[Periprosthetic fracture in hip replacement-risk factors and treatment].

IF 0.5
Orthopadie (Heidelberg, Germany) Pub Date : 2025-07-01 Epub Date: 2025-05-21 DOI:10.1007/s00132-025-04658-z
Matthias Luger, Tobias Gotterbarm, Clemens Schopper
{"title":"[Periprosthetic fracture in hip replacement-risk factors and treatment].","authors":"Matthias Luger, Tobias Gotterbarm, Clemens Schopper","doi":"10.1007/s00132-025-04658-z","DOIUrl":null,"url":null,"abstract":"<p><strong>Background: </strong>Periprosthetic acetabular fractures primarily pose a problem with cementless implantation techniques and occur in approximately 3.6% of primary and up to 20.9% of revision cases. When a fracture situation exists that affects the integrity of the pelvic columns, stabilization using plate osteosynthesis is necessary, in addition to the implantation of a revision cup. Periprosthetic femoral fractures also primarily occur with cementless techniques and account for 0.4-6.8% of revisions after primary total hip arthroplasty. In addition to the cementless technique, the most common risk factors for the development of PFF are a minimally invasive, ventral approach, female gender, poor bone quality, age > 75 years, and revision surgery.</p><p><strong>Treatment: </strong>Depending on the degree of risk to the stability of the implant, conservative or surgical treatment can be carried out using osteosynthesis, stem replacement or a combination of both procedures.</p>","PeriodicalId":74375,"journal":{"name":"Orthopadie (Heidelberg, Germany)","volume":" ","pages":"522-529"},"PeriodicalIF":0.5000,"publicationDate":"2025-07-01","publicationTypes":"Journal Article","fieldsOfStudy":null,"isOpenAccess":false,"openAccessPdf":"https://www.ncbi.nlm.nih.gov/pmc/articles/PMC12263748/pdf/","citationCount":"0","resultStr":null,"platform":"Semanticscholar","paperid":null,"PeriodicalName":"Orthopadie (Heidelberg, Germany)","FirstCategoryId":"1085","ListUrlMain":"https://doi.org/10.1007/s00132-025-04658-z","RegionNum":0,"RegionCategory":null,"ArticlePicture":[],"TitleCN":null,"AbstractTextCN":null,"PMCID":null,"EPubDate":"2025/5/21 0:00:00","PubModel":"Epub","JCR":"","JCRName":"","Score":null,"Total":0}
引用次数: 0

Abstract

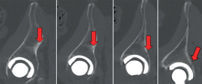
Background: Periprosthetic acetabular fractures primarily pose a problem with cementless implantation techniques and occur in approximately 3.6% of primary and up to 20.9% of revision cases. When a fracture situation exists that affects the integrity of the pelvic columns, stabilization using plate osteosynthesis is necessary, in addition to the implantation of a revision cup. Periprosthetic femoral fractures also primarily occur with cementless techniques and account for 0.4-6.8% of revisions after primary total hip arthroplasty. In addition to the cementless technique, the most common risk factors for the development of PFF are a minimally invasive, ventral approach, female gender, poor bone quality, age > 75 years, and revision surgery.

Treatment: Depending on the degree of risk to the stability of the implant, conservative or surgical treatment can be carried out using osteosynthesis, stem replacement or a combination of both procedures.

Abstract Image

Abstract Image

Abstract Image

[髋关节置换术中假体周围骨折的危险因素及治疗]。
背景:髋臼假体周围骨折主要是由无骨水泥植入技术引起的问题,大约3.6%的原发性骨折和20.9%的翻修病例发生这种骨折。当存在影响骨盆柱完整性的骨折情况时,除了植入翻修杯外,还需要使用钢板固定术进行稳定。股骨假体周围骨折也主要发生在无骨水泥技术中,占初次全髋关节置换术后翻修的0.4-6.8%。除了无骨水泥技术外,PFF最常见的危险因素是微创、腹侧入路、女性、骨质量差、年龄bb0 75岁和翻修手术。治疗:根据对植入物稳定性的风险程度,保守或手术治疗可采用骨合成、骨干置换或两者结合的方法。
本文章由计算机程序翻译,如有差异,请以英文原文为准。
求助全文
约1分钟内获得全文 求助全文
来源期刊
自引率
0.00%
发文量
0
×
引用
GB/T 7714-2015
复制
MLA
复制
APA
复制
导出至
BibTeX EndNote RefMan NoteFirst NoteExpress
×
提示
您的信息不完整,为了账户安全,请先补充。
现在去补充
×
提示
您因"违规操作"
具体请查看互助需知
我知道了
×
提示
确定
请完成安全验证×
copy
已复制链接
快去分享给好友吧!
我知道了
右上角分享
点击右上角分享
0
联系我们:info@booksci.cn Book学术提供免费学术资源搜索服务,方便国内外学者检索中英文文献。致力于提供最便捷和优质的服务体验。 Copyright © 2023 布克学术 All rights reserved.
京ICP备2023020795号-1
ghs 京公网安备 11010802042870号
Book学术文献互助
Book学术文献互助群
群 号:604180095
Book学术官方微信