Vaccination with synthetic long peptide and CpG 2395 in AddaVax induces potent anti-tumor effects.

IF 2.7 4区 医学 Q2 MEDICINE, RESEARCH & EXPERIMENTAL
Experimental Biology and Medicine Pub Date : 2025-05-06 eCollection Date: 2025-01-01 DOI:10.3389/ebm.2025.10509
Shanshan Jiang, Shuqi Zhao, Qiaojiajie Zhao, Yinfang Wang, Weihua Zhang, Yangmeng Feng, Lijie Zhang
{"title":"Vaccination with synthetic long peptide and CpG 2395 in AddaVax induces potent anti-tumor effects.","authors":"Shanshan Jiang, Shuqi Zhao, Qiaojiajie Zhao, Yinfang Wang, Weihua Zhang, Yangmeng Feng, Lijie Zhang","doi":"10.3389/ebm.2025.10509","DOIUrl":null,"url":null,"abstract":"<p><p>Cancer/testis antigen HCA587, also known as MAGE-C2, highly expressed in a wide range of malignant tumors with unique immunological characteristics, serves as a potential target for tumor immunotherapy. Synthetic long peptides from HCA587 (HCA587 SLP) were proved to be highly immunogenic and promising in the application of cancer vaccine composed of Freud's adjuvant (FA) and CpG 1826, whereas, scarce CD8<sup>+</sup> T cell response may limit their anti-tumor effects during previous research. In this study, notwithstanding the multiple potential of IFN-α in immune modulation, there was no evidence of IFN-α in enhancing the immune response elicited by HCA587 SLP vaccine (HCA587 SLP + FA + CpG 1826). Given the unpleasant side-effects of Freud's adjuvant, then we applied AddaVax as a substitute for Freud's adjuvant, and we demonstrated that HCA587 SLP, formulated with AddaVax and CpG 2395, could induce more robust immune response in comparison with combined use of AddaVax and CpG 1826 through ELISpot assay. Furthermore, both IFN-γ-secreting CD4<sup>+</sup> T cell and CD8<sup>+</sup> T cell responses could be elicited by HCA587 SLP in combination with AddaVax and CpG 2395, and CD8<sup>+</sup> T cell response was most obviously observed under the condition of 10-h inhibition of cytokine secretion by brefeldin A post 10-h stimulation with HCA587 SLP, suggesting that cross presentation of exogenous long peptides to CD8<sup>+</sup> T cells may require more time than direct presentation to CD4<sup>+</sup> T cells. This vaccine formulation also conferred protection against challenge with HCA587-expressing B16 melanoma presented by delayed tumor growth and prolonged survival compared. This formulation of HCA587 SLP vaccine holds promise for the treatment of patients with cancer in future clinical trials.</p>","PeriodicalId":12163,"journal":{"name":"Experimental Biology and Medicine","volume":"250 ","pages":"10509"},"PeriodicalIF":2.7000,"publicationDate":"2025-05-06","publicationTypes":"Journal Article","fieldsOfStudy":null,"isOpenAccess":false,"openAccessPdf":"https://www.ncbi.nlm.nih.gov/pmc/articles/PMC12088984/pdf/","citationCount":"0","resultStr":null,"platform":"Semanticscholar","paperid":null,"PeriodicalName":"Experimental Biology and Medicine","FirstCategoryId":"3","ListUrlMain":"https://doi.org/10.3389/ebm.2025.10509","RegionNum":4,"RegionCategory":"医学","ArticlePicture":[],"TitleCN":null,"AbstractTextCN":null,"PMCID":null,"EPubDate":"2025/1/1 0:00:00","PubModel":"eCollection","JCR":"Q2","JCRName":"MEDICINE, RESEARCH & EXPERIMENTAL","Score":null,"Total":0}
引用次数: 0

Abstract

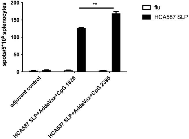
Cancer/testis antigen HCA587, also known as MAGE-C2, highly expressed in a wide range of malignant tumors with unique immunological characteristics, serves as a potential target for tumor immunotherapy. Synthetic long peptides from HCA587 (HCA587 SLP) were proved to be highly immunogenic and promising in the application of cancer vaccine composed of Freud's adjuvant (FA) and CpG 1826, whereas, scarce CD8+ T cell response may limit their anti-tumor effects during previous research. In this study, notwithstanding the multiple potential of IFN-α in immune modulation, there was no evidence of IFN-α in enhancing the immune response elicited by HCA587 SLP vaccine (HCA587 SLP + FA + CpG 1826). Given the unpleasant side-effects of Freud's adjuvant, then we applied AddaVax as a substitute for Freud's adjuvant, and we demonstrated that HCA587 SLP, formulated with AddaVax and CpG 2395, could induce more robust immune response in comparison with combined use of AddaVax and CpG 1826 through ELISpot assay. Furthermore, both IFN-γ-secreting CD4+ T cell and CD8+ T cell responses could be elicited by HCA587 SLP in combination with AddaVax and CpG 2395, and CD8+ T cell response was most obviously observed under the condition of 10-h inhibition of cytokine secretion by brefeldin A post 10-h stimulation with HCA587 SLP, suggesting that cross presentation of exogenous long peptides to CD8+ T cells may require more time than direct presentation to CD4+ T cells. This vaccine formulation also conferred protection against challenge with HCA587-expressing B16 melanoma presented by delayed tumor growth and prolonged survival compared. This formulation of HCA587 SLP vaccine holds promise for the treatment of patients with cancer in future clinical trials.

Abstract Image

Abstract Image

Abstract Image

用合成的长肽和CpG 2395接种AddaVax具有较强的抗肿瘤作用。
癌/睾丸抗原HCA587又称MAGE-C2,在多种恶性肿瘤中高表达,具有独特的免疫特性,是肿瘤免疫治疗的潜在靶点。从HCA587合成的长肽(HCA587 SLP)被证明具有较高的免疫原性,在由弗洛伊德佐剂(FA)和CpG 1826组成的癌症疫苗中具有应用前景,但在以往的研究中,CD8+ T细胞应答不足可能限制了其抗肿瘤作用。在本研究中,尽管IFN-α在免疫调节中的多重潜力,但没有证据表明IFN-α增强HCA587 SLP疫苗(HCA587 SLP + FA + CpG 1826)引起的免疫应答。鉴于弗洛伊德佐剂令人不快的副作用,我们将AddaVax作为弗洛伊德佐剂的替代品,并通过ELISpot实验证明,与AddaVax和CpG 2395联合使用相比,用AddaVax和CpG 1826配制的HCA587 SLP可以诱导更强的免疫应答。此外,HCA587 SLP联合AddaVax和CpG 2395均可引起分泌IFN-γ的CD4+ T细胞和CD8+ T细胞的反应,且在HCA587 SLP刺激10小时后,brefeldin A抑制细胞因子分泌10小时后,CD8+ T细胞的反应最为明显,这表明外源长肽交叉呈递CD8+ T细胞可能比直接呈递CD4+ T细胞需要更长的时间。与hca587表达的B16黑色素瘤相比,该疫苗制剂还具有抵抗肿瘤生长延迟和生存期延长的保护作用。这种HCA587 SLP疫苗的配方有望在未来的临床试验中治疗癌症患者。
本文章由计算机程序翻译,如有差异,请以英文原文为准。
求助全文
约1分钟内获得全文 求助全文
来源期刊
Experimental Biology and Medicine
Experimental Biology and Medicine 医学-医学:研究与实验
CiteScore
6.00
自引率
0.00%
发文量
157
审稿时长
1 months
期刊介绍: Experimental Biology and Medicine (EBM) is a global, peer-reviewed journal dedicated to the publication of multidisciplinary and interdisciplinary research in the biomedical sciences. EBM provides both research and review articles as well as meeting symposia and brief communications. Articles in EBM represent cutting edge research at the overlapping junctions of the biological, physical and engineering sciences that impact upon the health and welfare of the world''s population. Topics covered in EBM include: Anatomy/Pathology; Biochemistry and Molecular Biology; Bioimaging; Biomedical Engineering; Bionanoscience; Cell and Developmental Biology; Endocrinology and Nutrition; Environmental Health/Biomarkers/Precision Medicine; Genomics, Proteomics, and Bioinformatics; Immunology/Microbiology/Virology; Mechanisms of Aging; Neuroscience; Pharmacology and Toxicology; Physiology; Stem Cell Biology; Structural Biology; Systems Biology and Microphysiological Systems; and Translational Research.
×
引用
GB/T 7714-2015
复制
MLA
复制
APA
复制
导出至
BibTeX EndNote RefMan NoteFirst NoteExpress
×
提示
您的信息不完整,为了账户安全,请先补充。
现在去补充
×
提示
您因"违规操作"
具体请查看互助需知
我知道了
×
提示
确定
请完成安全验证×
copy
已复制链接
快去分享给好友吧!
我知道了
右上角分享
点击右上角分享
0
联系我们:info@booksci.cn Book学术提供免费学术资源搜索服务,方便国内外学者检索中英文文献。致力于提供最便捷和优质的服务体验。 Copyright © 2023 布克学术 All rights reserved.
京ICP备2023020795号-1
ghs 京公网安备 11010802042870号
Book学术文献互助
Book学术文献互助群
群 号:604180095
Book学术官方微信