Is fixation of a single end of flail segment rib fractures enough?

IF 2.2 Q3 CRITICAL CARE MEDICINE
Trauma Surgery & Acute Care Open Pub Date : 2025-05-28 eCollection Date: 2025-01-01 DOI:10.1136/tsaco-2024-001707
Anthony Perugini, James Iandoli, Nicholas Pelz, Daniel DeGenova, Anthony Melaragno, Mallory Faherty, Benjamin C Taylor
{"title":"Is fixation of a single end of flail segment rib fractures enough?","authors":"Anthony Perugini, James Iandoli, Nicholas Pelz, Daniel DeGenova, Anthony Melaragno, Mallory Faherty, Benjamin C Taylor","doi":"10.1136/tsaco-2024-001707","DOIUrl":null,"url":null,"abstract":"<p><strong>Background: </strong>Segmental rib fractures in blunt thoracic trauma present with increased morbidity and mortality with an association of increased pulmonary insult and concomitant injuries. There is a paucity within the literature regarding the necessity of fixation of one or both segments of rib fractures in a flail chest. This study aimed to analyze surgical rib fixation and assess outcomes for non-fixed fractured rib ends in segmental rib fractures.</p><p><strong>Methods: </strong>This is a retrospective review of 125 patients who underwent open reduction internal fixation of flail segmental rib fractures at our urban Level 1 trauma center. Initial plain films and CT were compared with follow-up plain film imaging at 3 months to assess radiographic outcomes, fracture healing, fixation failure, or residual deformity. Clinical outcomes such as length of intensive care unit (ICU) stay, length of ventilatory support, associated pneumonia, duration until chest tube removal, and need for additional rib surgery were analyzed.</p><p><strong>Results: </strong>Fixation of a single end of segmental rib fractures and flail segments was associated with decreased incidence of fracture union at 3 months postoperatively (43/55 vs 65/70, respectively; p=0.018) but failed to show any difference in fracture collapse (50/55 vs 67/70, respectively; p=0.223). There were no differences between postoperative ICU length of stay (4.18±5.54 vs 4.62±4.48 days, respectively; p=0.690), postoperative ventilatory status (29/55 vs 38/70, respectively; p=0.840), duration of ventilatory support (3.52±4.69 vs 4.34±5.87, respectively; p=0.430), or associated pneumonia (7/55 vs 8/70, respectively; p=0.770).</p><p><strong>Conclusions: </strong>These data support that fixation of both sides of flail segment rib fractures results in improved rib fracture union at 3 months postoperatively. However, fixation of both sides of flail segments does not appear to result in any difference in fracture collapse or clinical perioperative outcomes.</p><p><strong>Level of evidence: </strong>Therapeutic Level III.</p>","PeriodicalId":23307,"journal":{"name":"Trauma Surgery & Acute Care Open","volume":"10 2","pages":"e001707"},"PeriodicalIF":2.2000,"publicationDate":"2025-05-28","publicationTypes":"Journal Article","fieldsOfStudy":null,"isOpenAccess":false,"openAccessPdf":"https://www.ncbi.nlm.nih.gov/pmc/articles/PMC12121575/pdf/","citationCount":"0","resultStr":null,"platform":"Semanticscholar","paperid":null,"PeriodicalName":"Trauma Surgery & Acute Care Open","FirstCategoryId":"1085","ListUrlMain":"https://doi.org/10.1136/tsaco-2024-001707","RegionNum":0,"RegionCategory":null,"ArticlePicture":[],"TitleCN":null,"AbstractTextCN":null,"PMCID":null,"EPubDate":"2025/1/1 0:00:00","PubModel":"eCollection","JCR":"Q3","JCRName":"CRITICAL CARE MEDICINE","Score":null,"Total":0}
引用次数: 0

Abstract

Background: Segmental rib fractures in blunt thoracic trauma present with increased morbidity and mortality with an association of increased pulmonary insult and concomitant injuries. There is a paucity within the literature regarding the necessity of fixation of one or both segments of rib fractures in a flail chest. This study aimed to analyze surgical rib fixation and assess outcomes for non-fixed fractured rib ends in segmental rib fractures.

Methods: This is a retrospective review of 125 patients who underwent open reduction internal fixation of flail segmental rib fractures at our urban Level 1 trauma center. Initial plain films and CT were compared with follow-up plain film imaging at 3 months to assess radiographic outcomes, fracture healing, fixation failure, or residual deformity. Clinical outcomes such as length of intensive care unit (ICU) stay, length of ventilatory support, associated pneumonia, duration until chest tube removal, and need for additional rib surgery were analyzed.

Results: Fixation of a single end of segmental rib fractures and flail segments was associated with decreased incidence of fracture union at 3 months postoperatively (43/55 vs 65/70, respectively; p=0.018) but failed to show any difference in fracture collapse (50/55 vs 67/70, respectively; p=0.223). There were no differences between postoperative ICU length of stay (4.18±5.54 vs 4.62±4.48 days, respectively; p=0.690), postoperative ventilatory status (29/55 vs 38/70, respectively; p=0.840), duration of ventilatory support (3.52±4.69 vs 4.34±5.87, respectively; p=0.430), or associated pneumonia (7/55 vs 8/70, respectively; p=0.770).

Conclusions: These data support that fixation of both sides of flail segment rib fractures results in improved rib fracture union at 3 months postoperatively. However, fixation of both sides of flail segments does not appear to result in any difference in fracture collapse or clinical perioperative outcomes.

Level of evidence: Therapeutic Level III.

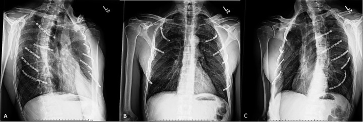
Abstract Image

连枷节段肋骨骨折单端固定是否足够?
背景:钝性胸椎创伤后的节段性肋骨骨折具有较高的发病率和死亡率,并伴有肺损伤和伴发损伤。关于连枷胸中一节或两节肋骨骨折的固定必要性的文献很少。本研究旨在分析手术肋骨固定并评估节段性肋骨骨折中未固定的肋骨末端骨折的结果。方法:回顾性分析125例在我市一级创伤中心接受开放复位内固定治疗连枷节段性肋骨骨折的患者。在3个月时比较初始平片和CT平片成像,以评估影像学结果、骨折愈合、固定失败或残余畸形。临床结果,如重症监护病房(ICU)住院时间、呼吸支持时间、相关肺炎、胸管拔除前持续时间和需要额外的肋骨手术进行了分析。结果:单端固定节段性肋骨骨折和连枷骨折与术后3个月骨折愈合发生率降低相关(分别为43/55 vs 65/70;P =0.018),但在骨折塌陷方面没有任何差异(分别为50/55 vs 67/70;p = 0.223)。两组患者术后ICU住院时间(分别为4.18±5.54天和4.62±4.48天)无差异;P =0.690),术后通气状态(分别为29/55 vs 38/70;P =0.840)、呼吸支持时间(3.52±4.69 vs 4.34±5.87);P =0.430)或相关肺炎(分别为7/55 vs 8/70;p = 0.770)。结论:这些数据支持双侧连枷节段肋骨骨折固定可改善术后3个月肋骨骨折愈合。然而,两侧连枷节段的固定似乎不会导致骨折塌陷或临床围手术期结果的任何差异。证据等级:治疗性III级。
本文章由计算机程序翻译,如有差异,请以英文原文为准。
求助全文
约1分钟内获得全文 求助全文
来源期刊
CiteScore
3.70
自引率
5.00%
发文量
71
审稿时长
12 weeks
×
引用
GB/T 7714-2015
复制
MLA
复制
APA
复制
导出至
BibTeX EndNote RefMan NoteFirst NoteExpress
×
提示
您的信息不完整,为了账户安全,请先补充。
现在去补充
×
提示
您因"违规操作"
具体请查看互助需知
我知道了
×
提示
确定
请完成安全验证×
copy
已复制链接
快去分享给好友吧!
我知道了
右上角分享
点击右上角分享
0
联系我们:info@booksci.cn Book学术提供免费学术资源搜索服务,方便国内外学者检索中英文文献。致力于提供最便捷和优质的服务体验。 Copyright © 2023 布克学术 All rights reserved.
京ICP备2023020795号-1
ghs 京公网安备 11010802042870号
Book学术文献互助
Book学术文献互助群
群 号:604180095
Book学术官方微信