Ethanol Exacerbates the Alzheimer's Disease Pathology in the 5xFAD Mouse Model.

Neuroglia (Basel, Switzerland) Pub Date : 2024-09-01 Epub Date: 2024-08-02 DOI:10.3390/neuroglia5030020
Hassan E Mohammed, James C Nelson, S Alex Marshall
{"title":"Ethanol Exacerbates the Alzheimer's Disease Pathology in the 5xFAD Mouse Model.","authors":"Hassan E Mohammed, James C Nelson, S Alex Marshall","doi":"10.3390/neuroglia5030020","DOIUrl":null,"url":null,"abstract":"<p><p>Alzheimer's disease (AD) is the most common form of dementia with characteristic biological markers. Clinically, AD presents as declines in memory, reasoning, and decision making, but the loss of memory is particularly associated with hippocampal damage. Likewise, excessive ethanol consumption has been found to disrupt hippocampal function and integrity. To assess the potential shared consequences of AD pathology and ethanol, 5xFAD mice were administered 5 g/kg ethanol daily for 10 days. Immunohistochemical analysis revealed ethanol and AD converged to lead to microglial and astrocytic senescence as well as increased Aß-plaque formation in the hippocampus. Despite the exacerbation of these potential mechanisms of neurodegeneration, there were no additive effects of ethanol exposure and AD-related genotype on Fluoro-Jade C (FJC)+ cells or cognitive deficits in the novel object recognition task. Overall, these results are the first to characterize the effects of ethanol exposure on early adulthood in the 5xFAD mouse model. Together these findings support the idea that alcohol can influence AD pathology; however, the mechanisms involved in AD progression (e.g., glial activation and Aß-plaque) may be impacted prior to evidence of pathology (e.g., cognitive decline or neuronal loss).</p>","PeriodicalId":74275,"journal":{"name":"Neuroglia (Basel, Switzerland)","volume":"5 3","pages":"289-305"},"PeriodicalIF":0.0000,"publicationDate":"2024-09-01","publicationTypes":"Journal Article","fieldsOfStudy":null,"isOpenAccess":false,"openAccessPdf":"https://www.ncbi.nlm.nih.gov/pmc/articles/PMC12140071/pdf/","citationCount":"0","resultStr":null,"platform":"Semanticscholar","paperid":null,"PeriodicalName":"Neuroglia (Basel, Switzerland)","FirstCategoryId":"1085","ListUrlMain":"https://doi.org/10.3390/neuroglia5030020","RegionNum":0,"RegionCategory":null,"ArticlePicture":[],"TitleCN":null,"AbstractTextCN":null,"PMCID":null,"EPubDate":"2024/8/2 0:00:00","PubModel":"Epub","JCR":"","JCRName":"","Score":null,"Total":0}
引用次数: 0

Abstract

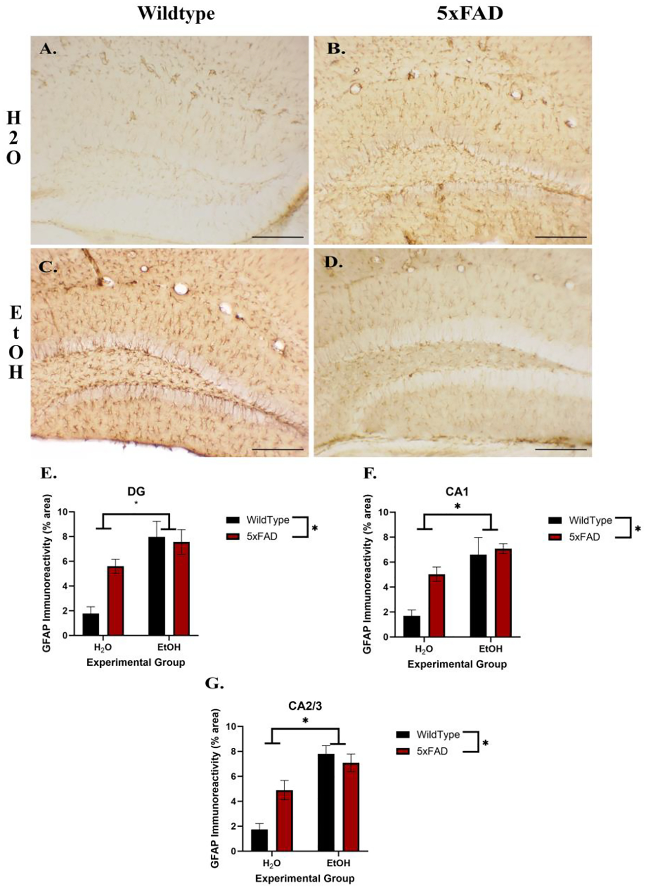
Alzheimer's disease (AD) is the most common form of dementia with characteristic biological markers. Clinically, AD presents as declines in memory, reasoning, and decision making, but the loss of memory is particularly associated with hippocampal damage. Likewise, excessive ethanol consumption has been found to disrupt hippocampal function and integrity. To assess the potential shared consequences of AD pathology and ethanol, 5xFAD mice were administered 5 g/kg ethanol daily for 10 days. Immunohistochemical analysis revealed ethanol and AD converged to lead to microglial and astrocytic senescence as well as increased Aß-plaque formation in the hippocampus. Despite the exacerbation of these potential mechanisms of neurodegeneration, there were no additive effects of ethanol exposure and AD-related genotype on Fluoro-Jade C (FJC)+ cells or cognitive deficits in the novel object recognition task. Overall, these results are the first to characterize the effects of ethanol exposure on early adulthood in the 5xFAD mouse model. Together these findings support the idea that alcohol can influence AD pathology; however, the mechanisms involved in AD progression (e.g., glial activation and Aß-plaque) may be impacted prior to evidence of pathology (e.g., cognitive decline or neuronal loss).

Abstract Image

Abstract Image

Abstract Image

乙醇在5xFAD小鼠模型中加重阿尔茨海默病病理
阿尔茨海默病(AD)是最常见的痴呆症形式,具有特征性的生物标志物。临床上,阿尔茨海默病表现为记忆、推理和决策能力下降,但记忆丧失与海马损伤特别相关。同样,过量的乙醇摄入也会破坏海马的功能和完整性。为了评估AD病理和乙醇的潜在共同后果,5xFAD小鼠每天给予5 g/kg乙醇,持续10天。免疫组织化学分析显示,乙醇和AD融合导致小胶质细胞和星形胶质细胞衰老,并增加海马a ß-斑块形成。尽管这些潜在的神经退行性变机制加剧,但乙醇暴露和ad相关基因型对氟jade C (FJC)+细胞或新物体识别任务中的认知缺陷没有加性影响。总的来说,这些结果首次描述了乙醇暴露对5xFAD小鼠模型成年早期的影响。总之,这些发现支持了酒精可以影响阿尔茨海默病病理的观点;然而,参与AD进展的机制(例如,神经胶质活化和a ß-斑块)可能在病理证据(例如,认知能力下降或神经元丧失)之前受到影响。
本文章由计算机程序翻译,如有差异,请以英文原文为准。
求助全文
约1分钟内获得全文 求助全文
来源期刊
自引率
0.00%
发文量
0
×
引用
GB/T 7714-2015
复制
MLA
复制
APA
复制
导出至
BibTeX EndNote RefMan NoteFirst NoteExpress
×
提示
您的信息不完整,为了账户安全,请先补充。
现在去补充
×
提示
您因"违规操作"
具体请查看互助需知
我知道了
×
提示
确定
请完成安全验证×
copy
已复制链接
快去分享给好友吧!
我知道了
右上角分享
点击右上角分享
0
联系我们:info@booksci.cn Book学术提供免费学术资源搜索服务,方便国内外学者检索中英文文献。致力于提供最便捷和优质的服务体验。 Copyright © 2023 布克学术 All rights reserved.
京ICP备2023020795号-1
ghs 京公网安备 11010802042870号
Book学术文献互助
Book学术文献互助群
群 号:604180095
Book学术官方微信