Changes in ER, PR, HER2, and Their Association With Disease Outcome in Invasive Breast Carcinoma (IBC) Patients Post-Neo Adjuvant Chemotherapy (NAC) and Surgery.

IF 1.9 Q3 ONCOLOGY
Breast Cancer : Basic and Clinical Research Pub Date : 2025-06-05 eCollection Date: 2025-01-01 DOI:10.1177/11782234251342463
Monisha C Ravishankar, Pampa Ch Toi, Biswaji Dubashi, Kadambari Dharanipragada
{"title":"Changes in ER, PR, HER2, and Their Association With Disease Outcome in Invasive Breast Carcinoma (IBC) Patients Post-Neo Adjuvant Chemotherapy (NAC) and Surgery.","authors":"Monisha C Ravishankar, Pampa Ch Toi, Biswaji Dubashi, Kadambari Dharanipragada","doi":"10.1177/11782234251342463","DOIUrl":null,"url":null,"abstract":"<p><strong>Background: </strong>Estrogen-receptor (ER), progesterone-receptor (PR), and human epidermal growth factor-2 (HER2) are performed on pre-neoadjuvant chemotherapy (NAC) biopsies of invasive breast carcinoma (IBC). However, they are not done routinely on post-NAC IBC with residual tumor.</p><p><strong>Objectives: </strong>This study helps in understanding the effect of alteration in expression of ER, PR, and HER2 in pre and post NAC IBC with residual tumors in terms of disease outcome, such as disease-free survival (DFS) and overall survival (OS).</p><p><strong>Design: </strong>This was a Cohort study (Prospective and Retrospective Cohort).</p><p><strong>Methods: </strong>All newly diagnosed cases of IBC who had undergone surgery after NAC with pre-NAC biopsies available with residual tumors in the breast, from January 2017 to January 2020 were enrolled in the study (n = 174) and were followed up till July 2022.</p><p><strong>Results: </strong>There were 174 cases included in this study. Of the 174 cases, 77 (44%) ER+ cases turned -ve, 10 ER +ve cases remained +ve and 87(50%) cases which were ER-ve remained the same. 48(27%) of PR +ve cases turned -ve, 10 PR +ve cases remained +ve and 116 (67%) cases remained -ve. 64(36%) of HER2 +ve cases turned -ve, 4 (2%) of HER2 +ve cases remained +ve; whereas 103(59%) cases remained -ve. The cases with changes in ER and HER2 status from positive to negative showed a longer DFS and OS which was statistically significant.</p><p><strong>Conclusion: </strong>There is a change in the HR and HER2 status in cases of IBC with residual tumor post NAC and patients with changes in the receptor status post-NAC have a better OS and DFS than those whose receptor status do not show a change.</p>","PeriodicalId":9163,"journal":{"name":"Breast Cancer : Basic and Clinical Research","volume":"19 ","pages":"11782234251342463"},"PeriodicalIF":1.9000,"publicationDate":"2025-06-05","publicationTypes":"Journal Article","fieldsOfStudy":null,"isOpenAccess":false,"openAccessPdf":"https://www.ncbi.nlm.nih.gov/pmc/articles/PMC12141807/pdf/","citationCount":"0","resultStr":null,"platform":"Semanticscholar","paperid":null,"PeriodicalName":"Breast Cancer : Basic and Clinical Research","FirstCategoryId":"1085","ListUrlMain":"https://doi.org/10.1177/11782234251342463","RegionNum":0,"RegionCategory":null,"ArticlePicture":[],"TitleCN":null,"AbstractTextCN":null,"PMCID":null,"EPubDate":"2025/1/1 0:00:00","PubModel":"eCollection","JCR":"Q3","JCRName":"ONCOLOGY","Score":null,"Total":0}
引用次数: 0

Abstract

Background: Estrogen-receptor (ER), progesterone-receptor (PR), and human epidermal growth factor-2 (HER2) are performed on pre-neoadjuvant chemotherapy (NAC) biopsies of invasive breast carcinoma (IBC). However, they are not done routinely on post-NAC IBC with residual tumor.

Objectives: This study helps in understanding the effect of alteration in expression of ER, PR, and HER2 in pre and post NAC IBC with residual tumors in terms of disease outcome, such as disease-free survival (DFS) and overall survival (OS).

Design: This was a Cohort study (Prospective and Retrospective Cohort).

Methods: All newly diagnosed cases of IBC who had undergone surgery after NAC with pre-NAC biopsies available with residual tumors in the breast, from January 2017 to January 2020 were enrolled in the study (n = 174) and were followed up till July 2022.

Results: There were 174 cases included in this study. Of the 174 cases, 77 (44%) ER+ cases turned -ve, 10 ER +ve cases remained +ve and 87(50%) cases which were ER-ve remained the same. 48(27%) of PR +ve cases turned -ve, 10 PR +ve cases remained +ve and 116 (67%) cases remained -ve. 64(36%) of HER2 +ve cases turned -ve, 4 (2%) of HER2 +ve cases remained +ve; whereas 103(59%) cases remained -ve. The cases with changes in ER and HER2 status from positive to negative showed a longer DFS and OS which was statistically significant.

Conclusion: There is a change in the HR and HER2 status in cases of IBC with residual tumor post NAC and patients with changes in the receptor status post-NAC have a better OS and DFS than those whose receptor status do not show a change.

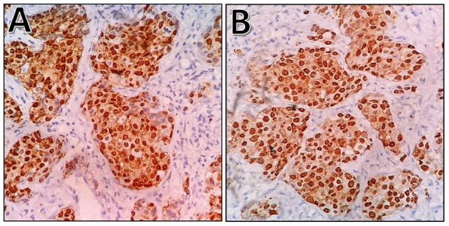
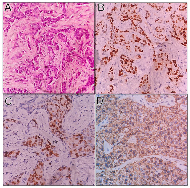
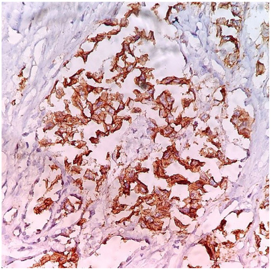
Abstract Image

Abstract Image

Abstract Image

浸润性乳腺癌(IBC)患者新辅助化疗(NAC)和手术后ER、PR、HER2的变化及其与疾病结局的关系
背景:在浸润性乳腺癌(IBC)的新辅助化疗前(NAC)活检中进行雌激素受体(ER)、孕激素受体(PR)和人表皮生长因子-2 (HER2)检查。然而,对于nac后伴有残余肿瘤的IBC,不进行常规检查。目的:本研究有助于了解NAC前后伴有残留肿瘤的IBC中ER、PR和HER2表达改变对疾病结局(如无病生存期(DFS)和总生存期(OS))的影响。设计:这是一项队列研究(前瞻性和回顾性队列)。方法:2017年1月至2020年1月,所有新诊断的IBC患者均在NAC术后行手术,NAC前活检有乳腺残留肿瘤,纳入研究(n = 174),随访至2022年7月。结果:本研究共纳入174例。其中ER+ 77例(44%)转为-ve, ER+ ve 10例保持+ve, ER-ve保持不变87例(50%)。PR +ve转为-ve 48例(27%),PR +ve维持+ve 10例,-ve 116例(67%)。64例(36%)HER2 +ve转为-ve, 4例(2%)仍为+ve;103例(59%)仍为阴性。ER和HER2由阳性变为阴性的患者DFS和OS均较长,差异有统计学意义。结论:NAC后伴有肿瘤残留的IBC患者的HR和HER2状态发生变化,NAC后受体状态发生变化的患者的OS和DFS优于受体状态未发生变化的患者。
本文章由计算机程序翻译,如有差异,请以英文原文为准。
求助全文
约1分钟内获得全文 求助全文
来源期刊
CiteScore
5.10
自引率
3.40%
发文量
22
审稿时长
8 weeks
期刊介绍: Breast Cancer: Basic and Clinical Research is an international, open access, peer-reviewed, journal which considers manuscripts on all areas of breast cancer research and treatment. We welcome original research, short notes, case studies and review articles related to breast cancer-related research. Specific areas of interest include, but are not limited to, breast cancer sub types, pathobiology, metastasis, genetics and epigenetics, mammary gland biology, breast cancer models, prevention, detection, therapy and clinical interventions, and epidemiology and population genetics.
×
引用
GB/T 7714-2015
复制
MLA
复制
APA
复制
导出至
BibTeX EndNote RefMan NoteFirst NoteExpress
×
提示
您的信息不完整,为了账户安全,请先补充。
现在去补充
×
提示
您因"违规操作"
具体请查看互助需知
我知道了
×
提示
确定
请完成安全验证×
copy
已复制链接
快去分享给好友吧!
我知道了
右上角分享
点击右上角分享
0
联系我们:info@booksci.cn Book学术提供免费学术资源搜索服务,方便国内外学者检索中英文文献。致力于提供最便捷和优质的服务体验。 Copyright © 2023 布克学术 All rights reserved.
京ICP备2023020795号-1
ghs 京公网安备 11010802042870号
Book学术文献互助
Book学术文献互助群
群 号:604180095
Book学术官方微信