Cementing technique of the femur in primary THA: the French paradox.

IF 4 2区 医学 Q1 ORTHOPEDICS
Pierre Laboudie, Moussa Hamadouche
{"title":"Cementing technique of the femur in primary THA: the French paradox.","authors":"Pierre Laboudie, Moussa Hamadouche","doi":"10.1530/EOR-2025-0053","DOIUrl":null,"url":null,"abstract":"<p><p>The French paradox cementing technique encompasses a canal filling highly polished stem with a thin (<1 mm) cement mantle. The technique has been developed by Pr Marcel Kerboull in the late 1960s after he observed the patterns of debonding of the original Charnley stem. The key point of the technique is based upon removal of the metaphyseal cancellous bone (with hollow reamers or aggressive broaches) especially at the supero-medial region. Only two stems have been validated with this technique: the Charnley-Kerboull (CK) and the Ceraver Osteal stem, both of which are collared. This technique is neither a taper slip (the stem does not subside at long-term follow-up) nor a composite beam (a highly polished stem is used). A 12% shortened stem CK has shown similar results to the standard-length stem, including the absence of stem subsidence. Combined with the Hueter anterior approach, this technique has demonstrated one of the lowest femoral PPF rate in elderly patients in the literature.</p>","PeriodicalId":48598,"journal":{"name":"Efort Open Reviews","volume":"10 6","pages":"361-368"},"PeriodicalIF":4.0000,"publicationDate":"2025-06-02","publicationTypes":"Journal Article","fieldsOfStudy":null,"isOpenAccess":false,"openAccessPdf":"https://www.ncbi.nlm.nih.gov/pmc/articles/PMC12139596/pdf/","citationCount":"0","resultStr":null,"platform":"Semanticscholar","paperid":null,"PeriodicalName":"Efort Open Reviews","FirstCategoryId":"3","ListUrlMain":"https://doi.org/10.1530/EOR-2025-0053","RegionNum":2,"RegionCategory":"医学","ArticlePicture":[],"TitleCN":null,"AbstractTextCN":null,"PMCID":null,"EPubDate":"","PubModel":"","JCR":"Q1","JCRName":"ORTHOPEDICS","Score":null,"Total":0}
引用次数: 0

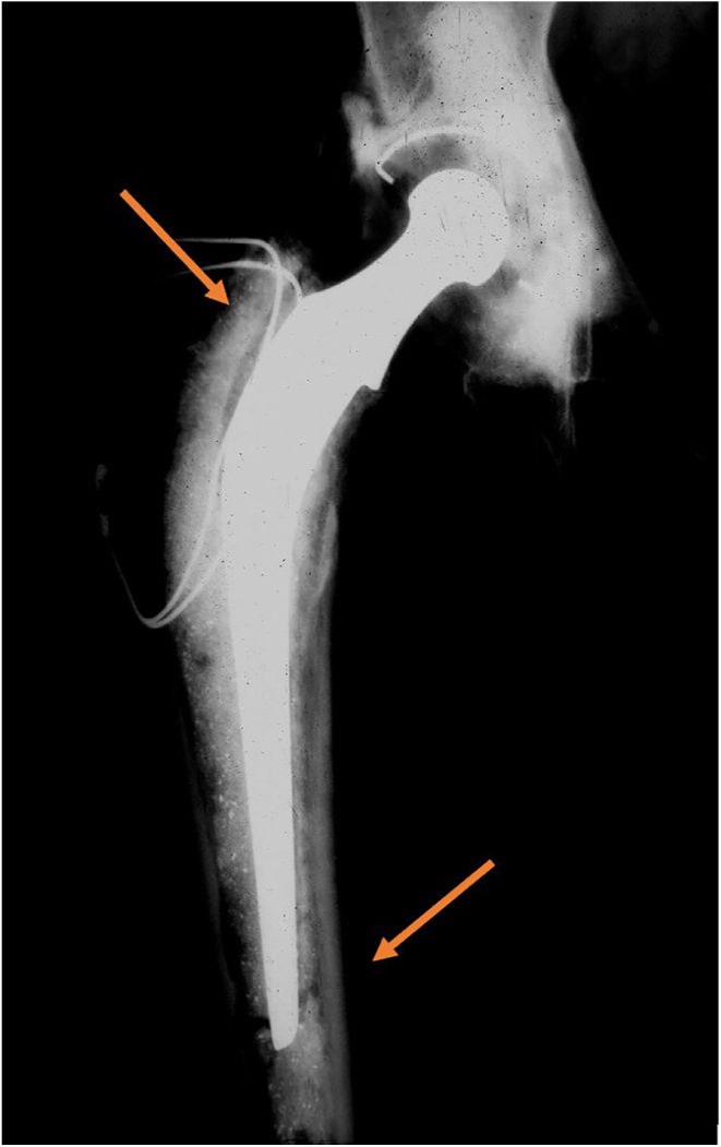
Abstract

The French paradox cementing technique encompasses a canal filling highly polished stem with a thin (<1 mm) cement mantle. The technique has been developed by Pr Marcel Kerboull in the late 1960s after he observed the patterns of debonding of the original Charnley stem. The key point of the technique is based upon removal of the metaphyseal cancellous bone (with hollow reamers or aggressive broaches) especially at the supero-medial region. Only two stems have been validated with this technique: the Charnley-Kerboull (CK) and the Ceraver Osteal stem, both of which are collared. This technique is neither a taper slip (the stem does not subside at long-term follow-up) nor a composite beam (a highly polished stem is used). A 12% shortened stem CK has shown similar results to the standard-length stem, including the absence of stem subsidence. Combined with the Hueter anterior approach, this technique has demonstrated one of the lowest femoral PPF rate in elderly patients in the literature.

Abstract Image

Abstract Image

Abstract Image

原发性髋关节置换术中股骨骨水泥技术:法国悖论。
法国悖论固井技术包括用薄的(
本文章由计算机程序翻译,如有差异,请以英文原文为准。
求助全文
约1分钟内获得全文 求助全文
来源期刊
Efort Open Reviews
Efort Open Reviews Medicine-Orthopedics and Sports Medicine
CiteScore
6.60
自引率
2.90%
发文量
101
审稿时长
13 weeks
期刊介绍: EFORT Open Reviews publishes high-quality instructional review articles across the whole field of orthopaedics and traumatology. Commissioned, peer-reviewed articles from international experts summarize current knowledge and practice in orthopaedics, with the aim of providing systematic coverage of the field. All articles undergo rigorous scientific editing to ensure the highest standards of accuracy and clarity. This continuously published online journal is fully open access and will provide integrated CME. It is an authoritative resource for educating trainees and supports practising orthopaedic surgeons in keeping informed about the latest clinical and scientific advances. One print issue containing a selection of papers from the journal will be published each year to coincide with the EFORT Annual Congress. EFORT Open Reviews is the official journal of the European Federation of National Associations of Orthopaedics and Traumatology (EFORT) and is published in partnership with The British Editorial Society of Bone & Joint Surgery.
×
引用
GB/T 7714-2015
复制
MLA
复制
APA
复制
导出至
BibTeX EndNote RefMan NoteFirst NoteExpress
×
提示
您的信息不完整,为了账户安全,请先补充。
现在去补充
×
提示
您因"违规操作"
具体请查看互助需知
我知道了
×
提示
确定
请完成安全验证×
copy
已复制链接
快去分享给好友吧!
我知道了
右上角分享
点击右上角分享
0
联系我们:info@booksci.cn Book学术提供免费学术资源搜索服务,方便国内外学者检索中英文文献。致力于提供最便捷和优质的服务体验。 Copyright © 2023 布克学术 All rights reserved.
京ICP备2023020795号-1
ghs 京公网安备 11010802042870号
Book学术文献互助
Book学术文献互助群
群 号:604180095
Book学术官方微信