Evaluation of Radiolucent Lesions in Cortices of Long Bones in Osteogenesis Imperfecta Patients.

Carolyn Cook, Lydia Turk, Alicia January, Teresa Cappello, Peter Smith
{"title":"Evaluation of Radiolucent Lesions in Cortices of Long Bones in Osteogenesis Imperfecta Patients.","authors":"Carolyn Cook, Lydia Turk, Alicia January, Teresa Cappello, Peter Smith","doi":"10.1016/j.jposna.2024.100128","DOIUrl":null,"url":null,"abstract":"<p><strong>Background: </strong>Osteogenesis imperfecta (OI), a rare genetic disorder of collagen synthesis and metabolism, is characterized by cortical bone thinning and decreased trabecular bone. We have noted individuals with OI develop radiolucent lesions in the cortices of the long bones and these have not been previously described. The prevalence of these lesions in the long bones of children and the significance of their appearance in relation to subsequent fractures is unknown.</p><p><strong>Methods: </strong>In a retrospective study, upper and lower extremity radiographs of 328 pediatric patients with OI were examined to determine the occurrence and clinical course of these lesions in patients with various subtypes of OI.</p><p><strong>Results: </strong>Lesions were present in 55 (17%) of the 328 patients. A total of 89 lesions were identified in these 55 patients, with 138 positive radiographs across the OI subtypes. Of the 138 positive radiographs, lesions were present in 90/138 (65%) tibiae, 10/138 (7%) fibulae, 24/138 (17%) femora, 4/138 (3%) ulnae, 1/138 (1%) radius, and 9/138 (7%) humeri. In affected patients, there was an average of 1.62 lesions per patient. In 99% (136/138) of the radiographs, the lesion was present on the diaphysis of the long bone, and in 86% (119/138) of the x-rays, the lesion was located on the tension side. 64% (57/89) of the lesions developed after a previous fracture, and in 24% (21/89) of lesions, a fracture subsequently occurred through the area of the lesion.</p><p><strong>Conclusions: </strong>We present that radiolucent lesions of long bone diaphyses are a characteristic finding in OI and often presage fractures.</p><p><strong>Key concepts: </strong>(1)Radiolucent lesions are a characteristic finding of OI and have not been yet described in literature.(2)These lesions may represent a probable failure of ossification and lack of remodeling in the area of the lesion.(3)There is no clear etiology of this finding, although many arise in areas of prior fracture or osteotomy.</p>","PeriodicalId":520850,"journal":{"name":"Journal of the Pediatric Orthopaedic Society of North America","volume":"9 ","pages":"100128"},"PeriodicalIF":0.0000,"publicationDate":"2024-10-09","publicationTypes":"Journal Article","fieldsOfStudy":null,"isOpenAccess":false,"openAccessPdf":"https://www.ncbi.nlm.nih.gov/pmc/articles/PMC12088329/pdf/","citationCount":"0","resultStr":null,"platform":"Semanticscholar","paperid":null,"PeriodicalName":"Journal of the Pediatric Orthopaedic Society of North America","FirstCategoryId":"1085","ListUrlMain":"https://doi.org/10.1016/j.jposna.2024.100128","RegionNum":0,"RegionCategory":null,"ArticlePicture":[],"TitleCN":null,"AbstractTextCN":null,"PMCID":null,"EPubDate":"2024/11/1 0:00:00","PubModel":"eCollection","JCR":"","JCRName":"","Score":null,"Total":0}
引用次数: 0

Abstract

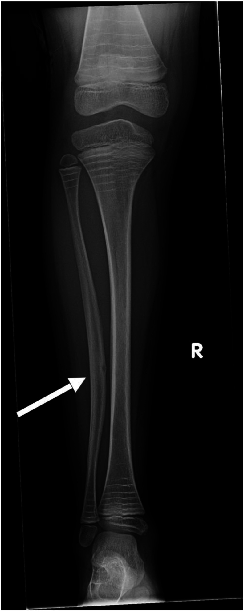
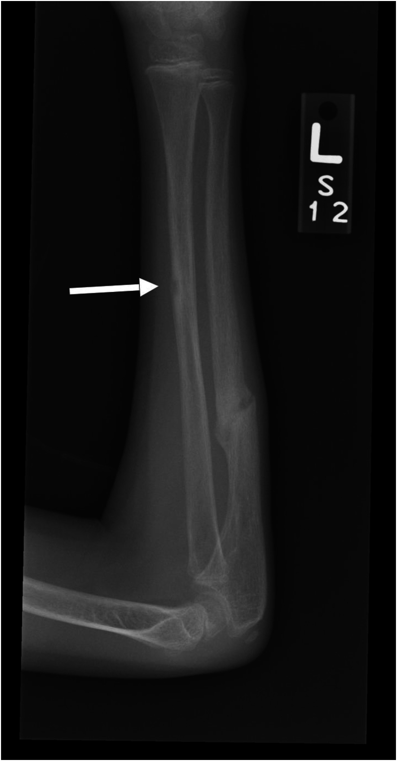
Background: Osteogenesis imperfecta (OI), a rare genetic disorder of collagen synthesis and metabolism, is characterized by cortical bone thinning and decreased trabecular bone. We have noted individuals with OI develop radiolucent lesions in the cortices of the long bones and these have not been previously described. The prevalence of these lesions in the long bones of children and the significance of their appearance in relation to subsequent fractures is unknown.

Methods: In a retrospective study, upper and lower extremity radiographs of 328 pediatric patients with OI were examined to determine the occurrence and clinical course of these lesions in patients with various subtypes of OI.

Results: Lesions were present in 55 (17%) of the 328 patients. A total of 89 lesions were identified in these 55 patients, with 138 positive radiographs across the OI subtypes. Of the 138 positive radiographs, lesions were present in 90/138 (65%) tibiae, 10/138 (7%) fibulae, 24/138 (17%) femora, 4/138 (3%) ulnae, 1/138 (1%) radius, and 9/138 (7%) humeri. In affected patients, there was an average of 1.62 lesions per patient. In 99% (136/138) of the radiographs, the lesion was present on the diaphysis of the long bone, and in 86% (119/138) of the x-rays, the lesion was located on the tension side. 64% (57/89) of the lesions developed after a previous fracture, and in 24% (21/89) of lesions, a fracture subsequently occurred through the area of the lesion.

Conclusions: We present that radiolucent lesions of long bone diaphyses are a characteristic finding in OI and often presage fractures.

Key concepts: (1)Radiolucent lesions are a characteristic finding of OI and have not been yet described in literature.(2)These lesions may represent a probable failure of ossification and lack of remodeling in the area of the lesion.(3)There is no clear etiology of this finding, although many arise in areas of prior fracture or osteotomy.

Abstract Image

Abstract Image

Abstract Image

成骨不全患者长骨皮质透光病变的评价。
背景:成骨不全症(Osteogenesis imperfecta, OI)是一种罕见的胶原合成和代谢的遗传性疾病,其特征是皮质骨变薄和小梁骨减少。我们注意到成骨不全患者在长骨皮质出现透光病变,这在以前没有被描述过。这些病变在儿童长骨中的患病率以及它们的外观与随后骨折的关系的重要性尚不清楚。方法:回顾性研究328例小儿成骨不全患者的上肢和下肢x线片,以确定不同亚型成骨不全患者这些病变的发生和临床病程。结果:328例患者中有55例(17%)存在病变。在这55例患者中,共发现89个病变,138个OI亚型的x线片呈阳性。在138张阳性x线片中,病变出现在胫骨90/138(65%)、腓骨10/138(7%)、股骨24/138(17%)、尺骨4/138(3%)、桡骨1/138(1%)和肱骨9/138(7%)。在受影响的患者中,平均每个患者有1.62个病变。在99%(136/138)的x线片中,病变出现在长骨骨干,86%(119/138)的x线片中,病变位于紧张侧。64%(57/89)的病变是在先前骨折后发生的,24%(21/89)的病变随后通过病变区域发生骨折。结论:我们认为长骨骨干透光病变是成骨不全的特征性表现,通常预示着骨折。关键概念:(1)透光性病变是成骨不全的特征性表现,尚未有文献描述;(2)这些病变可能代表病变区域骨化失败和缺乏重塑;(3)尽管许多病变发生在先前骨折或截骨的区域,但这种发现的病因尚不明确。
本文章由计算机程序翻译,如有差异,请以英文原文为准。
求助全文
约1分钟内获得全文 求助全文
来源期刊
自引率
0.00%
发文量
0
×
引用
GB/T 7714-2015
复制
MLA
复制
APA
复制
导出至
BibTeX EndNote RefMan NoteFirst NoteExpress
×
提示
您的信息不完整,为了账户安全,请先补充。
现在去补充
×
提示
您因"违规操作"
具体请查看互助需知
我知道了
×
提示
确定
请完成安全验证×
copy
已复制链接
快去分享给好友吧!
我知道了
右上角分享
点击右上角分享
0
联系我们:info@booksci.cn Book学术提供免费学术资源搜索服务,方便国内外学者检索中英文文献。致力于提供最便捷和优质的服务体验。 Copyright © 2023 布克学术 All rights reserved.
京ICP备2023020795号-1
ghs 京公网安备 11010802042870号
Book学术文献互助
Book学术文献互助群
群 号:604180095
Book学术官方微信