Wide-Detector CT-Based optimized triple Rule-Out CT angiography for emergency chest pain: reducing contrast and radiation without compromising diagnostic quality.

IF 1.3 Q3 RADIOLOGY, NUCLEAR MEDICINE & MEDICAL IMAGING
Emergency Radiology Pub Date : 2025-08-01 Epub Date: 2025-05-28 DOI:10.1007/s10140-025-02351-4
Qiuhua Zhang, Kun Wang, Hong Ren
{"title":"Wide-Detector CT-Based optimized triple Rule-Out CT angiography for emergency chest pain: reducing contrast and radiation without compromising diagnostic quality.","authors":"Qiuhua Zhang, Kun Wang, Hong Ren","doi":"10.1007/s10140-025-02351-4","DOIUrl":null,"url":null,"abstract":"<p><strong>Background: </strong>The triple rule-out computed tomography angiography (TRO-CTA) has recently emerged as a technique that noninvasively evaluates the coronary arteries (CAs), the pulmonary arteries (PAs) and the thoracic aorta (TA).</p><p><strong>Objective: </strong>To evaluate the feasibility of an optimized scanning protocol to reduce the volume of iodine contrast media (ICM), injection rate, and radiation dose in patients undergoing TRO-CTA.</p><p><strong>Methods: </strong>Patients undergoing TRO-CTA were assigned to either group A or group B using a 16 cm wide-detector CT. Patients in group A were imaged with a traditional triple scanning protocol with a sequence of the PA, CAs, and TA. Patients in group B were imaged using the modified protocol with scanning sequence of PA, TA, and CAs, ICM of 55 ml, and injection rate of 4.5 mL/s. The image quality and effective radiation dose (ED) were compared.</p><p><strong>Results: </strong>There were no significant differences in basic information between groups A and B. Other than the left PA, RA, and RV, there were no significant differences in the CT attenuation values of relevant vascular structures between groups A and B. There were no significant differences in CNR values between the two groups except the LAD-D and LCX. The image quality scores were comparable between groups A and B except the CAs. However, there were significant differences between the two groups in ICM (p < 0.05), scanning time (p < 0.001) and ED (p = 0. 023).</p><p><strong>Conclusions: </strong>The optimized TRO-CTA scanning protocol can achieve less ICM and lower ED while maintaining image quality.</p>","PeriodicalId":11623,"journal":{"name":"Emergency Radiology","volume":" ","pages":"551-558"},"PeriodicalIF":1.3000,"publicationDate":"2025-08-01","publicationTypes":"Journal Article","fieldsOfStudy":null,"isOpenAccess":false,"openAccessPdf":"https://www.ncbi.nlm.nih.gov/pmc/articles/PMC12328532/pdf/","citationCount":"0","resultStr":null,"platform":"Semanticscholar","paperid":null,"PeriodicalName":"Emergency Radiology","FirstCategoryId":"1085","ListUrlMain":"https://doi.org/10.1007/s10140-025-02351-4","RegionNum":0,"RegionCategory":null,"ArticlePicture":[],"TitleCN":null,"AbstractTextCN":null,"PMCID":null,"EPubDate":"2025/5/28 0:00:00","PubModel":"Epub","JCR":"Q3","JCRName":"RADIOLOGY, NUCLEAR MEDICINE & MEDICAL IMAGING","Score":null,"Total":0}
引用次数: 0

Abstract

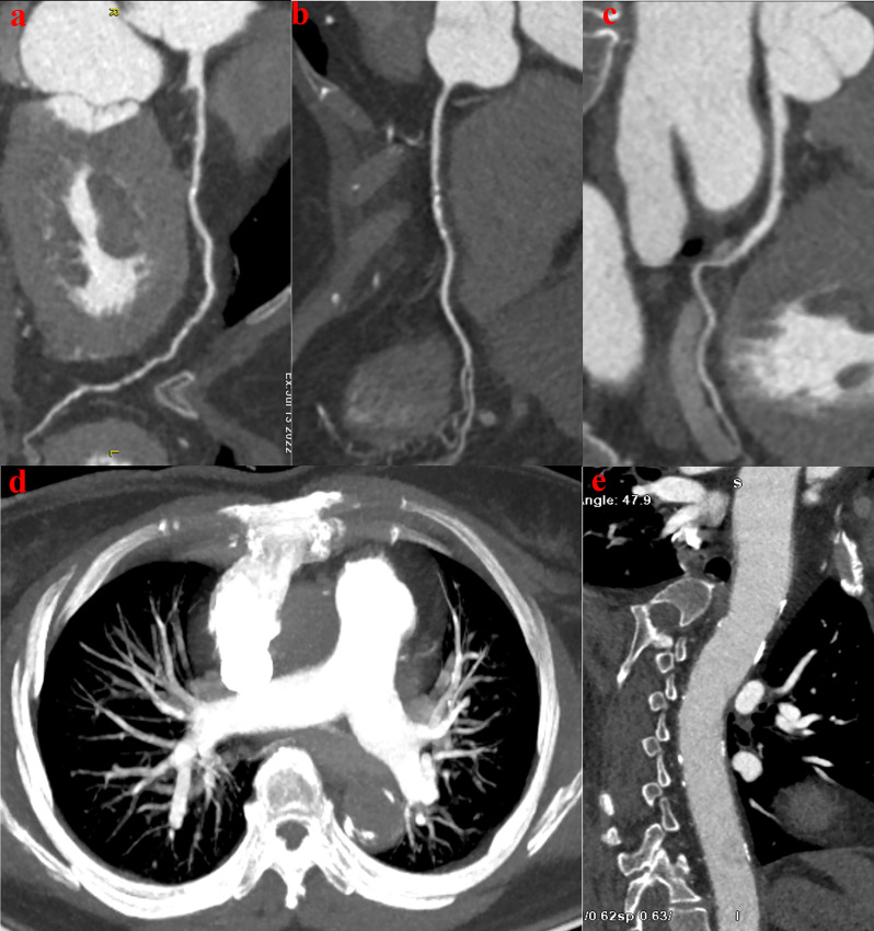
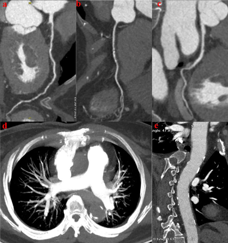
Background: The triple rule-out computed tomography angiography (TRO-CTA) has recently emerged as a technique that noninvasively evaluates the coronary arteries (CAs), the pulmonary arteries (PAs) and the thoracic aorta (TA).

Objective: To evaluate the feasibility of an optimized scanning protocol to reduce the volume of iodine contrast media (ICM), injection rate, and radiation dose in patients undergoing TRO-CTA.

Methods: Patients undergoing TRO-CTA were assigned to either group A or group B using a 16 cm wide-detector CT. Patients in group A were imaged with a traditional triple scanning protocol with a sequence of the PA, CAs, and TA. Patients in group B were imaged using the modified protocol with scanning sequence of PA, TA, and CAs, ICM of 55 ml, and injection rate of 4.5 mL/s. The image quality and effective radiation dose (ED) were compared.

Results: There were no significant differences in basic information between groups A and B. Other than the left PA, RA, and RV, there were no significant differences in the CT attenuation values of relevant vascular structures between groups A and B. There were no significant differences in CNR values between the two groups except the LAD-D and LCX. The image quality scores were comparable between groups A and B except the CAs. However, there were significant differences between the two groups in ICM (p < 0.05), scanning time (p < 0.001) and ED (p = 0. 023).

Conclusions: The optimized TRO-CTA scanning protocol can achieve less ICM and lower ED while maintaining image quality.

Abstract Image

Abstract Image

Abstract Image

Abstract Image

基于宽探测器CT的优化三重排除CT血管造影用于急诊胸痛:在不影响诊断质量的情况下降低对比度和辐射。
背景:三重排除计算机断层血管造影(TRO-CTA)最近成为一种无创评估冠状动脉(CAs)、肺动脉(PAs)和胸主动脉(TA)的技术。目的:探讨一种优化的扫描方案在TRO-CTA患者中减少碘造影剂(ICM)体积、注射速率和放射剂量的可行性。方法:采用16 cm宽探测器CT将行TRO-CTA的患者分为A组和B组。A组患者采用传统的三重扫描方案,包括PA、ca和TA序列。B组采用改良方案成像,扫描顺序为PA、TA、CAs, ICM为55 ml,注射速率为4.5 ml /s。比较了图像质量和有效辐射剂量(ED)。结果:A、b两组间基本信息无显著差异,除左PA、RA、RV外,两组间相关血管结构的CT衰减值无显著差异。除LAD-D、LCX外,两组间CNR值无显著差异。除ca外,A组和B组的图像质量评分具有可比性。结论:优化后的TRO-CTA扫描方案可以在保持图像质量的同时实现更低的ICM和更低的ED。
本文章由计算机程序翻译,如有差异,请以英文原文为准。
求助全文
约1分钟内获得全文 求助全文
来源期刊
Emergency Radiology
Emergency Radiology RADIOLOGY, NUCLEAR MEDICINE & MEDICAL IMAGING-
CiteScore
4.60
自引率
4.50%
发文量
98
期刊介绍: To advance and improve the radiologic aspects of emergency careTo establish Emergency Radiology as an area of special interest in the field of diagnostic imagingTo improve methods of education in Emergency RadiologyTo provide, through formal meetings, a mechanism for presentation of scientific papers on various aspects of Emergency Radiology and continuing educationTo promote research in Emergency Radiology by clinical and basic science investigators, including residents and other traineesTo act as the resource body on Emergency Radiology for those interested in emergency patient care Members of the American Society of Emergency Radiology (ASER) receive the Emergency Radiology journal as a benefit of membership!
×
引用
GB/T 7714-2015
复制
MLA
复制
APA
复制
导出至
BibTeX EndNote RefMan NoteFirst NoteExpress
×
提示
您的信息不完整,为了账户安全,请先补充。
现在去补充
×
提示
您因"违规操作"
具体请查看互助需知
我知道了
×
提示
确定
请完成安全验证×
copy
已复制链接
快去分享给好友吧!
我知道了
右上角分享
点击右上角分享
0
联系我们:info@booksci.cn Book学术提供免费学术资源搜索服务,方便国内外学者检索中英文文献。致力于提供最便捷和优质的服务体验。 Copyright © 2023 布克学术 All rights reserved.
京ICP备2023020795号-1
ghs 京公网安备 11010802042870号
Book学术文献互助
Book学术文献互助群
群 号:604180095
Book学术官方微信