Symptomatic Expanding Porencephalic Cyst after Evacuation of Intracerebral Hematoma in an Adult: A Case Report.

IF 1.8 Q2 MEDICINE, GENERAL & INTERNAL
JMA journal Pub Date : 2025-04-28 Epub Date: 2025-02-07 DOI:10.31662/jmaj.2024-0189
Yoshiaki Takamura
{"title":"Symptomatic Expanding Porencephalic Cyst after Evacuation of Intracerebral Hematoma in an Adult: A Case Report.","authors":"Yoshiaki Takamura","doi":"10.31662/jmaj.2024-0189","DOIUrl":null,"url":null,"abstract":"<p><p>Porencephalic cysts are very rare in adults. Herein, we present a case of an 88-year-old man with a symptomatic expanding porencephalic cyst after intracerebral hematoma evacuation. He was admitted because of disturbed consciousness and right hemiparesis. A computed tomography (CT) showed a large subcortical hematoma in the left parietal lobe. Hematoma evacuation was performed, his consciousness level improved but gradually deteriorated. Follow-up CT revealed a new cystic lesion with perifocal edema at the hematoma site, with progressive expansion of the cyst. Cyst drainage and -peritoneal shunt placement were performed on postoperative day 14; consequently, his symptoms improved. Considerably, a porencephalic cyst have developed because the cerebrospinal fluid flowed into the closed hematoma cavity from the ventricle owing to the osmotic pressure difference between the ventricle and the hematoma cavity.</p>","PeriodicalId":73550,"journal":{"name":"JMA journal","volume":"8 2","pages":"637-640"},"PeriodicalIF":1.8000,"publicationDate":"2025-04-28","publicationTypes":"Journal Article","fieldsOfStudy":null,"isOpenAccess":false,"openAccessPdf":"https://www.ncbi.nlm.nih.gov/pmc/articles/PMC12095862/pdf/","citationCount":"0","resultStr":null,"platform":"Semanticscholar","paperid":null,"PeriodicalName":"JMA journal","FirstCategoryId":"1085","ListUrlMain":"https://doi.org/10.31662/jmaj.2024-0189","RegionNum":0,"RegionCategory":null,"ArticlePicture":[],"TitleCN":null,"AbstractTextCN":null,"PMCID":null,"EPubDate":"2025/2/7 0:00:00","PubModel":"Epub","JCR":"Q2","JCRName":"MEDICINE, GENERAL & INTERNAL","Score":null,"Total":0}
引用次数: 0

Abstract

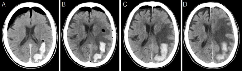
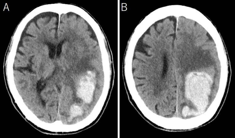
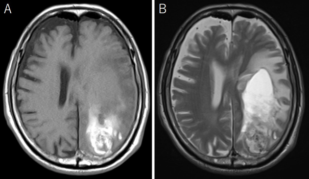
Porencephalic cysts are very rare in adults. Herein, we present a case of an 88-year-old man with a symptomatic expanding porencephalic cyst after intracerebral hematoma evacuation. He was admitted because of disturbed consciousness and right hemiparesis. A computed tomography (CT) showed a large subcortical hematoma in the left parietal lobe. Hematoma evacuation was performed, his consciousness level improved but gradually deteriorated. Follow-up CT revealed a new cystic lesion with perifocal edema at the hematoma site, with progressive expansion of the cyst. Cyst drainage and -peritoneal shunt placement were performed on postoperative day 14; consequently, his symptoms improved. Considerably, a porencephalic cyst have developed because the cerebrospinal fluid flowed into the closed hematoma cavity from the ventricle owing to the osmotic pressure difference between the ventricle and the hematoma cavity.

Abstract Image

Abstract Image

Abstract Image

成人脑内血肿清除后出现症状性扩大的脑孔囊肿1例报告。
成人脑孔囊肿非常罕见。在此,我们提出一个病例88岁的男子有症状扩大脑孔囊肿后脑出血清除。因意识障碍和右半瘫入院。计算机断层扫描(CT)显示在左顶叶皮质下有一个大血肿。行血肿清除术,患者意识水平有所改善,但逐渐恶化。随访CT显示一新的囊性病变伴血肿周围水肿,囊肿进行性扩张。术后第14天行囊肿引流和腹腔分流术;因此,他的症状有所改善。很大程度上,脑脊液由于脑室和血肿腔之间的渗透压差而从脑室流入封闭的血肿腔,从而形成了脑孔囊肿。
本文章由计算机程序翻译,如有差异,请以英文原文为准。
求助全文
约1分钟内获得全文 求助全文
来源期刊
自引率
0.00%
发文量
0
×
引用
GB/T 7714-2015
复制
MLA
复制
APA
复制
导出至
BibTeX EndNote RefMan NoteFirst NoteExpress
×
提示
您的信息不完整,为了账户安全,请先补充。
现在去补充
×
提示
您因"违规操作"
具体请查看互助需知
我知道了
×
提示
确定
请完成安全验证×
copy
已复制链接
快去分享给好友吧!
我知道了
右上角分享
点击右上角分享
0
联系我们:info@booksci.cn Book学术提供免费学术资源搜索服务,方便国内外学者检索中英文文献。致力于提供最便捷和优质的服务体验。 Copyright © 2023 布克学术 All rights reserved.
京ICP备2023020795号-1
ghs 京公网安备 11010802042870号
Book学术文献互助
Book学术文献互助群
群 号:604180095
Book学术官方微信