Clinical and Morphological Bone Marrow Characteristics of Pearson Syndrome: About Three Consecutive Cases and Review of the Literature.

IF 0.5 Q4 PEDIATRICS
Case Reports in Pediatrics Pub Date : 2025-05-18 eCollection Date: 2025-01-01 DOI:10.1155/crpe/3076141
Gaetan-Nagim Degroot, Aurélie Empain, Laurence Dedeken, Anne Demulder, Laurence Rozen
{"title":"Clinical and Morphological Bone Marrow Characteristics of Pearson Syndrome: About Three Consecutive Cases and Review of the Literature.","authors":"Gaetan-Nagim Degroot, Aurélie Empain, Laurence Dedeken, Anne Demulder, Laurence Rozen","doi":"10.1155/crpe/3076141","DOIUrl":null,"url":null,"abstract":"<p><p>Pearson syndrome (PS) is a rare and fatal multisystem disorder caused by a mitochondrial DNA (mtDNA) deletion. Most patients develop refractory anemia in early infancy, rapidly followed by multiple complications such as failure to thrive, muscle hypotonia, pancreatic insufficiency, and renal tubulopathy. Although the definitive diagnosis is established by mtDNA sequencing, bone marrow (BM) cytology is a cornerstone of diagnosis, typically revealing precursor vacuolization and ring sideroblasts. We report here three cases of patients with PS encountered in our institution and summarize the clinical and hematological features of PS through a systematic review of the literature. The first symptoms mostly appear during the first month of life and rarely after 18 months. Hyporegenerative anemia, a hallmark of the disease, is the most common initial symptom, followed at a distance by neutropenia and thrombocytopenia. Gastrointestinal and metabolic symptoms such as failure to thrive and lactic acidosis are the most frequent non-hematological symptoms, even in the rare cases without hyporegenerative anemia. Vacuolization of BM precursors, observed in the vast majority of PS patient BMAs, is not influenced by the patient's age at sampling. Ring sideroblasts, the other feature of PS BMAs, are less frequent than progenitor vacuolization but increase significantly after 6 months of age. These abnormalities are just as common in patients with or without hematological symptoms, suggesting that BMA should be performed in all suspected PS cases, despite the absence of anemia. PS is a multisystem disorder requiring early diagnosis and a coordinate multidisciplinary management, involving clinicians and clinical biologists.</p>","PeriodicalId":9623,"journal":{"name":"Case Reports in Pediatrics","volume":"2025 ","pages":"3076141"},"PeriodicalIF":0.5000,"publicationDate":"2025-05-18","publicationTypes":"Journal Article","fieldsOfStudy":null,"isOpenAccess":false,"openAccessPdf":"https://www.ncbi.nlm.nih.gov/pmc/articles/PMC12103953/pdf/","citationCount":"0","resultStr":null,"platform":"Semanticscholar","paperid":null,"PeriodicalName":"Case Reports in Pediatrics","FirstCategoryId":"1085","ListUrlMain":"https://doi.org/10.1155/crpe/3076141","RegionNum":0,"RegionCategory":null,"ArticlePicture":[],"TitleCN":null,"AbstractTextCN":null,"PMCID":null,"EPubDate":"2025/1/1 0:00:00","PubModel":"eCollection","JCR":"Q4","JCRName":"PEDIATRICS","Score":null,"Total":0}
引用次数: 0

Abstract

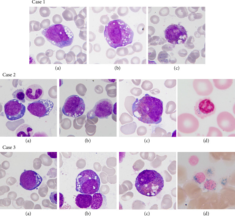
Pearson syndrome (PS) is a rare and fatal multisystem disorder caused by a mitochondrial DNA (mtDNA) deletion. Most patients develop refractory anemia in early infancy, rapidly followed by multiple complications such as failure to thrive, muscle hypotonia, pancreatic insufficiency, and renal tubulopathy. Although the definitive diagnosis is established by mtDNA sequencing, bone marrow (BM) cytology is a cornerstone of diagnosis, typically revealing precursor vacuolization and ring sideroblasts. We report here three cases of patients with PS encountered in our institution and summarize the clinical and hematological features of PS through a systematic review of the literature. The first symptoms mostly appear during the first month of life and rarely after 18 months. Hyporegenerative anemia, a hallmark of the disease, is the most common initial symptom, followed at a distance by neutropenia and thrombocytopenia. Gastrointestinal and metabolic symptoms such as failure to thrive and lactic acidosis are the most frequent non-hematological symptoms, even in the rare cases without hyporegenerative anemia. Vacuolization of BM precursors, observed in the vast majority of PS patient BMAs, is not influenced by the patient's age at sampling. Ring sideroblasts, the other feature of PS BMAs, are less frequent than progenitor vacuolization but increase significantly after 6 months of age. These abnormalities are just as common in patients with or without hematological symptoms, suggesting that BMA should be performed in all suspected PS cases, despite the absence of anemia. PS is a multisystem disorder requiring early diagnosis and a coordinate multidisciplinary management, involving clinicians and clinical biologists.

Abstract Image

Abstract Image

Abstract Image

皮尔森综合征的临床及骨髓形态特征:关于连续3例病例及文献复习。
皮尔逊综合征(Pearson syndrome, PS)是一种罕见且致命的多系统疾病,由线粒体DNA (mtDNA)缺失引起。大多数患者在婴儿期早期出现难治性贫血,随后迅速出现多种并发症,如发育不良、肌肉张力下降、胰腺功能不全和肾小管病变。虽然明确的诊断是通过mtDNA测序建立的,但骨髓细胞学是诊断的基石,通常显示前体空泡化和环状铁母细胞。我们在此报告我院遇到的3例PS患者,并通过对文献的系统回顾,总结PS的临床和血液学特征。最初的症状大多出现在出生后的第一个月,很少在18个月后出现。低再生性贫血是该病的标志,是最常见的初始症状,其次是中性粒细胞减少症和血小板减少症。胃肠道和代谢症状,如发育不良和乳酸性酸中毒是最常见的非血液学症状,即使在极少数没有再生障碍性贫血的病例中也是如此。在绝大多数PS患者bma中观察到的BM前体空泡化不受患者取样时年龄的影响。环状铁母细胞是PS BMAs的另一个特征,其空泡化频率低于祖细胞,但在6月龄后显著增加。这些异常在有或无血液学症状的患者中同样常见,提示尽管没有贫血,但所有疑似PS病例都应进行BMA检查。PS是一种多系统疾病,需要临床医生和临床生物学家的早期诊断和多学科协调管理。
本文章由计算机程序翻译,如有差异,请以英文原文为准。
求助全文
约1分钟内获得全文 求助全文
来源期刊
自引率
11.10%
发文量
48
审稿时长
13 weeks
×
引用
GB/T 7714-2015
复制
MLA
复制
APA
复制
导出至
BibTeX EndNote RefMan NoteFirst NoteExpress
×
提示
您的信息不完整,为了账户安全,请先补充。
现在去补充
×
提示
您因"违规操作"
具体请查看互助需知
我知道了
×
提示
确定
请完成安全验证×
copy
已复制链接
快去分享给好友吧!
我知道了
右上角分享
点击右上角分享
0
联系我们:info@booksci.cn Book学术提供免费学术资源搜索服务,方便国内外学者检索中英文文献。致力于提供最便捷和优质的服务体验。 Copyright © 2023 布克学术 All rights reserved.
京ICP备2023020795号-1
ghs 京公网安备 11010802042870号
Book学术文献互助
Book学术文献互助群
群 号:604180095
Book学术官方微信