Intravenous Misplacement of the Nephrostomy Catheter Into the Renal Vein Following Percutaneous Nephrolithotomy (PCNL): A Case Report and Literature Review.

Case Reports in Nephrology Pub Date : 2025-05-19 eCollection Date: 2025-01-01 DOI:10.1155/crin/1229960
Shuah Ullah, Hammad Ur Rehman Shamsi, Ayesha Kamran, Abdullah Ayub, Dania Masood
{"title":"Intravenous Misplacement of the Nephrostomy Catheter Into the Renal Vein Following Percutaneous Nephrolithotomy (PCNL): A Case Report and Literature Review.","authors":"Shuah Ullah, Hammad Ur Rehman Shamsi, Ayesha Kamran, Abdullah Ayub, Dania Masood","doi":"10.1155/crin/1229960","DOIUrl":null,"url":null,"abstract":"<p><p><b>Background:</b> After percutaneous nephrolithotomy (PCNL), intravenous misplacement of a nephrostomy tube is a very rare clinical occurrence. This report summarizes the characteristics and management of intravenous misplacement of a nephrostomy tube. <b>Case Presentation:</b> We present a rare case of intravenous nephrostomy catheter misplacement after PCNL in a 63 years old male. The tip of the tube was located in the left renal vein. The patient was managed conservatively and treated safely. <b>Conclusion:</b> Intravenous nephrostomy tube misplacement is a rare PCNL complication. Good Imaging can rule out through and through renal vein perforation and thus patients can be safely managed using conservative approach.</p>","PeriodicalId":9604,"journal":{"name":"Case Reports in Nephrology","volume":"2025 ","pages":"1229960"},"PeriodicalIF":0.0000,"publicationDate":"2025-05-19","publicationTypes":"Journal Article","fieldsOfStudy":null,"isOpenAccess":false,"openAccessPdf":"https://www.ncbi.nlm.nih.gov/pmc/articles/PMC12105906/pdf/","citationCount":"0","resultStr":null,"platform":"Semanticscholar","paperid":null,"PeriodicalName":"Case Reports in Nephrology","FirstCategoryId":"1085","ListUrlMain":"https://doi.org/10.1155/crin/1229960","RegionNum":0,"RegionCategory":null,"ArticlePicture":[],"TitleCN":null,"AbstractTextCN":null,"PMCID":null,"EPubDate":"2025/1/1 0:00:00","PubModel":"eCollection","JCR":"","JCRName":"","Score":null,"Total":0}
引用次数: 0

Abstract

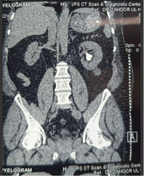
Background: After percutaneous nephrolithotomy (PCNL), intravenous misplacement of a nephrostomy tube is a very rare clinical occurrence. This report summarizes the characteristics and management of intravenous misplacement of a nephrostomy tube. Case Presentation: We present a rare case of intravenous nephrostomy catheter misplacement after PCNL in a 63 years old male. The tip of the tube was located in the left renal vein. The patient was managed conservatively and treated safely. Conclusion: Intravenous nephrostomy tube misplacement is a rare PCNL complication. Good Imaging can rule out through and through renal vein perforation and thus patients can be safely managed using conservative approach.

Abstract Image

Abstract Image

Abstract Image

经皮肾镜取石术(PCNL)后肾造口导管静脉内错置肾静脉1例报告及文献复习。
背景:经皮肾镜取石术(PCNL)后,静脉肾造瘘管放置错位是一种非常罕见的临床现象。本文总结了肾造口管静脉置错的特点和处理方法。病例介绍:我们报告一个罕见的病例静脉肾造口导管错位后PCNL在63岁的男性。导管尖端位于左肾静脉。患者接受了保守治疗和安全治疗。结论:静脉肾造口管错位是一种罕见的PCNL并发症。良好的影像学检查可以排除肾静脉穿透性和穿透性穿孔,因此患者可以安全地采用保守方法。
本文章由计算机程序翻译,如有差异,请以英文原文为准。
求助全文
约1分钟内获得全文 求助全文
来源期刊
Case Reports in Nephrology
Case Reports in Nephrology Medicine-Nephrology
CiteScore
1.70
自引率
0.00%
发文量
32
×
引用
GB/T 7714-2015
复制
MLA
复制
APA
复制
导出至
BibTeX EndNote RefMan NoteFirst NoteExpress
×
提示
您的信息不完整,为了账户安全,请先补充。
现在去补充
×
提示
您因"违规操作"
具体请查看互助需知
我知道了
×
提示
确定
请完成安全验证×
copy
已复制链接
快去分享给好友吧!
我知道了
右上角分享
点击右上角分享
0
联系我们:info@booksci.cn Book学术提供免费学术资源搜索服务,方便国内外学者检索中英文文献。致力于提供最便捷和优质的服务体验。 Copyright © 2023 布克学术 All rights reserved.
京ICP备2023020795号-1
ghs 京公网安备 11010802042870号
Book学术文献互助
Book学术文献互助群
群 号:604180095
Book学术官方微信