Usefulness of Fast Field Echo Resembling a CT Using Restricted Echo-Spacing (FRACTURE) in Pediatric Lumbar Spondylolysis: A Case Report.

IF 1.6 Q3 SPORT SCIENCES
Open Access Journal of Sports Medicine Pub Date : 2025-05-14 eCollection Date: 2025-01-01 DOI:10.2147/OAJSM.S511852
Kei Kawarata, Kazuyuki Watanabe, Eiki Yamagishi, Yoichi Kaneuchi, Takuya Nikaido, Shinichi Konno, Yoshihiro Matsumoto
{"title":"Usefulness of Fast Field Echo Resembling a CT Using Restricted Echo-Spacing (FRACTURE) in Pediatric Lumbar Spondylolysis: A Case Report.","authors":"Kei Kawarata, Kazuyuki Watanabe, Eiki Yamagishi, Yoichi Kaneuchi, Takuya Nikaido, Shinichi Konno, Yoshihiro Matsumoto","doi":"10.2147/OAJSM.S511852","DOIUrl":null,"url":null,"abstract":"<p><p>Multiple computed tomography (CT) scans are required to diagnose lumbar spondylolysis stage and confirm fusion degree. However, multiple CT scans should be avoided because of radiation exposure. There are no case reports of complete diagnosis and treatment of pediatric lumbar spondylolysis without the use of CT. Fast field echo resembling a CT using restricted echo-spacing (FRACTURE) is a magnetic resonance imaging (MRI) sequence used to evaluate bone lesions. Here we report the case of a pediatric patient with lumbar spondylolysis who was able to return to sports after diagnosis, treatment, and bone union confirmation using MRI and FRACTURE.</p>","PeriodicalId":51644,"journal":{"name":"Open Access Journal of Sports Medicine","volume":"16 ","pages":"51-54"},"PeriodicalIF":1.6000,"publicationDate":"2025-05-14","publicationTypes":"Journal Article","fieldsOfStudy":null,"isOpenAccess":false,"openAccessPdf":"https://www.ncbi.nlm.nih.gov/pmc/articles/PMC12085884/pdf/","citationCount":"0","resultStr":null,"platform":"Semanticscholar","paperid":null,"PeriodicalName":"Open Access Journal of Sports Medicine","FirstCategoryId":"1085","ListUrlMain":"https://doi.org/10.2147/OAJSM.S511852","RegionNum":0,"RegionCategory":null,"ArticlePicture":[],"TitleCN":null,"AbstractTextCN":null,"PMCID":null,"EPubDate":"2025/1/1 0:00:00","PubModel":"eCollection","JCR":"Q3","JCRName":"SPORT SCIENCES","Score":null,"Total":0}
引用次数: 0

Abstract

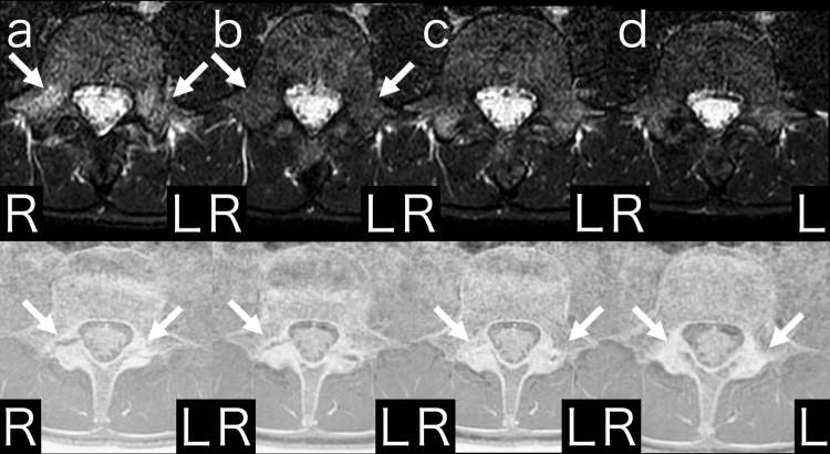
Multiple computed tomography (CT) scans are required to diagnose lumbar spondylolysis stage and confirm fusion degree. However, multiple CT scans should be avoided because of radiation exposure. There are no case reports of complete diagnosis and treatment of pediatric lumbar spondylolysis without the use of CT. Fast field echo resembling a CT using restricted echo-spacing (FRACTURE) is a magnetic resonance imaging (MRI) sequence used to evaluate bone lesions. Here we report the case of a pediatric patient with lumbar spondylolysis who was able to return to sports after diagnosis, treatment, and bone union confirmation using MRI and FRACTURE.

Abstract Image

Abstract Image

快速场回波在儿童腰椎峡部裂中的应用:1例报告。
需要多次计算机断层扫描(CT)来诊断腰椎峡部裂的阶段和确认融合程度。然而,由于辐射暴露,应避免多次CT扫描。没有病例报告完全诊断和治疗儿童腰椎峡部裂不使用CT。快速场回波类似于限制回波间隔的CT(骨折),是一种用于评估骨病变的磁共振成像(MRI)序列。在此,我们报告一位患有腰椎峡部裂的儿童患者,经过诊断、治疗和MRI和骨折确认骨愈合后,能够恢复运动。
本文章由计算机程序翻译,如有差异,请以英文原文为准。
求助全文
约1分钟内获得全文 求助全文
来源期刊
CiteScore
4.80
自引率
0.00%
发文量
13
审稿时长
16 weeks
×
引用
GB/T 7714-2015
复制
MLA
复制
APA
复制
导出至
BibTeX EndNote RefMan NoteFirst NoteExpress
×
提示
您的信息不完整,为了账户安全,请先补充。
现在去补充
×
提示
您因"违规操作"
具体请查看互助需知
我知道了
×
提示
确定
请完成安全验证×
copy
已复制链接
快去分享给好友吧!
我知道了
右上角分享
点击右上角分享
0
联系我们:info@booksci.cn Book学术提供免费学术资源搜索服务,方便国内外学者检索中英文文献。致力于提供最便捷和优质的服务体验。 Copyright © 2023 布克学术 All rights reserved.
京ICP备2023020795号-1
ghs 京公网安备 11010802042870号
Book学术文献互助
Book学术文献互助群
群 号:604180095
Book学术官方微信