Arthroscopic Management for Patients with Secondary Femoroacetabular Impingement Resulting from Femoral Head Fracture Malunion in the Hip.

Muhammad Hafiz Daud, Yoichi Murata, Chino Tayag, Soshi Uchida
{"title":"Arthroscopic Management for Patients with Secondary Femoroacetabular Impingement Resulting from Femoral Head Fracture Malunion in the Hip.","authors":"Muhammad Hafiz Daud, Yoichi Murata, Chino Tayag, Soshi Uchida","doi":"10.5371/hp.2025.37.2.164","DOIUrl":null,"url":null,"abstract":"<p><p>Femoral head fracture malunions resulting in femoroacetabular impingement syndrome are rare complications after the occurrence of femoral head fractures. A 26-year-old female, with a motor vehicle accident history two years prior to our consultation, experienced multiple injuries, including a posterior right dislocation with a femoral head fracture. Although the fracture achieved a successful union with no evidence of osteoarthritis or avascular necrosis, the patient continued to experience hip pain and limited range of motion. We report on a case of femoral head fracture malunion that led to femoroacetabular impingement syndrome. In this case, arthroscopic labral repair, osteoplasty of the femoral head malunion, and capsular closure were performed. At three years post-surgery, the patient was asymptomatic and reported significant improvements in validated hip scores. Arthroscopic management of secondary femoroacetabular impingement is minimally invasive, safe, and beneficial in the treatment of femoral head malunion of the hip.</p>","PeriodicalId":73239,"journal":{"name":"Hip & pelvis","volume":"37 2","pages":"164-169"},"PeriodicalIF":0.0000,"publicationDate":"2025-06-01","publicationTypes":"Journal Article","fieldsOfStudy":null,"isOpenAccess":false,"openAccessPdf":"https://www.ncbi.nlm.nih.gov/pmc/articles/PMC12120484/pdf/","citationCount":"0","resultStr":null,"platform":"Semanticscholar","paperid":null,"PeriodicalName":"Hip & pelvis","FirstCategoryId":"1085","ListUrlMain":"https://doi.org/10.5371/hp.2025.37.2.164","RegionNum":0,"RegionCategory":null,"ArticlePicture":[],"TitleCN":null,"AbstractTextCN":null,"PMCID":null,"EPubDate":"","PubModel":"","JCR":"","JCRName":"","Score":null,"Total":0}
引用次数: 0

Abstract

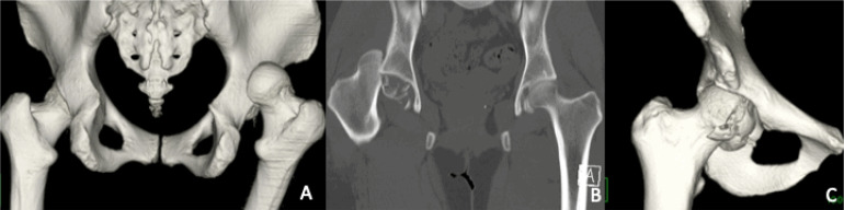
Femoral head fracture malunions resulting in femoroacetabular impingement syndrome are rare complications after the occurrence of femoral head fractures. A 26-year-old female, with a motor vehicle accident history two years prior to our consultation, experienced multiple injuries, including a posterior right dislocation with a femoral head fracture. Although the fracture achieved a successful union with no evidence of osteoarthritis or avascular necrosis, the patient continued to experience hip pain and limited range of motion. We report on a case of femoral head fracture malunion that led to femoroacetabular impingement syndrome. In this case, arthroscopic labral repair, osteoplasty of the femoral head malunion, and capsular closure were performed. At three years post-surgery, the patient was asymptomatic and reported significant improvements in validated hip scores. Arthroscopic management of secondary femoroacetabular impingement is minimally invasive, safe, and beneficial in the treatment of femoral head malunion of the hip.

Abstract Image

Abstract Image

Abstract Image

髋关节股骨头骨折不愈合致继发性股髋臼撞击患者的关节镜治疗。
股骨头骨折不愈合导致股髋臼撞击综合征是股骨头骨折后罕见的并发症。一名26岁女性,在我们会诊前两年有机动车事故史,多处受伤,包括右后侧脱位伴股骨头骨折。尽管骨折成功愈合,无骨关节炎或无血管性坏死的迹象,但患者继续经历髋关节疼痛和活动范围有限。我们报告一例股骨头骨折不愈合导致股髋臼撞击综合征。在这个病例中,进行了关节镜下的唇部修复、股骨头畸形愈合成形术和关节囊闭合。术后3年,患者无症状,证实髋关节评分有显著改善。关节镜治疗继发性股髋臼撞击是微创、安全、有益的髋关节股骨头畸形愈合治疗方法。
本文章由计算机程序翻译,如有差异,请以英文原文为准。
求助全文
约1分钟内获得全文 求助全文
来源期刊
CiteScore
2.90
自引率
0.00%
发文量
0
×
引用
GB/T 7714-2015
复制
MLA
复制
APA
复制
导出至
BibTeX EndNote RefMan NoteFirst NoteExpress
×
提示
您的信息不完整,为了账户安全,请先补充。
现在去补充
×
提示
您因"违规操作"
具体请查看互助需知
我知道了
×
提示
确定
请完成安全验证×
copy
已复制链接
快去分享给好友吧!
我知道了
右上角分享
点击右上角分享
0
联系我们:info@booksci.cn Book学术提供免费学术资源搜索服务,方便国内外学者检索中英文文献。致力于提供最便捷和优质的服务体验。 Copyright © 2023 布克学术 All rights reserved.
京ICP备2023020795号-1
ghs 京公网安备 11010802042870号
Book学术文献互助
Book学术文献互助群
群 号:604180095
Book学术官方微信