Hybrid Surgery for Superior Mesenteric Vein Thrombosis: A Case Report.

IF 1.8 Q2 MEDICINE, GENERAL & INTERNAL
JMA journal Pub Date : 2025-04-28 Epub Date: 2025-02-07 DOI:10.31662/jmaj.2024-0305
Ryota Sasaki, Takaaki Maruhashi, Marina Oi, Ayumi Takahashi, Kanako Okazaki, Yutaro Kurihara, Yasushi Asari
{"title":"Hybrid Surgery for Superior Mesenteric Vein Thrombosis: A Case Report.","authors":"Ryota Sasaki, Takaaki Maruhashi, Marina Oi, Ayumi Takahashi, Kanako Okazaki, Yutaro Kurihara, Yasushi Asari","doi":"10.31662/jmaj.2024-0305","DOIUrl":null,"url":null,"abstract":"<p><p>Superior mesenteric vein thrombosis (SMVT) is a rare condition characterized by thrombus formation in the superior mesenteric vein. SMVT is generally caused by abnormal blood coagulation, inflammation, or surgical interventions. This condition can lead to intestinal ischemia and necrosis due to blood flow stasis. We report the case of a man in his 60s who presented with abdominal pain and vomiting. Abdominal contrast-enhanced computed tomography shows a thrombus in the portal and superior mesenteric veins, and reduced contrast in the small intestine. Approximately 1.5 m of the necrotic jejunum was resected, an open management approach was undertaken, and anticoagulation with continuous intravenous heparin was initiated. On the fourth day of treatment, a thrombus was retrieved from the superior mesenteric vein within the main trunk of the portal vein using a stent clot retrieval device. The patient's bowel edema improved soon thereafter. This case of SMVT was successfully managed using a hybrid approach of bowel resection and transcatheter thrombus retrieval.</p>","PeriodicalId":73550,"journal":{"name":"JMA journal","volume":"8 2","pages":"633-636"},"PeriodicalIF":1.8000,"publicationDate":"2025-04-28","publicationTypes":"Journal Article","fieldsOfStudy":null,"isOpenAccess":false,"openAccessPdf":"https://www.ncbi.nlm.nih.gov/pmc/articles/PMC12095858/pdf/","citationCount":"0","resultStr":null,"platform":"Semanticscholar","paperid":null,"PeriodicalName":"JMA journal","FirstCategoryId":"1085","ListUrlMain":"https://doi.org/10.31662/jmaj.2024-0305","RegionNum":0,"RegionCategory":null,"ArticlePicture":[],"TitleCN":null,"AbstractTextCN":null,"PMCID":null,"EPubDate":"2025/2/7 0:00:00","PubModel":"Epub","JCR":"Q2","JCRName":"MEDICINE, GENERAL & INTERNAL","Score":null,"Total":0}
引用次数: 0

Abstract

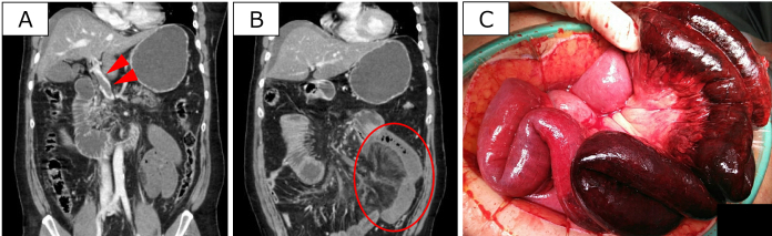
Superior mesenteric vein thrombosis (SMVT) is a rare condition characterized by thrombus formation in the superior mesenteric vein. SMVT is generally caused by abnormal blood coagulation, inflammation, or surgical interventions. This condition can lead to intestinal ischemia and necrosis due to blood flow stasis. We report the case of a man in his 60s who presented with abdominal pain and vomiting. Abdominal contrast-enhanced computed tomography shows a thrombus in the portal and superior mesenteric veins, and reduced contrast in the small intestine. Approximately 1.5 m of the necrotic jejunum was resected, an open management approach was undertaken, and anticoagulation with continuous intravenous heparin was initiated. On the fourth day of treatment, a thrombus was retrieved from the superior mesenteric vein within the main trunk of the portal vein using a stent clot retrieval device. The patient's bowel edema improved soon thereafter. This case of SMVT was successfully managed using a hybrid approach of bowel resection and transcatheter thrombus retrieval.

Abstract Image

Abstract Image

Abstract Image

混合手术治疗肠系膜上静脉血栓1例。
摘要肠系膜上静脉血栓形成是一种罕见的疾病,其特征是在肠系膜上静脉形成血栓。SMVT通常由凝血异常、炎症或手术干预引起。这种情况可导致肠道因血流停滞而缺血坏死。我们报告的情况下,一名男子在他的60谁提出腹痛和呕吐。腹部增强ct显示门静脉和肠系膜上静脉血栓,小肠造影降低。切除坏死空肠约1.5 m,采用开放治疗方法,并开始持续静脉注射肝素抗凝。在治疗的第四天,从门静脉主干内的肠系膜上静脉取出血栓,使用支架式血栓取出装置。此后病人的肠水肿很快得到改善。本例SMVT采用肠切除术和经导管取栓的混合方法成功治疗。
本文章由计算机程序翻译,如有差异,请以英文原文为准。
求助全文
约1分钟内获得全文 求助全文
来源期刊
自引率
0.00%
发文量
0
×
引用
GB/T 7714-2015
复制
MLA
复制
APA
复制
导出至
BibTeX EndNote RefMan NoteFirst NoteExpress
×
提示
您的信息不完整,为了账户安全,请先补充。
现在去补充
×
提示
您因"违规操作"
具体请查看互助需知
我知道了
×
提示
确定
请完成安全验证×
copy
已复制链接
快去分享给好友吧!
我知道了
右上角分享
点击右上角分享
0
联系我们:info@booksci.cn Book学术提供免费学术资源搜索服务,方便国内外学者检索中英文文献。致力于提供最便捷和优质的服务体验。 Copyright © 2023 布克学术 All rights reserved.
京ICP备2023020795号-1
ghs 京公网安备 11010802042870号
Book学术文献互助
Book学术文献互助群
群 号:604180095
Book学术官方微信