Gastrosplenic Fistula in the Setting of Undiagnosed Lymphoma: A Case Report.

Q4 Nursing
Mackenzie Lecher, Brian Lecher, Lindsay Tjiattas-Saleski
{"title":"Gastrosplenic Fistula in the Setting of Undiagnosed Lymphoma: A Case Report.","authors":"Mackenzie Lecher, Brian Lecher, Lindsay Tjiattas-Saleski","doi":"10.5811/cpcem.34864","DOIUrl":null,"url":null,"abstract":"<p><strong>Introduction: </strong>A gastrosplenic fistula (GSF) is a pathologic connection between the spleen and stomach that can lead to life-threatening complications. A GSF can arise spontaneously but is often secondary to a variety of etiologies. Most commonly, GSFs arise from gastric or splenic non-Hodgkin diffuse large B-cell lymphomas (DLBCL). Only 46 cases of GSFs have been published to date, and due to its rarity extensive literature review is insufficient for characterization of GSFs.</p><p><strong>Case report: </strong>This case discusses a patient with intermittent abdominal pain and weight loss, which led to the diagnosis and treatment of a GSF and DLBCL. The patient later went into remission for his DLBCL but succumbed to respiratory failure from a secondary abdominal-pleural fistula formation. Gastrosplenic fistulas have the potential to cause fatal, massive, upper gastrointestinal hemorrhages, infections, other fistulas, or esophageal obstructions. A delay in diagnosis corresponds with a higher morbidity and mortality; thus, prompt detection and treatment are imperative. The management of GSFs is complex and requires a multidisciplinary approach to care.</p><p><strong>Conclusion: </strong>In this report we review GSFs in the emergency care setting with the goal of increasing awareness to facilitate their diagnosis.</p>","PeriodicalId":31975,"journal":{"name":"Clinical Practice and Cases in Emergency Medicine","volume":"9 2","pages":"161-164"},"PeriodicalIF":0.0000,"publicationDate":"2025-05-01","publicationTypes":"Journal Article","fieldsOfStudy":null,"isOpenAccess":false,"openAccessPdf":"https://www.ncbi.nlm.nih.gov/pmc/articles/PMC12097260/pdf/","citationCount":"0","resultStr":null,"platform":"Semanticscholar","paperid":null,"PeriodicalName":"Clinical Practice and Cases in Emergency Medicine","FirstCategoryId":"1085","ListUrlMain":"https://doi.org/10.5811/cpcem.34864","RegionNum":0,"RegionCategory":null,"ArticlePicture":[],"TitleCN":null,"AbstractTextCN":null,"PMCID":null,"EPubDate":"","PubModel":"","JCR":"Q4","JCRName":"Nursing","Score":null,"Total":0}
引用次数: 0

Abstract

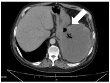
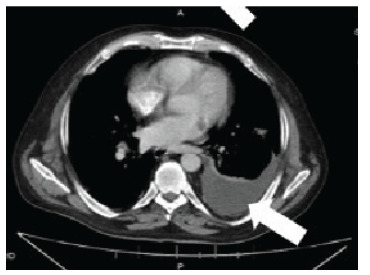
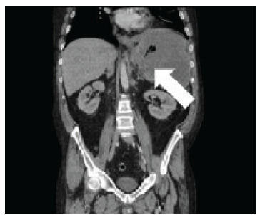
Introduction: A gastrosplenic fistula (GSF) is a pathologic connection between the spleen and stomach that can lead to life-threatening complications. A GSF can arise spontaneously but is often secondary to a variety of etiologies. Most commonly, GSFs arise from gastric or splenic non-Hodgkin diffuse large B-cell lymphomas (DLBCL). Only 46 cases of GSFs have been published to date, and due to its rarity extensive literature review is insufficient for characterization of GSFs.

Case report: This case discusses a patient with intermittent abdominal pain and weight loss, which led to the diagnosis and treatment of a GSF and DLBCL. The patient later went into remission for his DLBCL but succumbed to respiratory failure from a secondary abdominal-pleural fistula formation. Gastrosplenic fistulas have the potential to cause fatal, massive, upper gastrointestinal hemorrhages, infections, other fistulas, or esophageal obstructions. A delay in diagnosis corresponds with a higher morbidity and mortality; thus, prompt detection and treatment are imperative. The management of GSFs is complex and requires a multidisciplinary approach to care.

Conclusion: In this report we review GSFs in the emergency care setting with the goal of increasing awareness to facilitate their diagnosis.

Abstract Image

Abstract Image

Abstract Image

未确诊淋巴瘤并发胃脾瘘1例。
胃脾瘘(GSF)是脾脏和胃之间的一种病理性连接,可导致危及生命的并发症。GSF可以自发发生,但通常是继发于各种病因。最常见的是,gsf起源于胃或脾非霍奇金弥漫性大b细胞淋巴瘤(DLBCL)。迄今为止,仅发表了46例gsf病例,由于其罕见,广泛的文献综述不足以对gsf进行表征。病例报告:本病例讨论了一位间歇性腹痛和体重减轻的患者,这导致了GSF和DLBCL的诊断和治疗。患者后来进入缓解他的DLBCL,但死于呼吸衰竭从继发性腹胸膜瘘形成。胃脾瘘有可能导致致命的、大量的上消化道出血、感染、其他瘘管或食管阻塞。诊断的延迟与较高的发病率和死亡率相对应;因此,及时发现和治疗是必不可少的。gsf的管理是复杂的,需要多学科的护理方法。结论:在本报告中,我们回顾了急诊护理环境中的gsf,目的是提高对其诊断的认识。
本文章由计算机程序翻译,如有差异,请以英文原文为准。
求助全文
约1分钟内获得全文 求助全文
来源期刊
CiteScore
0.40
自引率
0.00%
发文量
83
审稿时长
21 weeks
×
引用
GB/T 7714-2015
复制
MLA
复制
APA
复制
导出至
BibTeX EndNote RefMan NoteFirst NoteExpress
×
提示
您的信息不完整,为了账户安全,请先补充。
现在去补充
×
提示
您因"违规操作"
具体请查看互助需知
我知道了
×
提示
确定
请完成安全验证×
copy
已复制链接
快去分享给好友吧!
我知道了
右上角分享
点击右上角分享
0
联系我们:info@booksci.cn Book学术提供免费学术资源搜索服务,方便国内外学者检索中英文文献。致力于提供最便捷和优质的服务体验。 Copyright © 2023 布克学术 All rights reserved.
京ICP备2023020795号-1
ghs 京公网安备 11010802042870号
Book学术文献互助
Book学术文献互助群
群 号:604180095
Book学术官方微信