"Journal of Contemporary Brachytherapy","FirstCategoryId":"3","ListUrlMain":"https://doi.org/10.5114/jcb.2025.150246","RegionNum":4,"RegionCategory":"医学","ArticlePicture":[],"TitleCN":null,"AbstractTextCN":null,"PMCID":null,"EPubDate":"2025/5/6 0:00:00","PubModel":"Epub","JCR":"Q4","JCRName":"ONCOLOGY","Score":null,"Total":0}
引用次数: 0

Abstract

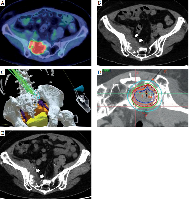
Purpose: Brachytherapy requires precise applicator placement, especially in complex cases, where standard imaging may not provide sufficient guidance. Virtual reality (VR) technology has emerged as a valuable tool for pre-simulation, enabling improved anatomical understanding and procedural planning. We reported two cases, in which VR pre-simulation was used to enhance brachytherapy planning in challenging anatomical regions.

Cases description: Case 1: A 51-year-old woman with carcinoma of unknown primary and poorly differentiated adenocarcinoma had previously undergone chemotherapy and radiation therapy for a large tumor in the right common iliac region. The tumor recurred and invaded the sacrum, requiring interstitial brachytherapy due to prior radiation dose constraints. Applicator placement was challenging, necessitating collaboration with an interventional radiology (IR) physician. VR pre-simulation facilitated multi-disciplinary communication and optimized puncture, leading to a safer and more accurate procedure. Case 2: A 46-year-old man with floor of the mouth cancer was initially scheduled for total glossectomy and laryngectomy, but opted for radiotherapy after significant tumor shrinkage. To minimize radiation dose to the mandible, interstitial brachytherapy was added. Due to safety concerns regarding prolonged applicator placement, a strategy of daily insertion and removal was adopted. A custom-made mouthpiece with a single guiding applicator was prepared by a dentist, and multiple needle-type applicators were employed. VR pre-simulation enabled precise needle insertion and facilitated procedural consistency, even among radiation oncologists unfamiliar with head and neck brachytherapy.

Conclusions: VR technology enhances pre-procedural planning, improve multi-disciplinary coordination, and optimize needle placement in brachytherapy for complex anatomical sites. By integrating VR into brachytherapy workflows, treatment precision and safety can be improved across various anatomical regions.

Abstract Image

Abstract Image

虚拟现实引导的近距离放射治疗模拟:两例报告。
目的:近距离放射治疗需要精确的涂抹器放置,特别是在复杂的情况下,标准成像可能无法提供足够的指导。虚拟现实(VR)技术已经成为一种有价值的预模拟工具,可以改善解剖理解和程序规划。我们报告了两个病例,其中VR预模拟用于增强具有挑战性的解剖区域的近距离治疗计划。病例描述:病例1:51岁女性,原发癌不详,低分化腺癌,曾因右侧髂总区大肿瘤接受化疗和放疗。肿瘤复发并侵袭骶骨,由于先前的放射剂量限制,需要间质性近距离治疗。涂抹器的放置具有挑战性,需要与介入放射学(IR)医生合作。VR预模拟促进了多学科交流,优化了穿刺,使手术过程更安全、更准确。病例2:一名46岁男性口腔癌患者最初计划进行全舌切除和喉切除术,但在肿瘤明显缩小后选择放疗。为了减少对下颌骨的放射剂量,增加了间质近距离放射治疗。由于对长时间涂抹器放置的安全考虑,采用了每日插入和移除的策略。牙科医生为患者定制了一个单导式施药器,并使用了多个针式施药器。VR预模拟实现了精确的针头插入,并促进了程序的一致性,即使在不熟悉头颈部近距离治疗的放射肿瘤学家中也是如此。结论:在复杂解剖部位的近距离治疗中,VR技术可增强手术前规划,改善多学科协调,优化置针。通过将VR集成到近距离治疗工作流程中,可以提高不同解剖区域的治疗精度和安全性。
本文章由计算机程序翻译,如有差异,请以英文原文为准。
求助全文
约1分钟内获得全文 求助全文
来源期刊
Journal of Contemporary Brachytherapy
Journal of Contemporary Brachytherapy ONCOLOGY-RADIOLOGY, NUCLEAR MEDICINE & MEDICAL IMAGING
CiteScore
2.40
自引率
14.30%
发文量
54
审稿时长
16 weeks
期刊介绍: The “Journal of Contemporary Brachytherapy” is an international and multidisciplinary journal that will publish papers of original research as well as reviews of articles. Main subjects of the journal include: clinical brachytherapy, combined modality treatment, advances in radiobiology, hyperthermia and tumour biology, as well as physical aspects relevant to brachytherapy, particularly in the field of imaging, dosimetry and radiation therapy planning. Original contributions will include experimental studies of combined modality treatment, tumor sensitization and normal tissue protection, molecular radiation biology, and clinical investigations of cancer treatment in brachytherapy. Another field of interest will be the educational part of the journal.
×
引用
GB/T 7714-2015
复制
MLA
复制
APA
复制
导出至
BibTeX EndNote RefMan NoteFirst NoteExpress
×
提示
您的信息不完整,为了账户安全,请先补充。
现在去补充
×
提示
您因"违规操作"
具体请查看互助需知
我知道了
×
提示
确定
请完成安全验证×
copy
已复制链接
快去分享给好友吧!
我知道了
右上角分享
点击右上角分享
0
联系我们:info@booksci.cn Book学术提供免费学术资源搜索服务,方便国内外学者检索中英文文献。致力于提供最便捷和优质的服务体验。 Copyright © 2023 布克学术 All rights reserved.
京ICP备2023020795号-1
ghs 京公网安备 11010802042870号
Book学术文献互助
Book学术文献互助群
群 号:604180095
Book学术官方微信