Biphasic contrast-enhanced [18F]PSMA-1007 PET/CT imaging to improve the detection of local relapse of prostate cancer.

IF 3.1 3区 医学 Q1 RADIOLOGY, NUCLEAR MEDICINE & MEDICAL IMAGING
Eduards Mamlins, Emil Novruzov, Tadashi Watabe, Yuriko Mori, Mardjan Dabir, Katalin Mattes-György, Christina Antke, Jan Henke, Matthias Boschheidgen, Julian Kirchner, Danny Jazmati, Jan Hausmann, Jan P Radtke, Günter Niegisch, Jens Cardinale, Juliane Hörner-Rieber, Peter Albers, Gerald Antoch, Frederik L Giesel, Lars Schimmöller
{"title":"Biphasic contrast-enhanced [<sup>18</sup>F]PSMA-1007 PET/CT imaging to improve the detection of local relapse of prostate cancer.","authors":"Eduards Mamlins, Emil Novruzov, Tadashi Watabe, Yuriko Mori, Mardjan Dabir, Katalin Mattes-György, Christina Antke, Jan Henke, Matthias Boschheidgen, Julian Kirchner, Danny Jazmati, Jan Hausmann, Jan P Radtke, Günter Niegisch, Jens Cardinale, Juliane Hörner-Rieber, Peter Albers, Gerald Antoch, Frederik L Giesel, Lars Schimmöller","doi":"10.1186/s13550-025-01252-4","DOIUrl":null,"url":null,"abstract":"<p><strong>Background: </strong>The implementation of PSMA imaging in prostate cancer (PC) management has significantly improved the medical care of patients owing to its clinical impact, particularly with respect to biochemical recurrence. However, there is still an unmet clinical need regarding the correct discrimination of equivocal, centrally located, focal [<sup>18</sup>F]PSMA-1007 uptake without any CT-morphological findings in the postsurgical prostate bed. The aim of this monocentric, retrospective study was to investigate the efficacy of a biphasic, contrast-enhanced [<sup>18</sup>F]PSMA-1007 acquisition protocol.</p><p><strong>Results: </strong>This study investigated a total of 24 biologically male patients with BCR, with a mean PSA level of 0.96 ng/ml at the time of recurrence. The presence of local relapse was regarded as consistent by biphasic, contrast-enhanced [<sup>18</sup>F]PSMA-1007 PET/CT scans, of which 22 cases were finally validated through the composite reference standard after a 2-years follow-up. The acquisition of whole-body, contrast-enhanced PET/CT imaging data was performed after a mean of 105 (± 19) minutes, whereas late-phase PET/CT imaging of the pelvis with low-dose CT was conducted after 140 min (± 10) on average following the intravenous application of [<sup>18</sup>F]PSMA-1007 (injected mean activity of 240 MBq (± 29)). The median SUV<sub>max</sub> and SUV<sub>mean</sub> values of local relapse increased by 26% and 5%, respectively, in late-phase images. Moreover, median TBR with respect to the obturator internus muscle seemed to benefit the most from late-phase imaging, with an increase of 185%. The dynamics of the SUV metrics and TBR in lesions were statistically significant (P value < 0.001-0.019). Moreover, the retrospective reading of delayed [<sup>18</sup>F]PSMA-1007 PET/CT imaging provided an upgrade of the reporting for suspected local PC relapse from a previous PSMA-RADS 3A to a later PSMA-RADS 5 in seven patients (29%), unless the impact of contrast agent in the urethra would also be considered equally important. For the remaining patients, the qualitative evaluation of contrast agent displacement in the urethra was necessary for a final clinical decision that provided the upgrading of the reporting to PSMA RADS 5 for an additional nine patients (38%).</p><p><strong>Conclusions: </strong>Given the aforementioned, highly specific unmet clinical need for a relatively small ratio of patients with prostate cancer undergoing PSMA imaging, our proposed acquisition protocol mandates a well-balanced preselection of patients. Under this premise, the study results demonstrated that the optimized acquisition protocol with biphasic contrast-enhanced [<sup>18</sup>F]PSMA-1007 PET/CT imaging improved the diagnostic performance for the detection of local PC recurrence in 67% of preselected patients.</p>","PeriodicalId":11611,"journal":{"name":"EJNMMI Research","volume":"15 1","pages":"61"},"PeriodicalIF":3.1000,"publicationDate":"2025-05-30","publicationTypes":"Journal Article","fieldsOfStudy":null,"isOpenAccess":false,"openAccessPdf":"https://www.ncbi.nlm.nih.gov/pmc/articles/PMC12125407/pdf/","citationCount":"0","resultStr":null,"platform":"Semanticscholar","paperid":null,"PeriodicalName":"EJNMMI Research","FirstCategoryId":"3","ListUrlMain":"https://doi.org/10.1186/s13550-025-01252-4","RegionNum":3,"RegionCategory":"医学","ArticlePicture":[],"TitleCN":null,"AbstractTextCN":null,"PMCID":null,"EPubDate":"","PubModel":"","JCR":"Q1","JCRName":"RADIOLOGY, NUCLEAR MEDICINE & MEDICAL IMAGING","Score":null,"Total":0}
引用次数: 0

Abstract

Background: The implementation of PSMA imaging in prostate cancer (PC) management has significantly improved the medical care of patients owing to its clinical impact, particularly with respect to biochemical recurrence. However, there is still an unmet clinical need regarding the correct discrimination of equivocal, centrally located, focal [18F]PSMA-1007 uptake without any CT-morphological findings in the postsurgical prostate bed. The aim of this monocentric, retrospective study was to investigate the efficacy of a biphasic, contrast-enhanced [18F]PSMA-1007 acquisition protocol.

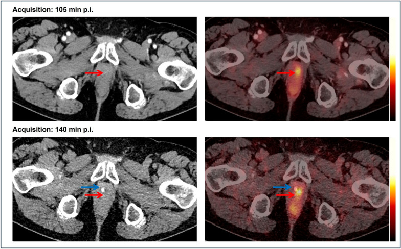
Results: This study investigated a total of 24 biologically male patients with BCR, with a mean PSA level of 0.96 ng/ml at the time of recurrence. The presence of local relapse was regarded as consistent by biphasic, contrast-enhanced [18F]PSMA-1007 PET/CT scans, of which 22 cases were finally validated through the composite reference standard after a 2-years follow-up. The acquisition of whole-body, contrast-enhanced PET/CT imaging data was performed after a mean of 105 (± 19) minutes, whereas late-phase PET/CT imaging of the pelvis with low-dose CT was conducted after 140 min (± 10) on average following the intravenous application of [18F]PSMA-1007 (injected mean activity of 240 MBq (± 29)). The median SUVmax and SUVmean values of local relapse increased by 26% and 5%, respectively, in late-phase images. Moreover, median TBR with respect to the obturator internus muscle seemed to benefit the most from late-phase imaging, with an increase of 185%. The dynamics of the SUV metrics and TBR in lesions were statistically significant (P value < 0.001-0.019). Moreover, the retrospective reading of delayed [18F]PSMA-1007 PET/CT imaging provided an upgrade of the reporting for suspected local PC relapse from a previous PSMA-RADS 3A to a later PSMA-RADS 5 in seven patients (29%), unless the impact of contrast agent in the urethra would also be considered equally important. For the remaining patients, the qualitative evaluation of contrast agent displacement in the urethra was necessary for a final clinical decision that provided the upgrading of the reporting to PSMA RADS 5 for an additional nine patients (38%).

Conclusions: Given the aforementioned, highly specific unmet clinical need for a relatively small ratio of patients with prostate cancer undergoing PSMA imaging, our proposed acquisition protocol mandates a well-balanced preselection of patients. Under this premise, the study results demonstrated that the optimized acquisition protocol with biphasic contrast-enhanced [18F]PSMA-1007 PET/CT imaging improved the diagnostic performance for the detection of local PC recurrence in 67% of preselected patients.

Abstract Image

Abstract Image

Abstract Image

双相增强[18F]PSMA-1007 PET/CT显像提高前列腺癌局部复发的检出率。
背景:PSMA成像在前列腺癌(PC)治疗中的应用,由于其临床影响,特别是在生化复发方面,显著改善了患者的医疗护理。然而,对于术后前列腺床中没有任何ct形态学发现的模棱两可的、中心位置的局灶性[18F]PSMA-1007摄取的正确鉴别,临床需求仍未得到满足。这项单中心回顾性研究的目的是探讨双相对比增强[18F]PSMA-1007获取方案的疗效。结果:本研究共调查了24例生物学上男性BCR患者,复发时平均PSA水平为0.96 ng/ml。双相增强[18F]PSMA-1007 PET/CT扫描一致认为存在局部复发,其中22例经过2年随访,最终通过复合参考标准得到验证。在静脉注射[18F]PSMA-1007(注射平均活度为240 MBq(±29))后,平均在140分钟(±10)后,通过低剂量CT进行骨盆晚期PET/CT成像,平均在105(±19)分钟后获得全身增强PET/CT成像数据。在晚期图像中,局部复发的中位SUVmax和suv平均值分别增加了26%和5%。此外,关于闭孔内肌的中位TBR似乎从晚期成像中获益最多,增加了185%。PSMA-1007 PET/CT成像将7例(29%)患者疑似局部PC复发的报告从先前的PSMA-RADS 3A升级到后来的PSMA-RADS 5,除非尿道内造影剂的影响也被认为同样重要。对于其余患者,对尿道内造影剂移位的定性评估对于最终的临床决定是必要的,并为另外9名患者(38%)提供了升级到PSMA RADS 5的报告。结论:鉴于上述高度特异性的未满足的临床需求,相对较小比例的前列腺癌患者接受PSMA成像,我们提出的获取方案要求对患者进行良好平衡的预选。在此前提下,本研究结果表明,优化后的双相增强[18F]PSMA-1007 PET/CT成像采集方案提高了67%预选患者局部PC复发的诊断效能。
本文章由计算机程序翻译,如有差异,请以英文原文为准。
求助全文
约1分钟内获得全文 求助全文
来源期刊
EJNMMI Research
EJNMMI Research RADIOLOGY, NUCLEAR MEDICINE & MEDICAL IMAGING&nb-
CiteScore
5.90
自引率
3.10%
发文量
72
审稿时长
13 weeks
期刊介绍: EJNMMI Research publishes new basic, translational and clinical research in the field of nuclear medicine and molecular imaging. Regular features include original research articles, rapid communication of preliminary data on innovative research, interesting case reports, editorials, and letters to the editor. Educational articles on basic sciences, fundamental aspects and controversy related to pre-clinical and clinical research or ethical aspects of research are also welcome. Timely reviews provide updates on current applications, issues in imaging research and translational aspects of nuclear medicine and molecular imaging technologies. The main emphasis is placed on the development of targeted imaging with radiopharmaceuticals within the broader context of molecular probes to enhance understanding and characterisation of the complex biological processes underlying disease and to develop, test and guide new treatment modalities, including radionuclide therapy.
×
引用
GB/T 7714-2015
复制
MLA
复制
APA
复制
导出至
BibTeX EndNote RefMan NoteFirst NoteExpress
×
提示
您的信息不完整,为了账户安全,请先补充。
现在去补充
×
提示
您因"违规操作"
具体请查看互助需知
我知道了
×
提示
确定
请完成安全验证×
copy
已复制链接
快去分享给好友吧!
我知道了
右上角分享
点击右上角分享
0
联系我们:info@booksci.cn Book学术提供免费学术资源搜索服务,方便国内外学者检索中英文文献。致力于提供最便捷和优质的服务体验。 Copyright © 2023 布克学术 All rights reserved.
京ICP备2023020795号-1
ghs 京公网安备 11010802042870号
Book学术文献互助
Book学术文献互助群
群 号:604180095
Book学术官方微信