Atypical Hemolytic Uremic Syndrome/Complement-Mediated Thrombotic Microangiopathy Triggered by SARS-CoV-2 Infection: A Case Report.

IF 0.9 Q4 UROLOGY & NEPHROLOGY
Case Reports in Nephrology and Dialysis Pub Date : 2025-04-28 eCollection Date: 2025-01-01 DOI:10.1159/000545798
Malte Krakow, Johanna H Hinrichs, Judit Horvath, Hermann Pavenstädt, Marcus Brand
{"title":"Atypical Hemolytic Uremic Syndrome/Complement-Mediated Thrombotic Microangiopathy Triggered by SARS-CoV-2 Infection: A Case Report.","authors":"Malte Krakow, Johanna H Hinrichs, Judit Horvath, Hermann Pavenstädt, Marcus Brand","doi":"10.1159/000545798","DOIUrl":null,"url":null,"abstract":"<p><strong>Introduction: </strong>Atypical hemolytic uremic syndrome (aHUS), commonly considered the prototypical form of complement-mediated thrombotic microangiopathy, is caused by dysregulated complement activation, often triggered by genetic mutations and external factors. We present a case of aHUS occurring 1 month after SARS-CoV-2 infection in a patient with a mutation in the complement factor H (CFH), a primary regulator of the alternative complement pathway.</p><p><strong>Case presentation: </strong>A 41-year-old woman with no prior conditions developed acute kidney injury, hemolytic anemia, and thrombocytopenia 1 month after SARS-CoV-2 infection. Genetic testing identified a pathogenic CFH variant (c.3572C>T), and kidney biopsy confirmed thrombotic microangiopathy. Treatment with plasma exchange, corticosteroids, and C5 inhibitors led to remission of proteinuria and improved renal function within 2 months, avoiding dialysis. Even a second SARS-CoV-2 infection 6 months after the onset of aHUS and under continuous complement C5 inhibition did not result in further kidney damage.</p><p><strong>Conclusions: </strong>Our case report is consistent with observations made by several groups that SARS-CoV-2 infection may trigger aHUS in genetically predisposed individuals. Early diagnosis and complement-targeted therapy are crucial to prevent severe outcomes.</p>","PeriodicalId":9599,"journal":{"name":"Case Reports in Nephrology and Dialysis","volume":"15 1","pages":"119-124"},"PeriodicalIF":0.9000,"publicationDate":"2025-04-28","publicationTypes":"Journal Article","fieldsOfStudy":null,"isOpenAccess":false,"openAccessPdf":"https://www.ncbi.nlm.nih.gov/pmc/articles/PMC12143865/pdf/","citationCount":"0","resultStr":null,"platform":"Semanticscholar","paperid":null,"PeriodicalName":"Case Reports in Nephrology and Dialysis","FirstCategoryId":"1085","ListUrlMain":"https://doi.org/10.1159/000545798","RegionNum":0,"RegionCategory":null,"ArticlePicture":[],"TitleCN":null,"AbstractTextCN":null,"PMCID":null,"EPubDate":"2025/1/1 0:00:00","PubModel":"eCollection","JCR":"Q4","JCRName":"UROLOGY & NEPHROLOGY","Score":null,"Total":0}
引用次数: 0

Abstract

Introduction: Atypical hemolytic uremic syndrome (aHUS), commonly considered the prototypical form of complement-mediated thrombotic microangiopathy, is caused by dysregulated complement activation, often triggered by genetic mutations and external factors. We present a case of aHUS occurring 1 month after SARS-CoV-2 infection in a patient with a mutation in the complement factor H (CFH), a primary regulator of the alternative complement pathway.

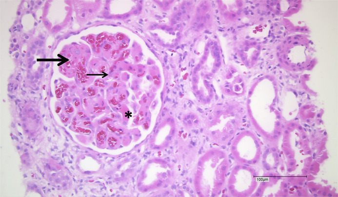
Case presentation: A 41-year-old woman with no prior conditions developed acute kidney injury, hemolytic anemia, and thrombocytopenia 1 month after SARS-CoV-2 infection. Genetic testing identified a pathogenic CFH variant (c.3572C>T), and kidney biopsy confirmed thrombotic microangiopathy. Treatment with plasma exchange, corticosteroids, and C5 inhibitors led to remission of proteinuria and improved renal function within 2 months, avoiding dialysis. Even a second SARS-CoV-2 infection 6 months after the onset of aHUS and under continuous complement C5 inhibition did not result in further kidney damage.

Conclusions: Our case report is consistent with observations made by several groups that SARS-CoV-2 infection may trigger aHUS in genetically predisposed individuals. Early diagnosis and complement-targeted therapy are crucial to prevent severe outcomes.

Abstract Image

Abstract Image

SARS-CoV-2感染引发的非典型溶血性尿毒症综合征/补体介导的血栓性微血管病1例报告
非典型溶血性尿毒症综合征(aHUS)通常被认为是补体介导的血栓性微血管病的典型形式,是由补体激活失调引起的,通常由基因突变和外部因素触发。我们报告了一例在SARS-CoV-2感染1个月后发生的aHUS病例,该患者的补体因子H (CFH)突变,补体因子H是替代补体途径的主要调节因子。病例介绍:一名41岁女性,既往无任何疾病,在SARS-CoV-2感染1个月后出现急性肾损伤、溶血性贫血和血小板减少症。基因检测发现致病性CFH变异(c.3572C>T),肾活检证实血栓性微血管病变。血浆置换、皮质类固醇和C5抑制剂治疗可在2个月内缓解蛋白尿并改善肾功能,避免透析。即使在aHUS发病6个月后并持续补体C5抑制下再次感染SARS-CoV-2,也没有导致进一步的肾脏损害。结论:我们的病例报告与几个研究小组的观察结果一致,即SARS-CoV-2感染可能在遗传易感个体中引发aHUS。早期诊断和补体靶向治疗对于预防严重后果至关重要。
本文章由计算机程序翻译,如有差异,请以英文原文为准。
求助全文
约1分钟内获得全文 求助全文
来源期刊
CiteScore
1.20
自引率
0.00%
发文量
36
审稿时长
10 weeks
期刊介绍: This peer-reviewed online-only journal publishes original case reports covering the entire spectrum of nephrology and dialysis, including genetic susceptibility, clinical presentation, diagnosis, treatment or prevention, toxicities of therapy, critical care, supportive care, quality-of-life and survival issues. The journal will also accept case reports dealing with the use of novel technologies, both in the arena of diagnosis and treatment. Supplementary material is welcomed.
×
引用
GB/T 7714-2015
复制
MLA
复制
APA
复制
导出至
BibTeX EndNote RefMan NoteFirst NoteExpress
×
提示
您的信息不完整,为了账户安全,请先补充。
现在去补充
×
提示
您因"违规操作"
具体请查看互助需知
我知道了
×
提示
确定
请完成安全验证×
copy
已复制链接
快去分享给好友吧!
我知道了
右上角分享
点击右上角分享
0
联系我们:info@booksci.cn Book学术提供免费学术资源搜索服务,方便国内外学者检索中英文文献。致力于提供最便捷和优质的服务体验。 Copyright © 2023 布克学术 All rights reserved.
京ICP备2023020795号-1
ghs 京公网安备 11010802042870号
Book学术文献互助
Book学术文献互助群
群 号:604180095
Book学术官方微信