Minimally Invasive Surgery for Juvenile Hallux Valgus.

Sang W Lee, Daniel Gabriel, Dong W Lee, Winnie T H Lin, Collin May
{"title":"Minimally Invasive Surgery for Juvenile Hallux Valgus.","authors":"Sang W Lee, Daniel Gabriel, Dong W Lee, Winnie T H Lin, Collin May","doi":"10.1016/j.jposna.2025.100175","DOIUrl":null,"url":null,"abstract":"<p><p>In adults, minimally invasive surgery for surgical treatment of hallux valgus has become increasingly popular, with a growing body of literature showing safety and effectiveness comparable to open surgery. Minimally invasive techniques for the treatment of juvenile hallux valgus include Bosch, Reverdin-Isham, Chevron, Endolog, distal soft tissue release, and hemiepiphysiodesis procedures. Data comparing minimally invasive and open surgery for the treatment of juvenile hallux valgus in children and adolescents are limited. In this review, we provide an overview of juvenile hallux valgus, discuss the minimally invasive techniques available for surgical treatment, and review the data on safety and effectiveness associated with each technique. There is a need for larger-scale studies comparing minimally invasive and open surgery for the treatment of juvenile hallux valgus, as well as the development of a standardized set of clinical and radiographic outcomes to guide evidence-based surgical management of juvenile hallux valgus.</p><p><strong>Key concepts: </strong>(1)Compared with data on managing hallux valgus in adults, information on the safety and effectiveness of minimally invasive surgery for treating juvenile hallux valgus is limited.(2)Minimally invasive techniques for treating juvenile hallux valgus include Bosch, Reverdin-Isham, Chevron, Endolog, distal soft tissue release, and hemiepiphysiodesis procedures.(3)In total, 10 studies have assessed outcomes, demonstrating varying degrees of radiographic and clinical improvement along with complication rates.(4)Future large-scale comparative studies and standardized outcomes are essential for informing evidence-based surgical management of juvenile hallux valgus.</p>","PeriodicalId":520850,"journal":{"name":"Journal of the Pediatric Orthopaedic Society of North America","volume":"11 ","pages":"100175"},"PeriodicalIF":0.0000,"publicationDate":"2025-03-17","publicationTypes":"Journal Article","fieldsOfStudy":null,"isOpenAccess":false,"openAccessPdf":"https://www.ncbi.nlm.nih.gov/pmc/articles/PMC12088263/pdf/","citationCount":"0","resultStr":null,"platform":"Semanticscholar","paperid":null,"PeriodicalName":"Journal of the Pediatric Orthopaedic Society of North America","FirstCategoryId":"1085","ListUrlMain":"https://doi.org/10.1016/j.jposna.2025.100175","RegionNum":0,"RegionCategory":null,"ArticlePicture":[],"TitleCN":null,"AbstractTextCN":null,"PMCID":null,"EPubDate":"2025/5/1 0:00:00","PubModel":"eCollection","JCR":"","JCRName":"","Score":null,"Total":0}
引用次数: 0

Abstract

In adults, minimally invasive surgery for surgical treatment of hallux valgus has become increasingly popular, with a growing body of literature showing safety and effectiveness comparable to open surgery. Minimally invasive techniques for the treatment of juvenile hallux valgus include Bosch, Reverdin-Isham, Chevron, Endolog, distal soft tissue release, and hemiepiphysiodesis procedures. Data comparing minimally invasive and open surgery for the treatment of juvenile hallux valgus in children and adolescents are limited. In this review, we provide an overview of juvenile hallux valgus, discuss the minimally invasive techniques available for surgical treatment, and review the data on safety and effectiveness associated with each technique. There is a need for larger-scale studies comparing minimally invasive and open surgery for the treatment of juvenile hallux valgus, as well as the development of a standardized set of clinical and radiographic outcomes to guide evidence-based surgical management of juvenile hallux valgus.

Key concepts: (1)Compared with data on managing hallux valgus in adults, information on the safety and effectiveness of minimally invasive surgery for treating juvenile hallux valgus is limited.(2)Minimally invasive techniques for treating juvenile hallux valgus include Bosch, Reverdin-Isham, Chevron, Endolog, distal soft tissue release, and hemiepiphysiodesis procedures.(3)In total, 10 studies have assessed outcomes, demonstrating varying degrees of radiographic and clinical improvement along with complication rates.(4)Future large-scale comparative studies and standardized outcomes are essential for informing evidence-based surgical management of juvenile hallux valgus.

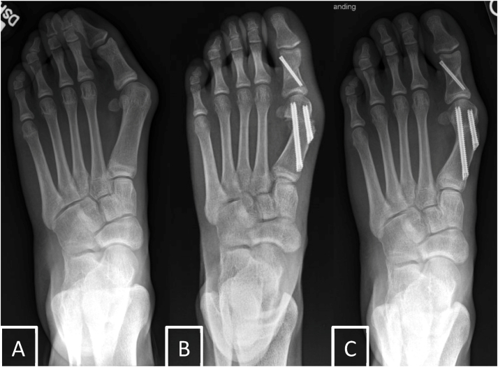
Abstract Image

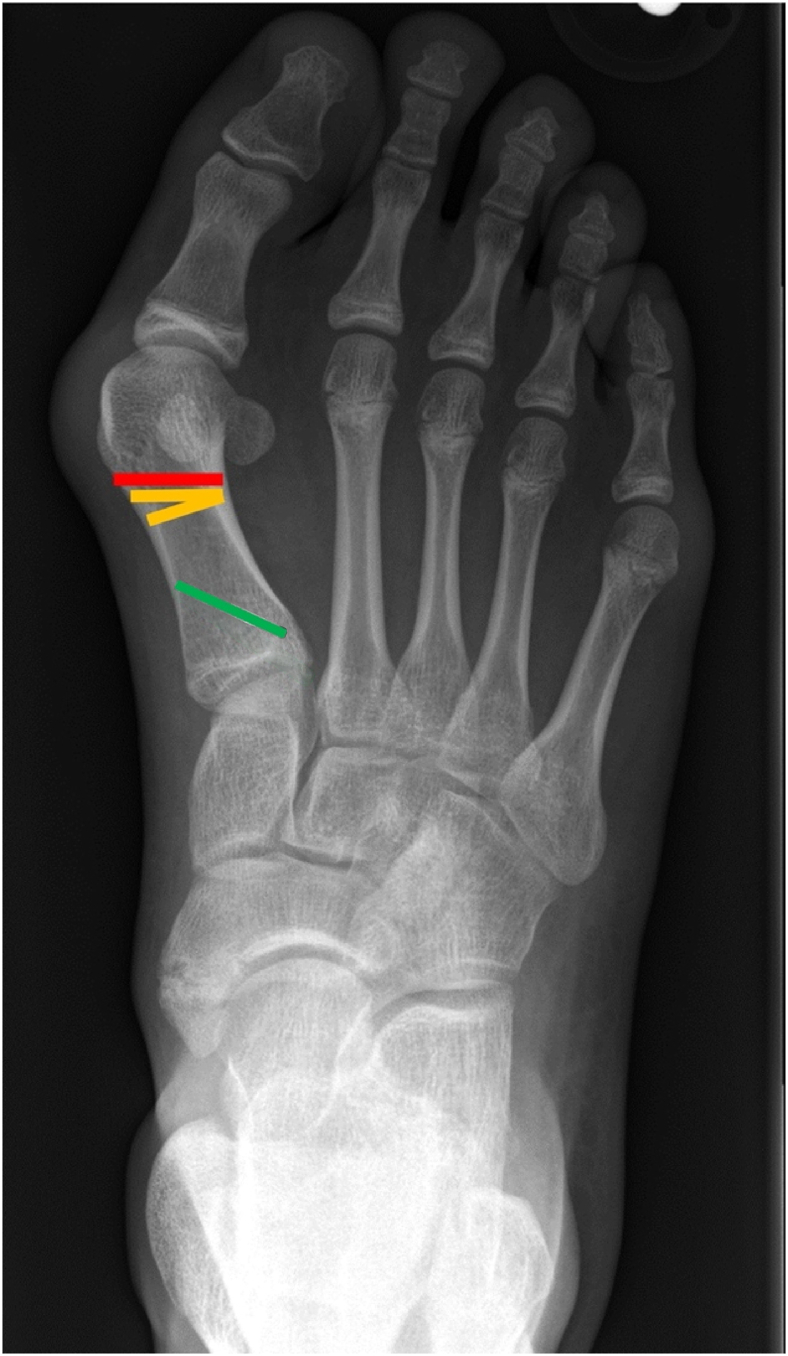
Abstract Image

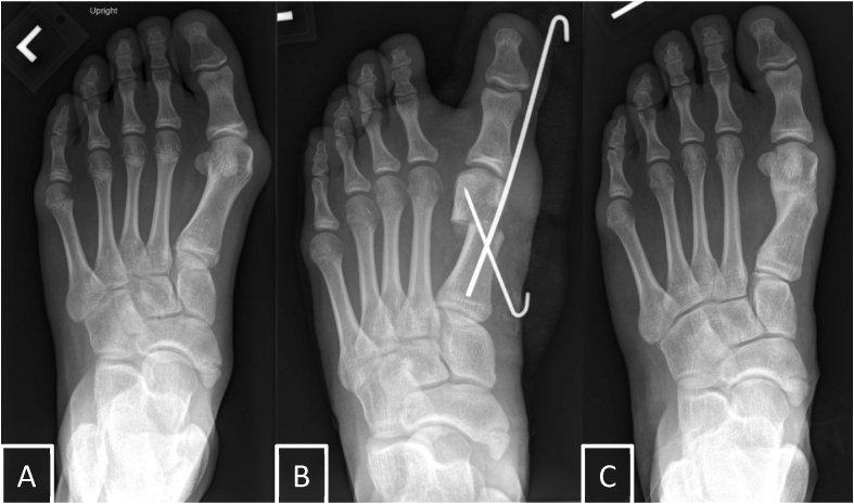
Abstract Image

青少年拇外翻的微创手术治疗。
在成人中,微创手术治疗拇外翻越来越受欢迎,越来越多的文献显示其安全性和有效性可与开放手术相媲美。治疗青少年拇外翻的微创技术包括Bosch、Reverdin-Isham、Chevron、Endolog、远端软组织释放和半表皮成形术。比较微创和开放手术治疗儿童和青少年青少年拇外翻的数据是有限的。在这篇综述中,我们提供了青少年拇外翻的概述,讨论了可用于手术治疗的微创技术,并回顾了与每种技术相关的安全性和有效性的数据。需要进行更大规模的研究,比较微创手术和开放手术治疗青少年拇外翻的效果,并制定一套标准化的临床和影像学结果,以指导青少年拇外翻的循证外科治疗。关键概念:(2)微创手术治疗青少年拇外翻的技术包括Bosch、Reverdin-Isham、Chevron、Endolog、远端软组织松解术和半表皮成形术。(3)共有10项研究评估了结果。(4)未来大规模的比较研究和标准化的结果对青少年拇外翻的循证外科治疗至关重要。
本文章由计算机程序翻译,如有差异,请以英文原文为准。
求助全文
约1分钟内获得全文 求助全文
来源期刊
自引率
0.00%
发文量
0
×
引用
GB/T 7714-2015
复制
MLA
复制
APA
复制
导出至
BibTeX EndNote RefMan NoteFirst NoteExpress
×
提示
您的信息不完整,为了账户安全,请先补充。
现在去补充
×
提示
您因"违规操作"
具体请查看互助需知
我知道了
×
提示
确定
请完成安全验证×
copy
已复制链接
快去分享给好友吧!
我知道了
右上角分享
点击右上角分享
0
联系我们:info@booksci.cn Book学术提供免费学术资源搜索服务,方便国内外学者检索中英文文献。致力于提供最便捷和优质的服务体验。 Copyright © 2023 布克学术 All rights reserved.
京ICP备2023020795号-1
ghs 京公网安备 11010802042870号
Book学术文献互助
Book学术文献互助群
群 号:604180095
Book学术官方微信