Idiopathic Chondrolysis of the Hip in Adolescents: Updated Evidence for Clinical Management.

Martha Kebeh, Carter Hall, Vrisha Madhuri, Wudbhav N Sankar
{"title":"Idiopathic Chondrolysis of the Hip in Adolescents: Updated Evidence for Clinical Management.","authors":"Martha Kebeh, Carter Hall, Vrisha Madhuri, Wudbhav N Sankar","doi":"10.1016/j.jposna.2025.100187","DOIUrl":null,"url":null,"abstract":"<p><p>Idiopathic chondrolysis of the hip (ICH) is a rare condition characterized by the acute and rapidly progressive destruction of cartilage. ICH typically presents in peri-pubescent females with acutely worsening hip pain, a deterioration in range of motion (ROM), and distinctive imaging and biopsy findings. Variability in outcomes, ranging from complete resolution of symptoms to a permanently ankylosed hip, has been observed in both conservatively and aggressively treated cases. The treatments described often consider patient factors and disease stage yet consist of inconsistent combinations of pharmacologic and surgical approaches. Consequently, it is challenging to compare outcomes across different treatment methods. Although recent literature has enhanced our understanding of the epidemiology and natural history of ICH, a consensus on optimal management is still lacking, highlighting the need to investigate the components and outcomes of evolving treatments. Since the last systematic review of imaging findings and treatment regimens for ICH, over 50 new cases have been documented in the literature. However, limited data still exist regarding patient-reported outcomes. Our aim is to review and contribute to the current evidence guiding the management of ICH by analyzing data on presentation, clinical and radiologic findings, and treatment outcomes.</p><p><strong>Key concepts: </strong>(1)ICH has an unknown etiology and predominantly affects female adolescent patients.(2)There is no standardized treatment regimen for ICH.(3)The authors' preferred approach combines medical and surgical treatment.</p>","PeriodicalId":520850,"journal":{"name":"Journal of the Pediatric Orthopaedic Society of North America","volume":"11 ","pages":"100187"},"PeriodicalIF":0.0000,"publicationDate":"2025-03-26","publicationTypes":"Journal Article","fieldsOfStudy":null,"isOpenAccess":false,"openAccessPdf":"https://www.ncbi.nlm.nih.gov/pmc/articles/PMC12088255/pdf/","citationCount":"0","resultStr":null,"platform":"Semanticscholar","paperid":null,"PeriodicalName":"Journal of the Pediatric Orthopaedic Society of North America","FirstCategoryId":"1085","ListUrlMain":"https://doi.org/10.1016/j.jposna.2025.100187","RegionNum":0,"RegionCategory":null,"ArticlePicture":[],"TitleCN":null,"AbstractTextCN":null,"PMCID":null,"EPubDate":"2025/5/1 0:00:00","PubModel":"eCollection","JCR":"","JCRName":"","Score":null,"Total":0}
引用次数: 0

Abstract

Idiopathic chondrolysis of the hip (ICH) is a rare condition characterized by the acute and rapidly progressive destruction of cartilage. ICH typically presents in peri-pubescent females with acutely worsening hip pain, a deterioration in range of motion (ROM), and distinctive imaging and biopsy findings. Variability in outcomes, ranging from complete resolution of symptoms to a permanently ankylosed hip, has been observed in both conservatively and aggressively treated cases. The treatments described often consider patient factors and disease stage yet consist of inconsistent combinations of pharmacologic and surgical approaches. Consequently, it is challenging to compare outcomes across different treatment methods. Although recent literature has enhanced our understanding of the epidemiology and natural history of ICH, a consensus on optimal management is still lacking, highlighting the need to investigate the components and outcomes of evolving treatments. Since the last systematic review of imaging findings and treatment regimens for ICH, over 50 new cases have been documented in the literature. However, limited data still exist regarding patient-reported outcomes. Our aim is to review and contribute to the current evidence guiding the management of ICH by analyzing data on presentation, clinical and radiologic findings, and treatment outcomes.

Key concepts: (1)ICH has an unknown etiology and predominantly affects female adolescent patients.(2)There is no standardized treatment regimen for ICH.(3)The authors' preferred approach combines medical and surgical treatment.

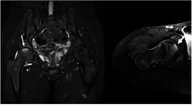
Abstract Image

Abstract Image

Abstract Image

青少年髋关节特发性软骨松解:临床治疗的最新证据。
髋关节特发性软骨松解(ICH)是一种罕见的疾病,其特征是软骨的急性和快速进行性破坏。脑出血通常出现在青春期左右的女性,伴有急性恶化的髋关节疼痛,活动范围(ROM)的恶化,以及独特的影像学和活检结果。在保守治疗和积极治疗的病例中,观察到从症状完全缓解到髋关节永久强直的结果的可变性。所描述的治疗通常考虑患者因素和疾病分期,但包括不一致的药物和手术方法的组合。因此,比较不同治疗方法的结果具有挑战性。尽管最近的文献已经增强了我们对脑出血的流行病学和自然史的理解,但关于最佳管理的共识仍然缺乏,这突出表明需要调查不断发展的治疗方法的组成部分和结果。自从上次对脑出血的影像学表现和治疗方案进行系统回顾以来,文献中已记录了50多例新病例。然而,关于患者报告结果的数据仍然有限。我们的目标是通过分析表现、临床和放射学发现以及治疗结果的数据,审查并贡献指导脑出血管理的现有证据。关键概念:(1)脑出血病因不明,主要影响女性青少年患者;(2)脑出血没有标准化的治疗方案;(3)作者倾向于内外科结合治疗。
本文章由计算机程序翻译,如有差异,请以英文原文为准。
求助全文
约1分钟内获得全文 求助全文
来源期刊
自引率
0.00%
发文量
0
×
引用
GB/T 7714-2015
复制
MLA
复制
APA
复制
导出至
BibTeX EndNote RefMan NoteFirst NoteExpress
×
提示
您的信息不完整,为了账户安全,请先补充。
现在去补充
×
提示
您因"违规操作"
具体请查看互助需知
我知道了
×
提示
确定
请完成安全验证×
copy
已复制链接
快去分享给好友吧!
我知道了
右上角分享
点击右上角分享
0
联系我们:info@booksci.cn Book学术提供免费学术资源搜索服务,方便国内外学者检索中英文文献。致力于提供最便捷和优质的服务体验。 Copyright © 2023 布克学术 All rights reserved.
京ICP备2023020795号-1
ghs 京公网安备 11010802042870号
Book学术文献互助
Book学术文献互助群
群 号:604180095
Book学术官方微信