Elucidating the Role of FASN in Lung Cancer Stem Cells in Sensitive and Resistant EGFR-Mutated Non-Small Cell Lung Cancer Cells.

IF 3.3 Q1 ONCOLOGY
Lung Cancer: Targets and Therapy Pub Date : 2025-05-27 eCollection Date: 2025-01-01 DOI:10.2147/LCTT.S512936
Emma Polonio-Alcalá, Sira Ausellé-Bosch, Gerard Riesco-Llach, Pablo Novales, Lidia Feliu, Marta Planas, Joaquim Ciurana, Teresa Puig
{"title":"Elucidating the Role of FASN in Lung Cancer Stem Cells in Sensitive and Resistant EGFR-Mutated Non-Small Cell Lung Cancer Cells.","authors":"Emma Polonio-Alcalá, Sira Ausellé-Bosch, Gerard Riesco-Llach, Pablo Novales, Lidia Feliu, Marta Planas, Joaquim Ciurana, Teresa Puig","doi":"10.2147/LCTT.S512936","DOIUrl":null,"url":null,"abstract":"<p><strong>Introduction: </strong>Cancer stem cells (CSCs) drive tumor initiation, relapse, and metastasis. Our research team developed polycaprolactone electrospun (PCL-ES) scaffolds for enriching lung CSCs (LCSCs) since monolayer culture do not allow the study of this malignant population. The upregulation of fatty acid synthase (FASN) correlates with resistance to tyrosine kinase inhibitors (TKIs) targeting the epidermal growth factor receptor (EGFR), and its inhibition induces cytotoxicity in EGFR-mutated (EGFRm) non-small cell lung cancer (NSCLC) cells. Therefore, this study aims to elucidate the role of FASN and related signaling pathways in LCSCs cultured in PCL-ES scaffolds and to evaluate the effectiveness of FASN inhibitor G28, a synthetic derivative of (-)-epigallocatechin-3-gallate (EGCG), against this population.</p><p><strong>Methods: </strong>EGFR-TKI-sensitive and -resistant cell modes were used. FASN expression and function were studied by RT-qPCR, Western blotting, and free fatty acid quantification, while related signaling pathways (EGFR, MAPK, AKT, and STAT3) were examined by Western blotting. The effects of G28 on LCSCs -including its impact on FASN and related signaling-were evaluated using the MTT assay and Western blotting.</p><p><strong>Results: </strong>LCSCs cultured in PCL-ES scaffolds showed a significant FASN upregulation, supporting their proliferation and maintenance. Despite reduced EGFR activation in 3D-cultured cells, downstream signaling responses differed: PC9 cells exhibited higher levels of p-AKT, p-MAPK, and p-STAT3, while PC9-GR3 cells showed reduced p-MAPK and p-AKT, with no changes in p-STAT3. Regarding G28 treatment, it exhibited cytotoxic effects in both 2D- and 3D-cultured cells, suggesting potential efficacy in targeting both non-LCSCs and LCSCs. Furthermore, the treatment downregulated FASN and AKT, reducing or avoiding the proliferation of this malignant population.</p><p><strong>Conclusion: </strong>Our results highlight the potential of G28 as a therapeutic option for targeting LCSCs in both sensitive and resistant EGFRm NSCLC cells, though additional studies are required to validate these results and assess their clinical applicability.</p>","PeriodicalId":18066,"journal":{"name":"Lung Cancer: Targets and Therapy","volume":"16 ","pages":"57-72"},"PeriodicalIF":3.3000,"publicationDate":"2025-05-27","publicationTypes":"Journal Article","fieldsOfStudy":null,"isOpenAccess":false,"openAccessPdf":"https://www.ncbi.nlm.nih.gov/pmc/articles/PMC12126118/pdf/","citationCount":"0","resultStr":null,"platform":"Semanticscholar","paperid":null,"PeriodicalName":"Lung Cancer: Targets and Therapy","FirstCategoryId":"1085","ListUrlMain":"https://doi.org/10.2147/LCTT.S512936","RegionNum":0,"RegionCategory":null,"ArticlePicture":[],"TitleCN":null,"AbstractTextCN":null,"PMCID":null,"EPubDate":"2025/1/1 0:00:00","PubModel":"eCollection","JCR":"Q1","JCRName":"ONCOLOGY","Score":null,"Total":0}
引用次数: 0

Abstract

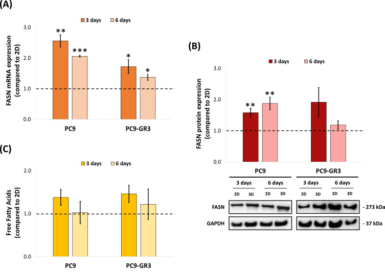
Introduction: Cancer stem cells (CSCs) drive tumor initiation, relapse, and metastasis. Our research team developed polycaprolactone electrospun (PCL-ES) scaffolds for enriching lung CSCs (LCSCs) since monolayer culture do not allow the study of this malignant population. The upregulation of fatty acid synthase (FASN) correlates with resistance to tyrosine kinase inhibitors (TKIs) targeting the epidermal growth factor receptor (EGFR), and its inhibition induces cytotoxicity in EGFR-mutated (EGFRm) non-small cell lung cancer (NSCLC) cells. Therefore, this study aims to elucidate the role of FASN and related signaling pathways in LCSCs cultured in PCL-ES scaffolds and to evaluate the effectiveness of FASN inhibitor G28, a synthetic derivative of (-)-epigallocatechin-3-gallate (EGCG), against this population.

Methods: EGFR-TKI-sensitive and -resistant cell modes were used. FASN expression and function were studied by RT-qPCR, Western blotting, and free fatty acid quantification, while related signaling pathways (EGFR, MAPK, AKT, and STAT3) were examined by Western blotting. The effects of G28 on LCSCs -including its impact on FASN and related signaling-were evaluated using the MTT assay and Western blotting.

Results: LCSCs cultured in PCL-ES scaffolds showed a significant FASN upregulation, supporting their proliferation and maintenance. Despite reduced EGFR activation in 3D-cultured cells, downstream signaling responses differed: PC9 cells exhibited higher levels of p-AKT, p-MAPK, and p-STAT3, while PC9-GR3 cells showed reduced p-MAPK and p-AKT, with no changes in p-STAT3. Regarding G28 treatment, it exhibited cytotoxic effects in both 2D- and 3D-cultured cells, suggesting potential efficacy in targeting both non-LCSCs and LCSCs. Furthermore, the treatment downregulated FASN and AKT, reducing or avoiding the proliferation of this malignant population.

Conclusion: Our results highlight the potential of G28 as a therapeutic option for targeting LCSCs in both sensitive and resistant EGFRm NSCLC cells, though additional studies are required to validate these results and assess their clinical applicability.

Abstract Image

Abstract Image

Abstract Image

阐明肺癌干细胞中FASN在敏感和耐药egfr突变的非小细胞肺癌细胞中的作用。
肿瘤干细胞(CSCs)驱动肿瘤的发生、复发和转移。我们的研究小组开发了聚己内酯电纺丝(PCL-ES)支架,用于富集肺间质干细胞(LCSCs),因为单层培养不允许研究这种恶性群体。脂肪酸合成酶(FASN)的上调与对靶向表皮生长因子受体(EGFR)的酪氨酸激酶抑制剂(TKIs)的耐药性相关,其抑制可诱导EGFR突变(EGFRm)非小细胞肺癌(NSCLC)细胞的细胞毒性。因此,本研究旨在阐明FASN及其相关信号通路在PCL-ES支架中培养的LCSCs中的作用,并评估FASN抑制剂G28(一种(-)-表没食子儿茶素-3-没食子酸酯(EGCG)的合成衍生物)对该群体的有效性。方法:采用egfr - tki敏感和耐药细胞模式。采用RT-qPCR、Western blotting和游离脂肪酸定量检测FASN的表达和功能,Western blotting检测相关信号通路(EGFR、MAPK、AKT、STAT3)。G28对LCSCs的影响-包括其对FASN和相关信号的影响-使用MTT试验和Western blotting进行评估。结果:PCL-ES支架培养的LCSCs FASN表达明显上调,支持其增殖和维持。尽管3d培养的细胞EGFR激活降低,但下游信号传导反应不同:PC9细胞表现出更高水平的p-AKT、p-MAPK和p-STAT3,而PC9- gr3细胞表现出降低的p-MAPK和p-AKT, p-STAT3没有变化。关于G28的治疗,它在2D和3d培养的细胞中都表现出细胞毒性作用,这表明它对非LCSCs和LCSCs都有潜在的疗效。此外,治疗下调FASN和AKT,减少或避免这种恶性群体的增殖。结论:我们的研究结果强调了G28作为靶向LCSCs治疗敏感和耐药EGFRm NSCLC细胞的潜力,尽管需要进一步的研究来验证这些结果并评估其临床适用性。
本文章由计算机程序翻译,如有差异,请以英文原文为准。
求助全文
约1分钟内获得全文 求助全文
来源期刊
CiteScore
8.10
自引率
0.00%
发文量
10
审稿时长
16 weeks
×
引用
GB/T 7714-2015
复制
MLA
复制
APA
复制
导出至
BibTeX EndNote RefMan NoteFirst NoteExpress
×
提示
您的信息不完整,为了账户安全,请先补充。
现在去补充
×
提示
您因"违规操作"
具体请查看互助需知
我知道了
×
提示
确定
请完成安全验证×
copy
已复制链接
快去分享给好友吧!
我知道了
右上角分享
点击右上角分享
0
联系我们:info@booksci.cn Book学术提供免费学术资源搜索服务,方便国内外学者检索中英文文献。致力于提供最便捷和优质的服务体验。 Copyright © 2023 布克学术 All rights reserved.
京ICP备2023020795号-1
ghs 京公网安备 11010802042870号
Book学术文献互助
Book学术文献互助群
群 号:604180095
Book学术官方微信