Synergic Effects of Curcumin, Licorice, and Endoscopic Photodynamic Therapy Against Helicobacter Pylori by Modulating the NF-Κb Signaling Pathway.

IF 1.5 4区 生物学 Q4 BIOTECHNOLOGY & APPLIED MICROBIOLOGY
Xiaoling Dong, Yuehong Qin, Zhenyu Zhu, Xiaowen Wen, Shijiang Wang, Weipeng Gong, Xilin Song, Jie Chai, Razzagh Abedi-Firouzjah, Kai Liu
{"title":"Synergic Effects of Curcumin, Licorice, and Endoscopic Photodynamic Therapy Against Helicobacter Pylori by Modulating the NF-Κb Signaling Pathway.","authors":"Xiaoling Dong, Yuehong Qin, Zhenyu Zhu, Xiaowen Wen, Shijiang Wang, Weipeng Gong, Xilin Song, Jie Chai, Razzagh Abedi-Firouzjah, Kai Liu","doi":"10.30498/ijb.2025.484620.4010","DOIUrl":null,"url":null,"abstract":"<p><strong>Background: </strong><i>Helicobacter pylori</i> (<i>H. pylori</i>) infection affects nearly half of the global population and is a significant contributor to gastroduodenal conditions, including gastric carcinoma. Research on herbal extracts has highlighted their antibacterial, antioxidant, and anti-inflammatory properties, indicating potential for novel, synergistic therapeutic approaches.</p><p><strong>Objective: </strong>To assess the synergistic antimicrobial effect of Curcumin, Licorice, and photodynamic therapy (PDT) against the <i>H. pylori</i> infection in a rat model by evaluating the NF-κB signaling pathway.</p><p><strong>Materials and methods: </strong>Forty male rats (250-300 g) were divided into eight groups as follows: control, rats treated with 600 mg.kg<sup>-1</sup> of Curcumin and 200 mg.kg<sup>-1</sup> of Licorice, <i>H. pylori</i>-infected rats, <i>H. pylori</i>-infected rats treated with 600 mg.kg<sup>-1</sup> of Curcumin, <i>H. pylori</i>-infected rats treated with 200 mg.kg<sup>-1</sup> of Licorice, <i>H. pylori</i>-infected rats treated with 600 mg.kg<sup>-1</sup> of Curcumin and 200 mg.kg<sup>-1</sup> of Licorice, <i>H. pylori</i>-infected rats treated with PDT (based on 3'-sialyllactose [3SL]-conjugated, poly-l-lysine-based photosensitizer [p3SLP]), and <i>H. pylori</i>-infected rats treated with PDT combined with Curcumin and Licorice. The immunohistochemistry test was performed to investigate NF-κB p65 expression in gastric epithelial cells (GECs).</p><p><strong>Results: </strong>The average <i>H. pylori</i> colonization score was zero for the control and Curcumin + Licorice groups. However, the scores were 1.8, 1.0, 1.2, 0.8, 0.6, and 0.2 for the <i>H. pylori</i>, <i>H. pylori</i> + Curcumin, <i>H. pylori</i> + Licorice, <i>H. pylori</i> + Curcumin and Licorice, PDT alone treatment, and PDT + Curcumin and Licorice groups, respectively. Regarding <i>H. pylori</i> colonization and gastric inflammation scores, the treatment effect of PDT combined with Curcumin and Licorice was significantly greater than that of the other treatments (<i>P<0.05</i>). <i>H. pylori</i> infection significantly increased the NF-κB expression in GECs compared to the control group (20.6%±2.1% vs. 10.1%±2.2%, P=0.035). This expression was significantly reduced in the <i>H. pylori</i> + PDT combined with Curcumin and Licorice (8.8%±1.2%), the <i>H. pylori</i> + Curcumin (15.3%±2.4%), and the <i>H. pylori</i> + Licorice groups (16.4%±2.2%) compared to the <i>H. pylori</i> only group (<i>P <0.05</i>). The administration of Curcumin and Licorice alone did not alter baseline NF-κB expression in GECs (8.3%±1.8%, <i>P=0.120</i>).</p><p><strong>Conclusion: </strong>Our results demonstrated that combination treatment of PDT with Curcumin and Licorice may exert stronger anti-inflammatory effects by suppressing NF-κB p65 expression in GECs compared to each treatment alone. This combination could serve as a potential treatment option for future studies.</p>","PeriodicalId":14492,"journal":{"name":"Iranian Journal of Biotechnology","volume":"23 1","pages":""},"PeriodicalIF":1.5000,"publicationDate":"2025-01-01","publicationTypes":"Journal Article","fieldsOfStudy":null,"isOpenAccess":false,"openAccessPdf":"https://www.ncbi.nlm.nih.gov/pmc/articles/PMC12128945/pdf/","citationCount":"0","resultStr":null,"platform":"Semanticscholar","paperid":null,"PeriodicalName":"Iranian Journal of Biotechnology","FirstCategoryId":"5","ListUrlMain":"https://doi.org/10.30498/ijb.2025.484620.4010","RegionNum":4,"RegionCategory":"生物学","ArticlePicture":[],"TitleCN":null,"AbstractTextCN":null,"PMCID":null,"EPubDate":"","PubModel":"","JCR":"Q4","JCRName":"BIOTECHNOLOGY & APPLIED MICROBIOLOGY","Score":null,"Total":0}
引用次数: 0

Abstract

Background: Helicobacter pylori (H. pylori) infection affects nearly half of the global population and is a significant contributor to gastroduodenal conditions, including gastric carcinoma. Research on herbal extracts has highlighted their antibacterial, antioxidant, and anti-inflammatory properties, indicating potential for novel, synergistic therapeutic approaches.

Objective: To assess the synergistic antimicrobial effect of Curcumin, Licorice, and photodynamic therapy (PDT) against the H. pylori infection in a rat model by evaluating the NF-κB signaling pathway.

Materials and methods: Forty male rats (250-300 g) were divided into eight groups as follows: control, rats treated with 600 mg.kg-1 of Curcumin and 200 mg.kg-1 of Licorice, H. pylori-infected rats, H. pylori-infected rats treated with 600 mg.kg-1 of Curcumin, H. pylori-infected rats treated with 200 mg.kg-1 of Licorice, H. pylori-infected rats treated with 600 mg.kg-1 of Curcumin and 200 mg.kg-1 of Licorice, H. pylori-infected rats treated with PDT (based on 3'-sialyllactose [3SL]-conjugated, poly-l-lysine-based photosensitizer [p3SLP]), and H. pylori-infected rats treated with PDT combined with Curcumin and Licorice. The immunohistochemistry test was performed to investigate NF-κB p65 expression in gastric epithelial cells (GECs).

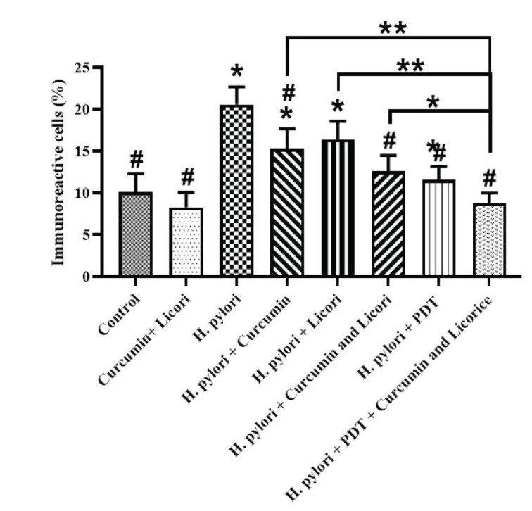
Results: The average H. pylori colonization score was zero for the control and Curcumin + Licorice groups. However, the scores were 1.8, 1.0, 1.2, 0.8, 0.6, and 0.2 for the H. pylori, H. pylori + Curcumin, H. pylori + Licorice, H. pylori + Curcumin and Licorice, PDT alone treatment, and PDT + Curcumin and Licorice groups, respectively. Regarding H. pylori colonization and gastric inflammation scores, the treatment effect of PDT combined with Curcumin and Licorice was significantly greater than that of the other treatments (P<0.05). H. pylori infection significantly increased the NF-κB expression in GECs compared to the control group (20.6%±2.1% vs. 10.1%±2.2%, P=0.035). This expression was significantly reduced in the H. pylori + PDT combined with Curcumin and Licorice (8.8%±1.2%), the H. pylori + Curcumin (15.3%±2.4%), and the H. pylori + Licorice groups (16.4%±2.2%) compared to the H. pylori only group (P <0.05). The administration of Curcumin and Licorice alone did not alter baseline NF-κB expression in GECs (8.3%±1.8%, P=0.120).

Conclusion: Our results demonstrated that combination treatment of PDT with Curcumin and Licorice may exert stronger anti-inflammatory effects by suppressing NF-κB p65 expression in GECs compared to each treatment alone. This combination could serve as a potential treatment option for future studies.

Abstract Image

Abstract Image

Abstract Image

姜黄素、甘草和内窥镜光动力疗法通过调节NF-Κb信号通路对抗幽门螺杆菌的协同作用。
背景:幽门螺杆菌感染影响了全球近一半的人口,是胃十二指肠疾病(包括胃癌)的重要因素。对草药提取物的研究强调了它们的抗菌、抗氧化和抗炎特性,表明了新型协同治疗方法的潜力。目的:通过观察NF-κB信号通路,探讨姜黄素、甘草和光动力疗法(PDT)对大鼠幽门螺杆菌感染的协同抑菌作用。材料与方法:雄性大鼠40只(250 ~ 300 g),随机分为8组:对照组,给药600 mg;姜黄素和200毫克。甘草,幽门螺杆菌感染大鼠,600 mg幽门螺杆菌感染大鼠。姜黄素,幽门螺杆菌感染大鼠200毫克。甘草,幽门螺杆菌感染大鼠600毫克。姜黄素和200毫克。PDT(基于3'-唾液基乳糖[3SL]-偶联的聚赖氨酸光敏剂[p3SLP])治疗幽门螺杆菌感染大鼠,PDT联合姜黄素和甘草治疗幽门螺杆菌感染大鼠。免疫组化法检测胃上皮细胞中NF-κB p65的表达。结果:对照组和姜黄素+甘草组幽门螺杆菌定殖评分平均为零。而幽门螺杆菌组、幽门螺杆菌+姜黄素组、幽门螺杆菌+甘草组、幽门螺杆菌+姜黄素和甘草组、PDT单独治疗组和PDT +姜黄素和甘草组的得分分别为1.8、1.0、1.2、0.8、0.6和0.2。在幽门螺杆菌定植和胃炎症评分方面,PDT联合姜黄素和甘草治疗效果显著大于其他治疗(P)。与对照组相比,幽门螺旋杆菌感染显著增加了gec中NF-κB的表达(20.6%±2.1% vs. 10.1%±2.2%,P=0.035)。与单独幽门螺杆菌组相比,幽门螺杆菌+ PDT联合姜黄素和甘草组(8.8%±1.2%)、幽门螺杆菌+姜黄素组(15.3%±2.4%)和幽门螺杆菌+甘草组(16.4%±2.2%)的表达量显著降低(P)。姜黄素和甘草单独给药没有改变gec中NF-κB的基线表达(8.3%±1.8%,P=0.120)。结论:姜黄素和甘草联合治疗可通过抑制gec中NF-κB p65的表达而发挥更强的抗炎作用。这种组合可以作为未来研究的潜在治疗选择。
本文章由计算机程序翻译,如有差异,请以英文原文为准。
求助全文
约1分钟内获得全文 求助全文
来源期刊
Iranian Journal of Biotechnology
Iranian Journal of Biotechnology BIOTECHNOLOGY & APPLIED MICROBIOLOGY-
CiteScore
2.60
自引率
7.70%
发文量
20
期刊介绍: Iranian Journal of Biotechnology (IJB) is published quarterly by the National Institute of Genetic Engineering and Biotechnology. IJB publishes original scientific research papers in the broad area of Biotechnology such as, Agriculture, Animal and Marine Sciences, Basic Sciences, Bioinformatics, Biosafety and Bioethics, Environment, Industry and Mining and Medical Sciences.
×
引用
GB/T 7714-2015
复制
MLA
复制
APA
复制
导出至
BibTeX EndNote RefMan NoteFirst NoteExpress
×
提示
您的信息不完整,为了账户安全,请先补充。
现在去补充
×
提示
您因"违规操作"
具体请查看互助需知
我知道了
×
提示
确定
请完成安全验证×
copy
已复制链接
快去分享给好友吧!
我知道了
右上角分享
点击右上角分享
0
联系我们:info@booksci.cn Book学术提供免费学术资源搜索服务,方便国内外学者检索中英文文献。致力于提供最便捷和优质的服务体验。 Copyright © 2023 布克学术 All rights reserved.
京ICP备2023020795号-1
ghs 京公网安备 11010802042870号
Book学术文献互助
Book学术文献互助群
群 号:604180095
Book学术官方微信