Rate of Unexpected Findings in Adolescent Lumbar Magnetic Resonance Imagings Ordered by Orthopaedic Surgeons.

Bilal S Siddiq, Anna Rambo, Benjamin Sheffer, Vania Ejiofor, Abu M Naser, Trevor McGee, William C Warner, Derek M Kelly
{"title":"Rate of Unexpected Findings in Adolescent Lumbar Magnetic Resonance Imagings Ordered by Orthopaedic Surgeons.","authors":"Bilal S Siddiq, Anna Rambo, Benjamin Sheffer, Vania Ejiofor, Abu M Naser, Trevor McGee, William C Warner, Derek M Kelly","doi":"10.1016/j.jposna.2025.100183","DOIUrl":null,"url":null,"abstract":"<p><strong>Background: </strong>The use of advanced imaging in children is increasing and unexpected findings (UFs) are often detected. The present literature lacks studies investigating the rate of UFs in pediatric lumbar spine magnetic resonance imagings (MRIs) and the sequelae of these findings. This study aimed to determine the overall incidence of UFs in adolescent lumbar MRIs, characterize these findings, stratify UFs based on patient characteristics, and determine any influences on patient treatment plans.</p><p><strong>Methods: </strong>Medical records of 1409 patients aged 10 to 18.5 years old that had a lumbar MRI ordered by an orthopaedic surgeon from 2010 to 2020 were reviewed retrospectively. Demographics, insurance, reason for MRI, and change in treatment plans were noted. Unexpected findings were characterized as spinal cord, infra-peritoneal, retroperitoneal, peritoneal, or vascular-related. The relationship between patient characteristics and UFs was investigated using a <i>t</i> test and Chi-square test. The statistical relationships between UFs and treatment plan changes were evaluated using generalized linear models with a log link and a binomial error distribution.</p><p><strong>Results: </strong>The average age of the 1409 patients was 15.5 years (95% CI: 15.4, 15.6). Back pain (90.1%) was the most common reason for lumbar MRI. Thirty-five UFs were found in 33 patients (2.3%): 19 were spinal cord-related, 15 were peritoneal-related, and one was vascular. Eight peritoneal findings involved the kidneys: two atrophy, two hypoplasia, two renal cysts, one pelvic kidney, and one hydronephrosis. Five patients had a syrinx, and two had spine tumors. Out of 33 patients with UFs, 11 required a change in treatment plan (33.3%). Back pain was not associated with an increased risk of UF. Patients with an UF on MRI had 2.60 times higher odds of experiencing a change in treatment plan.</p><p><strong>Conclusions: </strong>The prevalence of UFs was 2.5% on lumbar MRIs and were mainly spinal cord or retroperitoneal-related. UFs were associated with an altered treatment plan 33% of the time and were unrelated to standard demographic characteristics or insurance type.</p><p><strong>Key concepts: </strong>(1)Overall, 33.3% of patients with an unexpected finding had a change in treatment plan.(2)Unexpected findings should be interpreted in the context of the patient's overall clinical picture, symptoms, and health to help elucidate the next steps in treatment.(3)The clinical significance of unexpected findings needs to be further studied.</p><p><strong>Level of evidence: </strong>Level III, Retrospective.</p>","PeriodicalId":520850,"journal":{"name":"Journal of the Pediatric Orthopaedic Society of North America","volume":"11 ","pages":"100183"},"PeriodicalIF":0.0000,"publicationDate":"2025-03-19","publicationTypes":"Journal Article","fieldsOfStudy":null,"isOpenAccess":false,"openAccessPdf":"https://www.ncbi.nlm.nih.gov/pmc/articles/PMC12088290/pdf/","citationCount":"0","resultStr":null,"platform":"Semanticscholar","paperid":null,"PeriodicalName":"Journal of the Pediatric Orthopaedic Society of North America","FirstCategoryId":"1085","ListUrlMain":"https://doi.org/10.1016/j.jposna.2025.100183","RegionNum":0,"RegionCategory":null,"ArticlePicture":[],"TitleCN":null,"AbstractTextCN":null,"PMCID":null,"EPubDate":"2025/5/1 0:00:00","PubModel":"eCollection","JCR":"","JCRName":"","Score":null,"Total":0}
引用次数: 0

Abstract

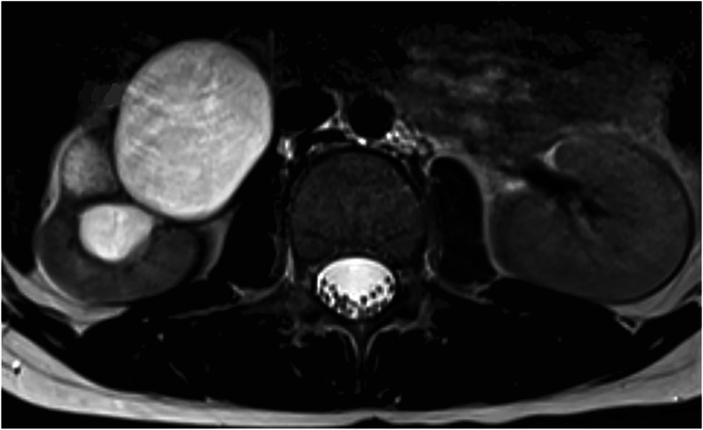
Background: The use of advanced imaging in children is increasing and unexpected findings (UFs) are often detected. The present literature lacks studies investigating the rate of UFs in pediatric lumbar spine magnetic resonance imagings (MRIs) and the sequelae of these findings. This study aimed to determine the overall incidence of UFs in adolescent lumbar MRIs, characterize these findings, stratify UFs based on patient characteristics, and determine any influences on patient treatment plans.

Methods: Medical records of 1409 patients aged 10 to 18.5 years old that had a lumbar MRI ordered by an orthopaedic surgeon from 2010 to 2020 were reviewed retrospectively. Demographics, insurance, reason for MRI, and change in treatment plans were noted. Unexpected findings were characterized as spinal cord, infra-peritoneal, retroperitoneal, peritoneal, or vascular-related. The relationship between patient characteristics and UFs was investigated using a t test and Chi-square test. The statistical relationships between UFs and treatment plan changes were evaluated using generalized linear models with a log link and a binomial error distribution.

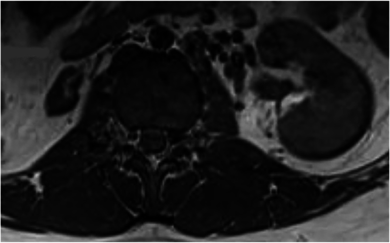
Results: The average age of the 1409 patients was 15.5 years (95% CI: 15.4, 15.6). Back pain (90.1%) was the most common reason for lumbar MRI. Thirty-five UFs were found in 33 patients (2.3%): 19 were spinal cord-related, 15 were peritoneal-related, and one was vascular. Eight peritoneal findings involved the kidneys: two atrophy, two hypoplasia, two renal cysts, one pelvic kidney, and one hydronephrosis. Five patients had a syrinx, and two had spine tumors. Out of 33 patients with UFs, 11 required a change in treatment plan (33.3%). Back pain was not associated with an increased risk of UF. Patients with an UF on MRI had 2.60 times higher odds of experiencing a change in treatment plan.

Conclusions: The prevalence of UFs was 2.5% on lumbar MRIs and were mainly spinal cord or retroperitoneal-related. UFs were associated with an altered treatment plan 33% of the time and were unrelated to standard demographic characteristics or insurance type.

Key concepts: (1)Overall, 33.3% of patients with an unexpected finding had a change in treatment plan.(2)Unexpected findings should be interpreted in the context of the patient's overall clinical picture, symptoms, and health to help elucidate the next steps in treatment.(3)The clinical significance of unexpected findings needs to be further studied.

Level of evidence: Level III, Retrospective.

Abstract Image

Abstract Image

Abstract Image

由骨科医生订购的青少年腰椎磁共振成像中意外发现的比率。
背景:儿童高级影像学的应用越来越多,经常发现意外发现(UFs)。目前文献缺乏关于儿童腰椎磁共振成像(mri)中UFs发生率及其后遗症的研究。本研究旨在确定青少年腰椎mri中UFs的总体发生率,表征这些发现,根据患者特征对UFs进行分层,并确定对患者治疗计划的任何影响。方法:回顾性分析2010年至2020年由骨科医生安排的1409例10 ~ 18.5岁腰椎MRI患者的病历。记录了人口统计、保险、MRI的原因和治疗计划的变化。意外发现的特征为脊髓、腹膜下、腹膜后、腹膜或血管相关。采用t检验和卡方检验研究患者特征与UFs之间的关系。UFs与治疗方案变化之间的统计关系使用具有对数链接和二项误差分布的广义线性模型进行评估。结果:1409例患者平均年龄为15.5岁(95% CI: 15.4, 15.6)。腰痛(90.1%)是腰椎MRI最常见的原因。33例患者中发现35例UFs(2.3%): 19例与脊髓相关,15例与腹膜相关,1例与血管相关。8例腹膜发现涉及肾脏:2例萎缩、2例发育不全、2例肾囊肿、1例盆腔肾和1例肾积水。5名患者有鼻窦,2名患者有脊柱肿瘤。在33例UFs患者中,11例需要改变治疗计划(33.3%)。背部疼痛与UF风险增加无关。磁共振成像显示UF的患者改变治疗计划的几率高出2.60倍。结论:腰椎mri上UFs的发生率为2.5%,主要与脊髓或腹膜后相关。在33%的情况下,UFs与治疗方案的改变有关,与标准的人口统计学特征或保险类型无关。关键概念:(1)总体而言,33.3%的意外发现患者改变了治疗计划(2)意外发现应结合患者的整体临床情况、症状和健康状况来解释,以帮助阐明下一步的治疗步骤(3)意外发现的临床意义有待进一步研究。证据等级:III级,回顾性。
本文章由计算机程序翻译,如有差异,请以英文原文为准。
求助全文
约1分钟内获得全文 求助全文
来源期刊
自引率
0.00%
发文量
0
×
引用
GB/T 7714-2015
复制
MLA
复制
APA
复制
导出至
BibTeX EndNote RefMan NoteFirst NoteExpress
×
提示
您的信息不完整,为了账户安全,请先补充。
现在去补充
×
提示
您因"违规操作"
具体请查看互助需知
我知道了
×
提示
确定
请完成安全验证×
copy
已复制链接
快去分享给好友吧!
我知道了
右上角分享
点击右上角分享
0
联系我们:info@booksci.cn Book学术提供免费学术资源搜索服务,方便国内外学者检索中英文文献。致力于提供最便捷和优质的服务体验。 Copyright © 2023 布克学术 All rights reserved.
京ICP备2023020795号-1
ghs 京公网安备 11010802042870号
Book学术文献互助
Book学术文献互助群
群 号:604180095
Book学术官方微信