Benefit of switching to firmonertinib following almonertinib-induced interstitial pneumonitis in a patient with advanced non-small-cell lung cancer: a case report.

IF 2.2 4区 医学 Q3 ONCOLOGY
Anti-Cancer Drugs Pub Date : 2025-09-01 Epub Date: 2025-06-04 DOI:10.1097/CAD.0000000000001742
Lingying Wang, Pan Yang, Hu Luo
{"title":"Benefit of switching to firmonertinib following almonertinib-induced interstitial pneumonitis in a patient with advanced non-small-cell lung cancer: a case report.","authors":"Lingying Wang, Pan Yang, Hu Luo","doi":"10.1097/CAD.0000000000001742","DOIUrl":null,"url":null,"abstract":"<p><p>Almonertinib, a representative epidermal growth factor receptor tyrosine kinase inhibitor (EGFR-TKI), is the first-line standard treatment for EGFR-mutant advanced non-small-cell lung cancer; however, it may induce drug-related interstitial lung disease (ILD). This case report presents a 67-year-old female with advanced lung adenocarcinoma, who was diagnosed with an EGFR exon 19 deletion mutation. After 2 months of first-line almonertinib treatment (110 mg/day), a PR was achieved; however, progressive respiratory distress emerged. Chest computed tomography revealed ground-glass opacities accompanied by grid-like changes in both lungs, leading to a diagnosis of EGFR-TKI-related ILD (grade 2). Following glucocorticoid treatment and medication discontinuation, the lung lesions improved. Given the persistent tumor activity, the patient was switched to firmonertinib (80 mg/day) for targeted therapy. This switch did not lead to a recurrence of ILD symptoms, with a progression-free survival exceeding 5 months and good tolerability. This suggests that for patients with ILD associated with almonertinib and firmonertinib may serve as an effective and safe alternative. Closely monitoring ILD in clinical practice and promptly switching to similar drugs may avoid chemotherapy intervention and optimize treatment strategies. This case marks the first report of clinical experience achieving sustained remission by switching to a similar drug, firmonertinib, in patients with ILD related to almonertinib.</p>","PeriodicalId":7969,"journal":{"name":"Anti-Cancer Drugs","volume":" ","pages":"682-685"},"PeriodicalIF":2.2000,"publicationDate":"2025-09-01","publicationTypes":"Journal Article","fieldsOfStudy":null,"isOpenAccess":false,"openAccessPdf":"https://www.ncbi.nlm.nih.gov/pmc/articles/PMC12329803/pdf/","citationCount":"0","resultStr":null,"platform":"Semanticscholar","paperid":null,"PeriodicalName":"Anti-Cancer Drugs","FirstCategoryId":"3","ListUrlMain":"https://doi.org/10.1097/CAD.0000000000001742","RegionNum":4,"RegionCategory":"医学","ArticlePicture":[],"TitleCN":null,"AbstractTextCN":null,"PMCID":null,"EPubDate":"2025/6/4 0:00:00","PubModel":"Epub","JCR":"Q3","JCRName":"ONCOLOGY","Score":null,"Total":0}
引用次数: 0

Abstract

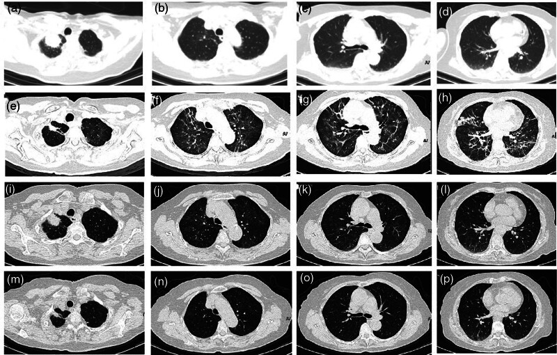
Almonertinib, a representative epidermal growth factor receptor tyrosine kinase inhibitor (EGFR-TKI), is the first-line standard treatment for EGFR-mutant advanced non-small-cell lung cancer; however, it may induce drug-related interstitial lung disease (ILD). This case report presents a 67-year-old female with advanced lung adenocarcinoma, who was diagnosed with an EGFR exon 19 deletion mutation. After 2 months of first-line almonertinib treatment (110 mg/day), a PR was achieved; however, progressive respiratory distress emerged. Chest computed tomography revealed ground-glass opacities accompanied by grid-like changes in both lungs, leading to a diagnosis of EGFR-TKI-related ILD (grade 2). Following glucocorticoid treatment and medication discontinuation, the lung lesions improved. Given the persistent tumor activity, the patient was switched to firmonertinib (80 mg/day) for targeted therapy. This switch did not lead to a recurrence of ILD symptoms, with a progression-free survival exceeding 5 months and good tolerability. This suggests that for patients with ILD associated with almonertinib and firmonertinib may serve as an effective and safe alternative. Closely monitoring ILD in clinical practice and promptly switching to similar drugs may avoid chemotherapy intervention and optimize treatment strategies. This case marks the first report of clinical experience achieving sustained remission by switching to a similar drug, firmonertinib, in patients with ILD related to almonertinib.

Abstract Image

Abstract Image

Abstract Image

Abstract Image

阿莫那替尼诱导的晚期非小细胞肺癌间质性肺炎患者改用非莫那替尼的益处:1例报告
Almonertinib是表皮生长因子受体酪氨酸激酶抑制剂(EGFR-TKI)的代表,是egfr突变晚期非小细胞肺癌的一线标准治疗药物;然而,它可能诱发药物相关性间质性肺疾病(ILD)。本病例报告报告了一位67岁晚期肺腺癌女性,她被诊断为EGFR外显子19缺失突变。一线almonertinib治疗(110 mg/天)2个月后,达到PR;然而,出现了进行性呼吸窘迫。胸部计算机断层扫描显示双肺磨玻璃影伴网格样改变,诊断为egfr - tki相关ILD(2级)。在糖皮质激素治疗和停药后,肺部病变有所改善。鉴于持续的肿瘤活性,患者改用菲莫尼替尼(80 mg/天)进行靶向治疗。这种转换没有导致ILD症状复发,无进展生存期超过5个月,耐受性良好。这表明,对于与阿莫那替尼和菲莫那替尼相关的ILD患者,可能是一种有效和安全的选择。在临床实践中密切监测ILD并及时切换到类似的药物可以避免化疗干预和优化治疗策略。该病例标志着临床经验的第一个报告,即在与阿莫那替尼相关的ILD患者中,通过改用类似的药物菲莫那替尼实现持续缓解。
本文章由计算机程序翻译,如有差异,请以英文原文为准。
求助全文
约1分钟内获得全文 求助全文
来源期刊
Anti-Cancer Drugs
Anti-Cancer Drugs 医学-药学
CiteScore
3.80
自引率
0.00%
发文量
244
审稿时长
3 months
期刊介绍: Anti-Cancer Drugs reports both clinical and experimental results related to anti-cancer drugs, and welcomes contributions on anti-cancer drug design, drug delivery, pharmacology, hormonal and biological modalities and chemotherapy evaluation. An internationally refereed journal devoted to the fast publication of innovative investigations on therapeutic agents against cancer, Anti-Cancer Drugs aims to stimulate and report research on both toxic and non-toxic anti-cancer agents. Consequently, the scope on the journal will cover both conventional cytotoxic chemotherapy and hormonal or biological response modalities such as interleukins and immunotherapy. Submitted articles undergo a preliminary review by the editor. Some articles may be returned to authors without further consideration. Those being considered for publication will undergo further assessment and peer-review by the editors and those invited to do so from a reviewer pool.
×
引用
GB/T 7714-2015
复制
MLA
复制
APA
复制
导出至
BibTeX EndNote RefMan NoteFirst NoteExpress
×
提示
您的信息不完整,为了账户安全,请先补充。
现在去补充
×
提示
您因"违规操作"
具体请查看互助需知
我知道了
×
提示
确定
请完成安全验证×
copy
已复制链接
快去分享给好友吧!
我知道了
右上角分享
点击右上角分享
0
联系我们:info@booksci.cn Book学术提供免费学术资源搜索服务,方便国内外学者检索中英文文献。致力于提供最便捷和优质的服务体验。 Copyright © 2023 布克学术 All rights reserved.
京ICP备2023020795号-1
ghs 京公网安备 11010802042870号
Book学术文献互助
Book学术文献互助群
群 号:604180095
Book学术官方微信