Distal femur fractures stabilized using titanium lateral locked plates with nonlocking diaphyseal fixation: a retrospective review.

Asa Peterson, Benjamin Nwadike, Mikel Headford, Thomas Revak
{"title":"Distal femur fractures stabilized using titanium lateral locked plates with nonlocking diaphyseal fixation: a retrospective review.","authors":"Asa Peterson, Benjamin Nwadike, Mikel Headford, Thomas Revak","doi":"10.1097/OI9.0000000000000399","DOIUrl":null,"url":null,"abstract":"<p><strong>Objectives: </strong>Multiple treatment modalities exist for treating distal femur fractures. Lateral locked plating has become the method of choice because it prevents loss of reduction due to varus collapse, but has been associated with nonunion rates of up to 30%. Titanium implants may provide a more optimal biomechanical environment for fracture healing. The primary aim of this study is to evaluate nonunion rates and risk factors for nonunion in a series of distal femur fractures stabilized with modern locked titanium implants using all nonlocking diaphyseal fixation. A secondary aim is to evaluate whether diaphyseal fixation with nonlocking screws is associated with fixation complications.</p><p><strong>Methods: </strong>A 6-year retrospective study identified patients undergoing operative fixation of distal femur fractures with lateral locked plating and nonlocking diaphyseal fixation. Patient demographics, fracture and fixation characteristics were recorded. Follow-up data recorded included fracture union, implant failure in the setting of nonunion and secondary procedures. Statistical analyses used include <i>t</i> test, Mann-Whitney <i>U</i>, and logistic regression.</p><p><strong>Results: </strong>Eighty-one fractures met inclusion criteria with 16 fractures resulting in nonunion (19.75%). Comparing union and nonunion cohorts, nonunions were found to be associated with higher body mass index (<i>P</i> = 0.001). Fixation construct data found nonunions had a higher average number of diaphyseal screws (4.25 vs. 3.74, <i>P</i> = 0.038). Subgroup analysis found a nonunion rate of 4.2% (1 out of 24) in fractures with 3 diaphyseal screw fixation versus 26.3% (15 out of 57) with 4 or more diaphyseal screws (<i>P</i> = 0.038). No diaphyseal fixation failures were noted with nonlocking diaphyseal screw fixation.</p><p><strong>Conclusion: </strong>Our study found using a titanium construct produced a nonunion rate of 19.75%, comparable with historic rates. Interestingly, diaphyseal fixation with more than 3 screws led to higher nonunion rates. No catastrophic failures were observed involving the diaphyseal nonlocking screw fixation.</p>","PeriodicalId":74381,"journal":{"name":"OTA international : the open access journal of orthopaedic trauma","volume":"8 2","pages":"e399"},"PeriodicalIF":0.0000,"publicationDate":"2025-05-29","publicationTypes":"Journal Article","fieldsOfStudy":null,"isOpenAccess":false,"openAccessPdf":"https://www.ncbi.nlm.nih.gov/pmc/articles/PMC12122169/pdf/","citationCount":"0","resultStr":null,"platform":"Semanticscholar","paperid":null,"PeriodicalName":"OTA international : the open access journal of orthopaedic trauma","FirstCategoryId":"1085","ListUrlMain":"https://doi.org/10.1097/OI9.0000000000000399","RegionNum":0,"RegionCategory":null,"ArticlePicture":[],"TitleCN":null,"AbstractTextCN":null,"PMCID":null,"EPubDate":"2025/6/1 0:00:00","PubModel":"eCollection","JCR":"","JCRName":"","Score":null,"Total":0}
引用次数: 0

Abstract

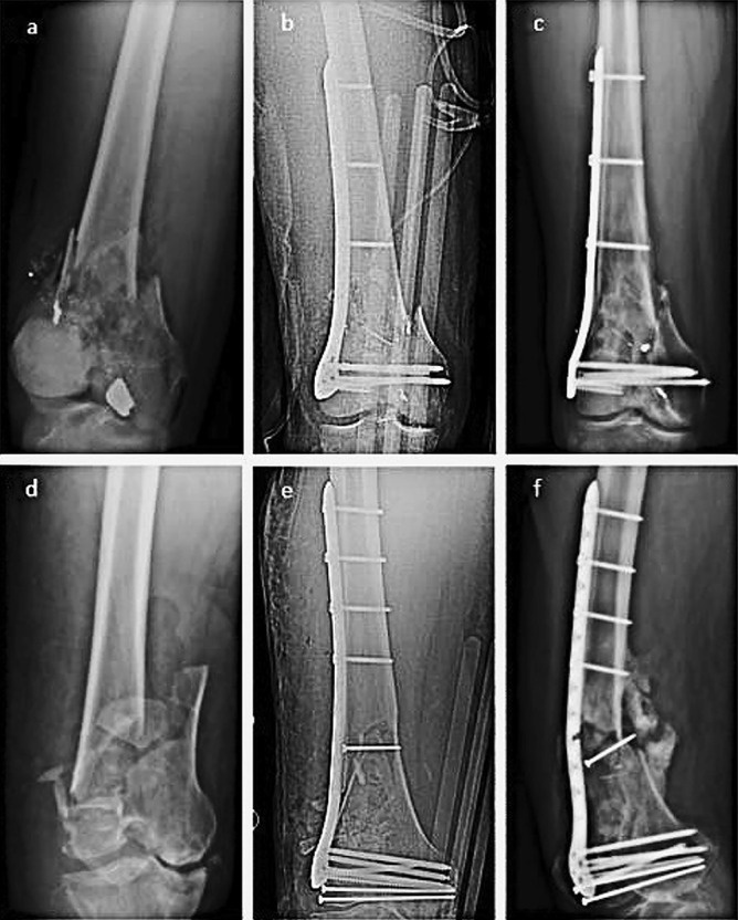
Objectives: Multiple treatment modalities exist for treating distal femur fractures. Lateral locked plating has become the method of choice because it prevents loss of reduction due to varus collapse, but has been associated with nonunion rates of up to 30%. Titanium implants may provide a more optimal biomechanical environment for fracture healing. The primary aim of this study is to evaluate nonunion rates and risk factors for nonunion in a series of distal femur fractures stabilized with modern locked titanium implants using all nonlocking diaphyseal fixation. A secondary aim is to evaluate whether diaphyseal fixation with nonlocking screws is associated with fixation complications.

Methods: A 6-year retrospective study identified patients undergoing operative fixation of distal femur fractures with lateral locked plating and nonlocking diaphyseal fixation. Patient demographics, fracture and fixation characteristics were recorded. Follow-up data recorded included fracture union, implant failure in the setting of nonunion and secondary procedures. Statistical analyses used include t test, Mann-Whitney U, and logistic regression.

Results: Eighty-one fractures met inclusion criteria with 16 fractures resulting in nonunion (19.75%). Comparing union and nonunion cohorts, nonunions were found to be associated with higher body mass index (P = 0.001). Fixation construct data found nonunions had a higher average number of diaphyseal screws (4.25 vs. 3.74, P = 0.038). Subgroup analysis found a nonunion rate of 4.2% (1 out of 24) in fractures with 3 diaphyseal screw fixation versus 26.3% (15 out of 57) with 4 or more diaphyseal screws (P = 0.038). No diaphyseal fixation failures were noted with nonlocking diaphyseal screw fixation.

Conclusion: Our study found using a titanium construct produced a nonunion rate of 19.75%, comparable with historic rates. Interestingly, diaphyseal fixation with more than 3 screws led to higher nonunion rates. No catastrophic failures were observed involving the diaphyseal nonlocking screw fixation.

Abstract Image

Abstract Image

股骨远端骨折采用钛外侧锁定钢板与非锁定骨干固定:回顾性回顾。
目的:治疗股骨远端骨折存在多种治疗方式。侧锁钢板已成为首选方法,因为它可以防止内翻塌陷造成复位损失,但与不愈合率高达30%有关。钛植入物可以为骨折愈合提供更理想的生物力学环境。本研究的主要目的是评估一系列股骨远端骨折的不愈合率和不愈合的危险因素,这些骨折采用全非锁定骨干固定的现代锁定钛植入物进行稳定。第二个目的是评估用非锁定螺钉固定骨干是否与固定并发症有关。方法:一项为期6年的回顾性研究确定了采用外侧锁定钢板和非锁定骨干固定手术固定股骨远端骨折的患者。记录患者人口统计学、骨折和固定特征。随访记录的数据包括骨折愈合、不愈合的植入物失败和二次手术。使用的统计分析包括t检验、Mann-Whitney U和逻辑回归。结果:81例骨折符合纳入标准,16例骨折不愈合(19.75%)。比较骨愈合组和骨不愈合组,发现骨不愈合与较高的身体质量指数相关(P = 0.001)。固定结构数据显示,不愈合患者的骨干骨干平均螺钉数目较高(4.25比3.74,P = 0.038)。亚组分析发现,采用3枚骨干骨干螺钉固定的骨折不愈合率为4.2%(1 / 24),而采用4枚及以上骨干骨干螺钉固定的骨折不愈合率为26.3% (15 / 57)(P = 0.038)。非锁定骨干螺钉固定未见骨干失败。结论:我们的研究发现,使用钛支架的骨不愈合率为19.75%,与历史水平相当。有趣的是,超过3枚螺钉的骨干固定导致更高的不愈合率。未观察到涉及骨干非锁定螺钉固定的灾难性失败。
本文章由计算机程序翻译,如有差异,请以英文原文为准。
求助全文
约1分钟内获得全文 求助全文
来源期刊
自引率
0.00%
发文量
0
审稿时长
4 weeks
×
引用
GB/T 7714-2015
复制
MLA
复制
APA
复制
导出至
BibTeX EndNote RefMan NoteFirst NoteExpress
×
提示
您的信息不完整,为了账户安全,请先补充。
现在去补充
×
提示
您因"违规操作"
具体请查看互助需知
我知道了
×
提示
确定
请完成安全验证×
copy
已复制链接
快去分享给好友吧!
我知道了
右上角分享
点击右上角分享
0
联系我们:info@booksci.cn Book学术提供免费学术资源搜索服务,方便国内外学者检索中英文文献。致力于提供最便捷和优质的服务体验。 Copyright © 2023 布克学术 All rights reserved.
京ICP备2023020795号-1
ghs 京公网安备 11010802042870号
Book学术文献互助
Book学术文献互助群
群 号:604180095
Book学术官方微信