Assessing Caudal Epidural Anatomy in Children: A Comparison of Palpation and Ultrasound for Sacral Cornua Identification.

IF 0.9 Q3 ANESTHESIOLOGY
Celal Kaya, Pınar Kendigelen, Ayşe Çiğdem Tütüncü, Güner Kaya
{"title":"Assessing Caudal Epidural Anatomy in Children: A Comparison of Palpation and Ultrasound for Sacral Cornua Identification.","authors":"Celal Kaya, Pınar Kendigelen, Ayşe Çiğdem Tütüncü, Güner Kaya","doi":"10.4274/TJAR.2025.251980","DOIUrl":null,"url":null,"abstract":"<p><strong>Objective: </strong>The aim of this study is to compare the identification of the sacral cornua using palpation and ultrasound, and to evaluate the sacrococcygeal area via ultrasound across different age groups of children.</p><p><strong>Methods: </strong>This study included 348 children aged 1 to 84 months, who were divided into three age groups: 1-24 months, 25-48 months, and 49-84 months. Sacral cornua were assessed using both palpation and ultrasound imaging. Palpation findings were categorized as \"good\", \"difficult\", or \"non-palpable\". Ultrasound imaging of the sacral cornua was classified as \"clear\", \"unclear\", or \"invisible\". Measurements taken included the inter-cornual distance, the anteroposterior diameter of the sacral canal, the distance from the skin to the sacral canal, and the distance from the dural sac to the cornua level.</p><p><strong>Results: </strong>Palpation of the sacral cornua was rated as \"good\" in 75.9% of patients, \"difficult\" in 22.4%, and \"non-palpable\" in 1.7%. All patients with \"good\" cornua palpation were also classified as \"clear\" on ultrasound imaging. Among the cases with \"difficult\" palpation, 76% showed a \"clear\" ultrasound image, while 24% were \"unclear\". Only one patient had \"invisible\" cornua on ultrasound. The mean distance from the dural sac to the cornua level was 3.72±1.64 cm, and this distance increased significantly with age (<i>P</i> < 0.01).</p><p><strong>Conclusion: </strong>Ultrasound is a valuable tool for identifying the sacral cornua, especially when palpation is difficult, and offers reliable, detailed information on sacral anatomy.</p>","PeriodicalId":23353,"journal":{"name":"Turkish journal of anaesthesiology and reanimation","volume":" ","pages":"107-113"},"PeriodicalIF":0.9000,"publicationDate":"2025-05-30","publicationTypes":"Journal Article","fieldsOfStudy":null,"isOpenAccess":false,"openAccessPdf":"https://www.ncbi.nlm.nih.gov/pmc/articles/PMC12123656/pdf/","citationCount":"0","resultStr":null,"platform":"Semanticscholar","paperid":null,"PeriodicalName":"Turkish journal of anaesthesiology and reanimation","FirstCategoryId":"1085","ListUrlMain":"https://doi.org/10.4274/TJAR.2025.251980","RegionNum":0,"RegionCategory":null,"ArticlePicture":[],"TitleCN":null,"AbstractTextCN":null,"PMCID":null,"EPubDate":"2025/5/27 0:00:00","PubModel":"Epub","JCR":"Q3","JCRName":"ANESTHESIOLOGY","Score":null,"Total":0}
引用次数: 0

Abstract

Objective: The aim of this study is to compare the identification of the sacral cornua using palpation and ultrasound, and to evaluate the sacrococcygeal area via ultrasound across different age groups of children.

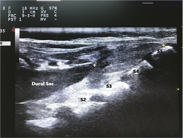
Methods: This study included 348 children aged 1 to 84 months, who were divided into three age groups: 1-24 months, 25-48 months, and 49-84 months. Sacral cornua were assessed using both palpation and ultrasound imaging. Palpation findings were categorized as "good", "difficult", or "non-palpable". Ultrasound imaging of the sacral cornua was classified as "clear", "unclear", or "invisible". Measurements taken included the inter-cornual distance, the anteroposterior diameter of the sacral canal, the distance from the skin to the sacral canal, and the distance from the dural sac to the cornua level.

Results: Palpation of the sacral cornua was rated as "good" in 75.9% of patients, "difficult" in 22.4%, and "non-palpable" in 1.7%. All patients with "good" cornua palpation were also classified as "clear" on ultrasound imaging. Among the cases with "difficult" palpation, 76% showed a "clear" ultrasound image, while 24% were "unclear". Only one patient had "invisible" cornua on ultrasound. The mean distance from the dural sac to the cornua level was 3.72±1.64 cm, and this distance increased significantly with age (P < 0.01).

Conclusion: Ultrasound is a valuable tool for identifying the sacral cornua, especially when palpation is difficult, and offers reliable, detailed information on sacral anatomy.

Abstract Image

Abstract Image

Abstract Image

评估儿童尾侧硬膜外解剖:触诊与超声鉴别骶骨角的比较。
目的:比较触诊和超声对骶骨角的识别,并对不同年龄组儿童的骶尾骨区进行超声检查。方法:本研究纳入348例1 ~ 84月龄儿童,分为1 ~ 24月龄、25 ~ 48月龄、49 ~ 84月龄3组。采用触诊和超声显像对骶骨角进行评估。触诊结果分为“良好”、“困难”和“不可触及”。骶骨角的超声成像分为“清晰”、“不清楚”和“不可见”。测量包括角间距离、骶管前后直径、皮肤到骶管的距离、硬脑膜囊到角水平的距离。结果:骶角触诊评分为“良好”的占75.9%,“困难”的占22.4%,“不可触及”的占1.7%。所有角膜触诊“良好”的患者在超声成像上也被归类为“清晰”。在触诊“困难”的病例中,76%的超声图像“清晰”,24%的超声图像“不清楚”。只有一名患者在超声检查中有“看不见”的角膜。硬膜囊至角膜水平的平均距离为3.72±1.64 cm,随着年龄的增长,这一距离显著增加(P < 0.01)。结论:超声是鉴别骶骨角的一种有价值的工具,特别是在触诊困难的情况下,超声提供了可靠、详细的骶骨解剖信息。
本文章由计算机程序翻译,如有差异,请以英文原文为准。
求助全文
约1分钟内获得全文 求助全文
来源期刊
CiteScore
1.10
自引率
0.00%
发文量
0
×
引用
GB/T 7714-2015
复制
MLA
复制
APA
复制
导出至
BibTeX EndNote RefMan NoteFirst NoteExpress
×
提示
您的信息不完整,为了账户安全,请先补充。
现在去补充
×
提示
您因"违规操作"
具体请查看互助需知
我知道了
×
提示
确定
请完成安全验证×
copy
已复制链接
快去分享给好友吧!
我知道了
右上角分享
点击右上角分享
0
联系我们:info@booksci.cn Book学术提供免费学术资源搜索服务,方便国内外学者检索中英文文献。致力于提供最便捷和优质的服务体验。 Copyright © 2023 布克学术 All rights reserved.
京ICP备2023020795号-1
ghs 京公网安备 11010802042870号
Book学术文献互助
Book学术文献互助群
群 号:604180095
Book学术官方微信