Restoring Prostacyclin/PGI2-PTGIR signaling alleviates intestinal fibrosis in Crohn's disease via fibroblast-specific YAP/TAZ inhibition.

IF 8.7
Weijun Ou, Yaosheng Wang, Weimin Xu, Zhebin Hua, Xiaolei Wang, Wensong Ge, Wenjun Ding, Yingwei Chen, Chen-Ying Liu, Peng Du
{"title":"Restoring Prostacyclin/PGI2-PTGIR signaling alleviates intestinal fibrosis in Crohn's disease via fibroblast-specific YAP/TAZ inhibition.","authors":"Weijun Ou, Yaosheng Wang, Weimin Xu, Zhebin Hua, Xiaolei Wang, Wensong Ge, Wenjun Ding, Yingwei Chen, Chen-Ying Liu, Peng Du","doi":"10.1093/ecco-jcc/jjaf084","DOIUrl":null,"url":null,"abstract":"<p><strong>Background and aims: </strong>Intestinal obstruction caused by fibrosis is a common and serious complication of Crohn's disease (CD). Yes-associated protein (YAP) and transcriptional coactivator with PDZ-binding motifs (TAZ), the transcriptional effectors of the Hippo signaling pathway, have emerged as key drivers of intestinal fibrosis. Systematic inhibition of YAP/TAZ failed to combat fibrotic progression, probably due to the vital role of epithelial YAP/TAZ in intestinal homeostasis.</p><p><strong>Methods: </strong>Enzyme-Linked Immunosorbent Assay (ELISA) and immunohistochemical staining were used to detect serum Prostaglandin I2 (PGI2) levels and PGI2 Receptor (PTGIR) in clinical samples derived from CD patients. Dual luciferase reporter and Cut & Run assays were performed to explore the transcriptional regulatory mechanisms of PTGIR and PGI2 synthase (PTGIS) by tumor necrosis factor α (TNF-α) and transforming growth factor-beta (TGF-β), respectively. Primary intestinal fibroblasts and a chronic colitis model were used for assessing the efficacy of a PTGIR agonist in combating fibrosis.</p><p><strong>Results: </strong>The Gαs-coupled PTGIR is expressed in intestinal fibroblasts but is barely expressed in intestinal epithelial cells. PTGIR transcription is directly activated by p65 in fibroblasts upon TNF-α stimulation. Importantly, PTGIS is transcriptionally suppressed by TGF-β, leading to the loss of endogenous antifibrotic PGI2-PTGIR signaling. Serum PGI2 levels are decreased in CD patients with stenosis and are negatively correlated with disease duration. The PTGIR agonist inhibited the profibrotic function of YAP/TAZ in intestinal fibroblasts in vitro and reversed intestinal fibrosis in vivo.</p><p><strong>Conclusions: </strong>The antifibrotic effects of PGI2-PTGIR signaling are impaired in CD. Restoring PGI2-PTGIR signaling is a pharmacologically tractable and cell-selective approach to targeting YAP/TAZ via PTGIR, which reverses intestinal fibrosis.</p>","PeriodicalId":94074,"journal":{"name":"Journal of Crohn's & colitis","volume":" ","pages":""},"PeriodicalIF":8.7000,"publicationDate":"2025-06-04","publicationTypes":"Journal Article","fieldsOfStudy":null,"isOpenAccess":false,"openAccessPdf":"https://www.ncbi.nlm.nih.gov/pmc/articles/PMC12138779/pdf/","citationCount":"0","resultStr":null,"platform":"Semanticscholar","paperid":null,"PeriodicalName":"Journal of Crohn's & colitis","FirstCategoryId":"1085","ListUrlMain":"https://doi.org/10.1093/ecco-jcc/jjaf084","RegionNum":0,"RegionCategory":null,"ArticlePicture":[],"TitleCN":null,"AbstractTextCN":null,"PMCID":null,"EPubDate":"","PubModel":"","JCR":"","JCRName":"","Score":null,"Total":0}
引用次数: 0

Abstract

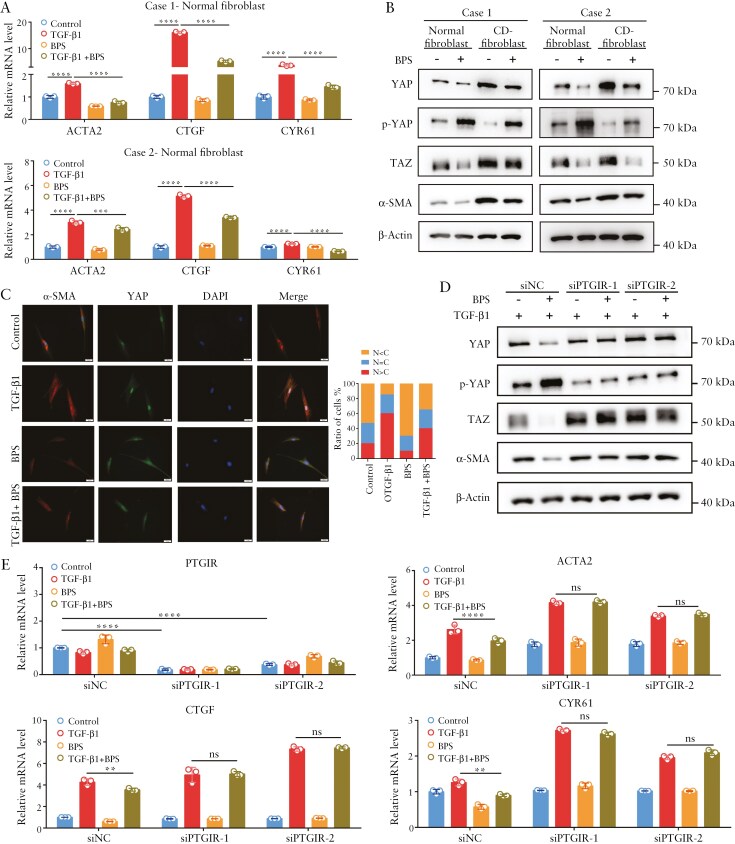
Background and aims: Intestinal obstruction caused by fibrosis is a common and serious complication of Crohn's disease (CD). Yes-associated protein (YAP) and transcriptional coactivator with PDZ-binding motifs (TAZ), the transcriptional effectors of the Hippo signaling pathway, have emerged as key drivers of intestinal fibrosis. Systematic inhibition of YAP/TAZ failed to combat fibrotic progression, probably due to the vital role of epithelial YAP/TAZ in intestinal homeostasis.

Methods: Enzyme-Linked Immunosorbent Assay (ELISA) and immunohistochemical staining were used to detect serum Prostaglandin I2 (PGI2) levels and PGI2 Receptor (PTGIR) in clinical samples derived from CD patients. Dual luciferase reporter and Cut & Run assays were performed to explore the transcriptional regulatory mechanisms of PTGIR and PGI2 synthase (PTGIS) by tumor necrosis factor α (TNF-α) and transforming growth factor-beta (TGF-β), respectively. Primary intestinal fibroblasts and a chronic colitis model were used for assessing the efficacy of a PTGIR agonist in combating fibrosis.

Results: The Gαs-coupled PTGIR is expressed in intestinal fibroblasts but is barely expressed in intestinal epithelial cells. PTGIR transcription is directly activated by p65 in fibroblasts upon TNF-α stimulation. Importantly, PTGIS is transcriptionally suppressed by TGF-β, leading to the loss of endogenous antifibrotic PGI2-PTGIR signaling. Serum PGI2 levels are decreased in CD patients with stenosis and are negatively correlated with disease duration. The PTGIR agonist inhibited the profibrotic function of YAP/TAZ in intestinal fibroblasts in vitro and reversed intestinal fibrosis in vivo.

Conclusions: The antifibrotic effects of PGI2-PTGIR signaling are impaired in CD. Restoring PGI2-PTGIR signaling is a pharmacologically tractable and cell-selective approach to targeting YAP/TAZ via PTGIR, which reverses intestinal fibrosis.

Abstract Image

Abstract Image

Abstract Image

恢复Prostacyclin/PGI2-PTGIR信号通过纤维母细胞特异性YAP/TAZ抑制缓解克罗恩病肠道纤维化
背景与目的:纤维化引起的肠梗阻是克罗恩病(CD)常见且严重的并发症。yes相关蛋白(YAP)和带pdz结合基序的转录共激活因子(TAZ)是Hippo信号通路的转录效应因子,已成为肠纤维化的关键驱动因素。系统抑制YAP/TAZ未能抑制纤维化进展,可能是由于上皮YAP/TAZ在肠道内稳态中的重要作用。方法:采用ELISA和免疫组织化学染色法检测CD患者临床标本血清前列腺素I2 (PGI2)水平和PGI2受体(PTGIR)水平。采用双荧光素酶报告基因法和Cut & Run法分别探讨TNF-α和TGF-β对PTGIR和PGI2合成酶(PTGIS)的转录调控机制。原代肠成纤维细胞和慢性结肠炎模型用于评估PTGIR激动剂对抗纤维化的功效。结果:g αs偶联PTGIR在肠成纤维细胞中表达,而在肠上皮细胞(IECs)中几乎不表达。在TNF-α刺激下,成纤维细胞中的p65直接激活PTGIR转录。重要的是,PTGIS被TGF-β转录抑制,导致内源性抗纤维化PGI2-PTGIR信号的丧失。伴有狭窄的CD患者血清PGI2水平降低,且与病程呈负相关。PTGIR激动剂在体外抑制YAP/TAZ在肠成纤维细胞中的促纤维化功能,在体内逆转肠纤维化。结论:PGI2-PTGIR信号的抗纤维化作用在CD中受损。恢复PGI2-PTGIR信号是通过PTGIR靶向YAP/TAZ的一种药理学上可操作的细胞选择性方法,可逆转肠道纤维化。
本文章由计算机程序翻译,如有差异,请以英文原文为准。
求助全文
约1分钟内获得全文 求助全文
来源期刊
自引率
0.00%
发文量
0
×
引用
GB/T 7714-2015
复制
MLA
复制
APA
复制
导出至
BibTeX EndNote RefMan NoteFirst NoteExpress
×
提示
您的信息不完整,为了账户安全,请先补充。
现在去补充
×
提示
您因"违规操作"
具体请查看互助需知
我知道了
×
提示
确定
请完成安全验证×
copy
已复制链接
快去分享给好友吧!
我知道了
右上角分享
点击右上角分享
0
联系我们:info@booksci.cn Book学术提供免费学术资源搜索服务,方便国内外学者检索中英文文献。致力于提供最便捷和优质的服务体验。 Copyright © 2023 布克学术 All rights reserved.
京ICP备2023020795号-1
ghs 京公网安备 11010802042870号
Book学术文献互助
Book学术文献互助群
群 号:604180095
Book学术官方微信