Does Stem Design for Conversion Total Hip Arthroplasty From Previous Short Intramedullary Nail Predispose to Fracture?

IF 2.1 Q2 ORTHOPEDICS
Kevin F Purcell, Taylor P Stauffer, Shawn Kaura, Michael P Bolognesi, Samuel S Wellman, Thorsten M Seyler, Sean P Ryan
{"title":"Does Stem Design for Conversion Total Hip Arthroplasty From Previous Short Intramedullary Nail Predispose to Fracture?","authors":"Kevin F Purcell, Taylor P Stauffer, Shawn Kaura, Michael P Bolognesi, Samuel S Wellman, Thorsten M Seyler, Sean P Ryan","doi":"10.5435/JAAOSGlobal-D-25-00029","DOIUrl":null,"url":null,"abstract":"<p><strong>Introduction: </strong>Conversion to total hip arthroplasty (THA) from prior short intramedullary nail (IMN) is an increasingly common procedure. Currently, there are no studies investigating if distal interlock screws serve as stress risers contributing to perioperative fractures, or whether primary stems can be used in previously reamed and fractured femurs. We hypothesized that conversion would be successful regardless of stem design.</p><p><strong>Methods: </strong>Nineteen patients who underwent short IMN to THA conversion were retrospectively identified from 2013 to 2022, with a mean 13 months between the procedures. Patient demographics, as well as intra- and postoperative variables, including stem design, length of stay, fractures, unplanned readmissions, and revisions, were collected. Mean follow-up was 13 months.</p><p><strong>Results: </strong>A diaphyseal-engaging revision stem was used in 13 cases, with metaphyseal press-fit stems and cemented stems each used in 3 cases. Two patients (one diaphyseal stem, one cemented stem) sustained intraoperative greater trochanteric fractures. No postoperative fractures were found. Four emergency department visits (21%) and one unplanned readmission (5%) were reported within 30 days, with 1 emergency department visit (5%) and two readmissions (11%) within 90 days. Stratified by stem type, we observed no notable difference in length of stay or procedure length.</p><p><strong>Discussion: </strong>This is the first study to investigate conversion to THA from short IMN. Overall, there were two intraoperative fractures, but no distal fractures or revisions. Although the distal interlock screw was commonly bypassed with a revision-type diaphyseal stem, this was not universal. Further research is needed to determine if primary arthroplasty stem designs can be used in this setting.</p><p><strong>Level of evidence: </strong>Level III Treatment Study.</p>","PeriodicalId":45062,"journal":{"name":"Journal of the American Academy of Orthopaedic Surgeons Global Research and Reviews","volume":"9 6","pages":""},"PeriodicalIF":2.1000,"publicationDate":"2025-06-02","publicationTypes":"Journal Article","fieldsOfStudy":null,"isOpenAccess":false,"openAccessPdf":"https://www.ncbi.nlm.nih.gov/pmc/articles/PMC12142730/pdf/","citationCount":"0","resultStr":null,"platform":"Semanticscholar","paperid":null,"PeriodicalName":"Journal of the American Academy of Orthopaedic Surgeons Global Research and Reviews","FirstCategoryId":"1085","ListUrlMain":"https://doi.org/10.5435/JAAOSGlobal-D-25-00029","RegionNum":0,"RegionCategory":null,"ArticlePicture":[],"TitleCN":null,"AbstractTextCN":null,"PMCID":null,"EPubDate":"2025/6/1 0:00:00","PubModel":"eCollection","JCR":"Q2","JCRName":"ORTHOPEDICS","Score":null,"Total":0}
引用次数: 0

Abstract

Introduction: Conversion to total hip arthroplasty (THA) from prior short intramedullary nail (IMN) is an increasingly common procedure. Currently, there are no studies investigating if distal interlock screws serve as stress risers contributing to perioperative fractures, or whether primary stems can be used in previously reamed and fractured femurs. We hypothesized that conversion would be successful regardless of stem design.

Methods: Nineteen patients who underwent short IMN to THA conversion were retrospectively identified from 2013 to 2022, with a mean 13 months between the procedures. Patient demographics, as well as intra- and postoperative variables, including stem design, length of stay, fractures, unplanned readmissions, and revisions, were collected. Mean follow-up was 13 months.

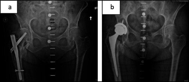
Results: A diaphyseal-engaging revision stem was used in 13 cases, with metaphyseal press-fit stems and cemented stems each used in 3 cases. Two patients (one diaphyseal stem, one cemented stem) sustained intraoperative greater trochanteric fractures. No postoperative fractures were found. Four emergency department visits (21%) and one unplanned readmission (5%) were reported within 30 days, with 1 emergency department visit (5%) and two readmissions (11%) within 90 days. Stratified by stem type, we observed no notable difference in length of stay or procedure length.

Discussion: This is the first study to investigate conversion to THA from short IMN. Overall, there were two intraoperative fractures, but no distal fractures or revisions. Although the distal interlock screw was commonly bypassed with a revision-type diaphyseal stem, this was not universal. Further research is needed to determine if primary arthroplasty stem designs can be used in this setting.

Level of evidence: Level III Treatment Study.

Abstract Image

Abstract Image

采用短髓内钉进行全髋关节置换术的椎体设计是否易致骨折?
简介:从先前的短髓内钉(IMN)转换到全髋关节置换术(THA)是一种越来越常见的手术。目前,还没有研究表明远端互锁螺钉是否会成为围手术期骨折的应力上升源,也没有研究表明主柄是否可以用于先前扩孔和骨折的股骨。我们假设不管阀杆设计如何,转换都是成功的。方法:回顾性分析2013年至2022年期间19例短期IMN到THA转换患者,手术间隔平均为13个月。收集患者人口统计数据,以及术中和术后变量,包括系统设计、住院时间、骨折、计划外再入院和翻修。平均随访13个月。结果:13例采用干骺端接合式翻修柄,3例采用干骺端压合式翻修柄和骨水泥式翻修柄。2例患者(1例骨干干,1例骨水泥干)术中发生大转子骨折。术后未见骨折。30天内有4例急诊就诊(21%)和1例计划外再入院(5%),90天内有1例急诊就诊(5%)和2例再入院(11%)。按茎型分层,我们观察到住院时间或手术时间没有显著差异。讨论:这是第一个调查短IMN向THA转化的研究。总的来说,术中有2例骨折,但没有远端骨折或翻修。虽然远端互锁螺钉通常用修复型骨干干绕过,但这并不普遍。需要进一步的研究来确定初级关节置换系统设计是否可以在这种情况下使用。证据等级:III级治疗研究。
本文章由计算机程序翻译,如有差异,请以英文原文为准。
求助全文
约1分钟内获得全文 求助全文
来源期刊
CiteScore
2.60
自引率
6.70%
发文量
282
审稿时长
8 weeks
×
引用
GB/T 7714-2015
复制
MLA
复制
APA
复制
导出至
BibTeX EndNote RefMan NoteFirst NoteExpress
×
提示
您的信息不完整,为了账户安全,请先补充。
现在去补充
×
提示
您因"违规操作"
具体请查看互助需知
我知道了
×
提示
确定
请完成安全验证×
copy
已复制链接
快去分享给好友吧!
我知道了
右上角分享
点击右上角分享
0
联系我们:info@booksci.cn Book学术提供免费学术资源搜索服务,方便国内外学者检索中英文文献。致力于提供最便捷和优质的服务体验。 Copyright © 2023 布克学术 All rights reserved.
京ICP备2023020795号-1
ghs 京公网安备 11010802042870号
Book学术文献互助
Book学术文献互助群
群 号:604180095
Book学术官方微信