Retroperitoneal Necrotizing Fasciitis Following Prolonged Physical Activity: A Case Report.

Q4 Nursing
Jordan R Pollock, Edmundo Chantler, Bhavesh Patel, Nelly Tan, Wayne Martini
{"title":"Retroperitoneal Necrotizing Fasciitis Following Prolonged Physical Activity: A Case Report.","authors":"Jordan R Pollock, Edmundo Chantler, Bhavesh Patel, Nelly Tan, Wayne Martini","doi":"10.5811/cpcem.34862","DOIUrl":null,"url":null,"abstract":"<p><strong>Introduction: </strong>Retroperitoneal necrotizing fasciitis is a rare, rapidly progressive, and often fatal infection of the retroperitoneum. In many cases the source of infection is unclear, and cutaneous signs of necrotizing fasciitis may be absent.</p><p><strong>Case report: </strong>We present the case of a 64-year-old female with a history of hypertension, hyperlipidemia, and breast cancer who developed acute kidney injury (AKI) and retroperitoneal necrotizing fasciitis following a 20-mile bike ride. The patient's initial symptoms included severe muscle aches, nausea, vomiting, and flank pain. Diagnostic imaging and laboratory results indicated myositis and severe AKI. Despite aggressive treatment with antibiotics, intravenous fluids, and pain management, the patient developed septic shock and multiorgan failure, ultimately leading to her death.</p><p><strong>Conclusion: </strong>This case highlights the rapid progression and complexity of managing necrotizing fasciitis and AKI in the context of rhabdomyolysis. Early recognition and aggressive management are crucial in cases of suspected necrotizing fasciitis and AKI. Patients may not initially present with cutaneous findings suggestive of necrotizing fasciitis. Early involvement of a multidisciplinary team can improve patient outcomes in complex and rapidly deteriorating patients.</p>","PeriodicalId":31975,"journal":{"name":"Clinical Practice and Cases in Emergency Medicine","volume":"9 2","pages":"211-214"},"PeriodicalIF":0.0000,"publicationDate":"2025-05-01","publicationTypes":"Journal Article","fieldsOfStudy":null,"isOpenAccess":false,"openAccessPdf":"https://www.ncbi.nlm.nih.gov/pmc/articles/PMC12097239/pdf/","citationCount":"0","resultStr":null,"platform":"Semanticscholar","paperid":null,"PeriodicalName":"Clinical Practice and Cases in Emergency Medicine","FirstCategoryId":"1085","ListUrlMain":"https://doi.org/10.5811/cpcem.34862","RegionNum":0,"RegionCategory":null,"ArticlePicture":[],"TitleCN":null,"AbstractTextCN":null,"PMCID":null,"EPubDate":"","PubModel":"","JCR":"Q4","JCRName":"Nursing","Score":null,"Total":0}
引用次数: 0

Abstract

Introduction: Retroperitoneal necrotizing fasciitis is a rare, rapidly progressive, and often fatal infection of the retroperitoneum. In many cases the source of infection is unclear, and cutaneous signs of necrotizing fasciitis may be absent.

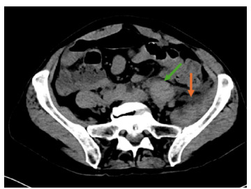
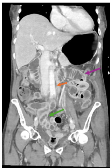
Case report: We present the case of a 64-year-old female with a history of hypertension, hyperlipidemia, and breast cancer who developed acute kidney injury (AKI) and retroperitoneal necrotizing fasciitis following a 20-mile bike ride. The patient's initial symptoms included severe muscle aches, nausea, vomiting, and flank pain. Diagnostic imaging and laboratory results indicated myositis and severe AKI. Despite aggressive treatment with antibiotics, intravenous fluids, and pain management, the patient developed septic shock and multiorgan failure, ultimately leading to her death.

Conclusion: This case highlights the rapid progression and complexity of managing necrotizing fasciitis and AKI in the context of rhabdomyolysis. Early recognition and aggressive management are crucial in cases of suspected necrotizing fasciitis and AKI. Patients may not initially present with cutaneous findings suggestive of necrotizing fasciitis. Early involvement of a multidisciplinary team can improve patient outcomes in complex and rapidly deteriorating patients.

Abstract Image

Abstract Image

Abstract Image

长期运动后腹膜后坏死性筋膜炎1例报告。
简介:腹膜后坏死性筋膜炎是一种罕见的、进展迅速且常常致命的腹膜后感染。在许多病例中,感染源不清楚,坏死性筋膜炎的皮肤征象可能不存在。病例报告:我们报告一例64岁女性,有高血压、高脂血症和乳腺癌病史,骑车20英里后发生急性肾损伤(AKI)和腹膜后坏死性筋膜炎。患者最初的症状包括严重的肌肉疼痛、恶心、呕吐和腹部疼痛。诊断影像和实验室结果显示肌炎和严重的AKI。尽管进行了抗生素、静脉输液和疼痛管理等积极治疗,患者还是出现了感染性休克和多器官衰竭,最终导致了她的死亡。结论:该病例突出了横纹肌溶解性坏死性筋膜炎和AKI治疗的快速进展和复杂性。在疑似坏死性筋膜炎和AKI的病例中,早期识别和积极治疗是至关重要的。患者最初可能没有皮肤表现提示坏死性筋膜炎。多学科团队的早期参与可以改善复杂和迅速恶化的患者的预后。
本文章由计算机程序翻译,如有差异,请以英文原文为准。
求助全文
约1分钟内获得全文 求助全文
来源期刊
CiteScore
0.40
自引率
0.00%
发文量
83
审稿时长
21 weeks
×
引用
GB/T 7714-2015
复制
MLA
复制
APA
复制
导出至
BibTeX EndNote RefMan NoteFirst NoteExpress
×
提示
您的信息不完整,为了账户安全,请先补充。
现在去补充
×
提示
您因"违规操作"
具体请查看互助需知
我知道了
×
提示
确定
请完成安全验证×
copy
已复制链接
快去分享给好友吧!
我知道了
右上角分享
点击右上角分享
0
联系我们:info@booksci.cn Book学术提供免费学术资源搜索服务,方便国内外学者检索中英文文献。致力于提供最便捷和优质的服务体验。 Copyright © 2023 布克学术 All rights reserved.
京ICP备2023020795号-1
ghs 京公网安备 11010802042870号
Book学术文献互助
Book学术文献互助群
群 号:604180095
Book学术官方微信