A Rare Case of Primary Paraganglioma of the Facial Nerve Canal.

IF 1.3 4区 医学 Q4 RADIOLOGY, NUCLEAR MEDICINE & MEDICAL IMAGING
Journal of the Belgian Society of Radiology Pub Date : 2025-05-13 eCollection Date: 2025-01-01 DOI:10.5334/jbsr.3957
Simon Claeys, Ingeborg Dhooge, Veroniek Van Driessche
{"title":"A Rare Case of Primary Paraganglioma of the Facial Nerve Canal.","authors":"Simon Claeys, Ingeborg Dhooge, Veroniek Van Driessche","doi":"10.5334/jbsr.3957","DOIUrl":null,"url":null,"abstract":"<p><p>We report the case of a 54‑year‑old woman with 3‑year‑history of right facial paralysis. Computed tomography (CT) and magnetic resonance imaging (MRI) findings were highly suggestive of a primary paraganglioma (PGL) of the facial nerve canal (FNC). <sup>68</sup>Ga‑DOTATATE positron emission tomography (PET)/CT confirmed the neuroendocrine nature of the tumor. <i>Teaching point:</i> The combined imaging findings of permeative bone destruction, rapid wash‑in and wash‑out perfusion, and <sup>68</sup>Ga‑DOTATATE tracer uptake in a lesion arising from the mastoid segment of the FNC are diagnostic of a primary PGL of the FNC and may obviate the need for histological confirmation.</p>","PeriodicalId":55987,"journal":{"name":"Journal of the Belgian Society of Radiology","volume":"109 1","pages":"20"},"PeriodicalIF":1.3000,"publicationDate":"2025-05-13","publicationTypes":"Journal Article","fieldsOfStudy":null,"isOpenAccess":false,"openAccessPdf":"https://www.ncbi.nlm.nih.gov/pmc/articles/PMC12082460/pdf/","citationCount":"0","resultStr":null,"platform":"Semanticscholar","paperid":null,"PeriodicalName":"Journal of the Belgian Society of Radiology","FirstCategoryId":"3","ListUrlMain":"https://doi.org/10.5334/jbsr.3957","RegionNum":4,"RegionCategory":"医学","ArticlePicture":[],"TitleCN":null,"AbstractTextCN":null,"PMCID":null,"EPubDate":"2025/1/1 0:00:00","PubModel":"eCollection","JCR":"Q4","JCRName":"RADIOLOGY, NUCLEAR MEDICINE & MEDICAL IMAGING","Score":null,"Total":0}
引用次数: 0

Abstract

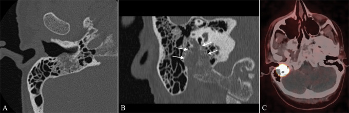
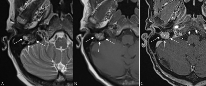
We report the case of a 54‑year‑old woman with 3‑year‑history of right facial paralysis. Computed tomography (CT) and magnetic resonance imaging (MRI) findings were highly suggestive of a primary paraganglioma (PGL) of the facial nerve canal (FNC). 68Ga‑DOTATATE positron emission tomography (PET)/CT confirmed the neuroendocrine nature of the tumor. Teaching point: The combined imaging findings of permeative bone destruction, rapid wash‑in and wash‑out perfusion, and 68Ga‑DOTATATE tracer uptake in a lesion arising from the mastoid segment of the FNC are diagnostic of a primary PGL of the FNC and may obviate the need for histological confirmation.

Abstract Image

Abstract Image

Abstract Image

面神经管原发性副神经节瘤1例。
我们报告一例54岁女性,有3年的右侧面瘫病史。计算机断层扫描(CT)和磁共振成像(MRI)的结果高度提示面神经管(FNC)原发性副神经节瘤(PGL)。68Ga - DOTATATE正电子发射断层扫描(PET)/CT证实了肿瘤的神经内分泌性质。教学要点:FNC乳突段病变的穿透性骨破坏、快速洗入和洗出灌注以及68Ga - DOTATATE示踪剂摄取的综合影像学表现可诊断FNC原发性PGL,可能无需组织学证实。
本文章由计算机程序翻译,如有差异,请以英文原文为准。
求助全文
约1分钟内获得全文 求助全文
来源期刊
Journal of the Belgian Society of Radiology
Journal of the Belgian Society of Radiology Medicine-Radiology, Nuclear Medicine and Imaging
CiteScore
0.70
自引率
5.00%
发文量
96
期刊介绍: The purpose of the Journal of the Belgian Society of Radiology is the publication of articles dealing with diagnostic and interventional radiology, related imaging techniques, allied sciences, and continuing education.
×
引用
GB/T 7714-2015
复制
MLA
复制
APA
复制
导出至
BibTeX EndNote RefMan NoteFirst NoteExpress
×
提示
您的信息不完整,为了账户安全,请先补充。
现在去补充
×
提示
您因"违规操作"
具体请查看互助需知
我知道了
×
提示
确定
请完成安全验证×
copy
已复制链接
快去分享给好友吧!
我知道了
右上角分享
点击右上角分享
0
联系我们:info@booksci.cn Book学术提供免费学术资源搜索服务,方便国内外学者检索中英文文献。致力于提供最便捷和优质的服务体验。 Copyright © 2023 布克学术 All rights reserved.
京ICP备2023020795号-1
ghs 京公网安备 11010802042870号
Book学术文献互助
Book学术文献互助群
群 号:604180095
Book学术官方微信