Bladder Stone Incarceration in Posterior Urethral Valve Leading to Urinary Retention: A Case Report.

IF 0.9 Q4 UROLOGY & NEPHROLOGY
Case Reports in Nephrology and Dialysis Pub Date : 2025-04-04 eCollection Date: 2025-01-01 DOI:10.1159/000545455
Limin Huang, Fei Liu, Yanfei Wang, Yanyan Jin, Yingying Zhang, Haidong Fu, Jianhua Mao
{"title":"Bladder Stone Incarceration in Posterior Urethral Valve Leading to Urinary Retention: A Case Report.","authors":"Limin Huang, Fei Liu, Yanfei Wang, Yanyan Jin, Yingying Zhang, Haidong Fu, Jianhua Mao","doi":"10.1159/000545455","DOIUrl":null,"url":null,"abstract":"<p><strong>Introduction: </strong>Posterior urethral valve (PUV) and vesical calculus are individually among the most common causes of obstructive lower urinary symptoms in children. Intermittent urinary retention can be caused by a combination of PUVs and bladder stones. There are very few reports of an association between PUVs and bladder calculus.</p><p><strong>Case presentation: </strong>We present a case of intermittent urinary retention resulting from a stone obstructing the PUV. The patient experienced intermittent urinary retention for over a month. A computed tomography scan revealed a bladder stone in the posterior urethra. The intracorporeal lithotripsy for calculus with fulguration of the PUV was performed using holmium:YAG laser.</p><p><strong>Conclusion: </strong>For any boy presenting with urinary retention, we recommend a thorough urethral assessment; the absence of significant abnormalities in the urethra on voiding cystourethrography cannot rule out the presence of relevant PUV; hence, bladder endoscopy may sometimes be required for further evaluation, to rule out vesical calculus and potential PUVs.</p>","PeriodicalId":9599,"journal":{"name":"Case Reports in Nephrology and Dialysis","volume":"15 1","pages":"83-88"},"PeriodicalIF":0.9000,"publicationDate":"2025-04-04","publicationTypes":"Journal Article","fieldsOfStudy":null,"isOpenAccess":false,"openAccessPdf":"https://www.ncbi.nlm.nih.gov/pmc/articles/PMC12083953/pdf/","citationCount":"0","resultStr":null,"platform":"Semanticscholar","paperid":null,"PeriodicalName":"Case Reports in Nephrology and Dialysis","FirstCategoryId":"1085","ListUrlMain":"https://doi.org/10.1159/000545455","RegionNum":0,"RegionCategory":null,"ArticlePicture":[],"TitleCN":null,"AbstractTextCN":null,"PMCID":null,"EPubDate":"2025/1/1 0:00:00","PubModel":"eCollection","JCR":"Q4","JCRName":"UROLOGY & NEPHROLOGY","Score":null,"Total":0}
引用次数: 0

Abstract

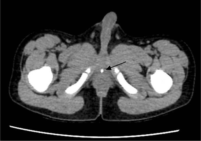
Introduction: Posterior urethral valve (PUV) and vesical calculus are individually among the most common causes of obstructive lower urinary symptoms in children. Intermittent urinary retention can be caused by a combination of PUVs and bladder stones. There are very few reports of an association between PUVs and bladder calculus.

Case presentation: We present a case of intermittent urinary retention resulting from a stone obstructing the PUV. The patient experienced intermittent urinary retention for over a month. A computed tomography scan revealed a bladder stone in the posterior urethra. The intracorporeal lithotripsy for calculus with fulguration of the PUV was performed using holmium:YAG laser.

Conclusion: For any boy presenting with urinary retention, we recommend a thorough urethral assessment; the absence of significant abnormalities in the urethra on voiding cystourethrography cannot rule out the presence of relevant PUV; hence, bladder endoscopy may sometimes be required for further evaluation, to rule out vesical calculus and potential PUVs.

Abstract Image

Abstract Image

Abstract Image

膀胱结石嵌顿后尿道瓣膜导致尿潴留1例报告。
简介:后尿道瓣膜(PUV)和膀胱结石是儿童下尿道梗阻性症状的最常见原因。间歇性尿潴留可由puv和膀胱结石共同引起。很少有puv与膀胱结石相关的报道。病例介绍:我们报告一例间歇性尿潴留导致的结石阻塞PUV。病人间歇性尿潴留一个多月。计算机断层扫描显示后尿道有膀胱结石。采用钬激光对PUV电灼治疗结石进行体内碎石术。结论:对于任何出现尿潴留的男孩,我们建议进行彻底的尿道评估;排尿膀胱尿道造影未见明显异常不能排除相关PUV的存在;因此,有时可能需要膀胱内窥镜检查进一步评估,以排除膀胱结石和潜在的puv。
本文章由计算机程序翻译,如有差异,请以英文原文为准。
求助全文
约1分钟内获得全文 求助全文
来源期刊
CiteScore
1.20
自引率
0.00%
发文量
36
审稿时长
10 weeks
期刊介绍: This peer-reviewed online-only journal publishes original case reports covering the entire spectrum of nephrology and dialysis, including genetic susceptibility, clinical presentation, diagnosis, treatment or prevention, toxicities of therapy, critical care, supportive care, quality-of-life and survival issues. The journal will also accept case reports dealing with the use of novel technologies, both in the arena of diagnosis and treatment. Supplementary material is welcomed.
×
引用
GB/T 7714-2015
复制
MLA
复制
APA
复制
导出至
BibTeX EndNote RefMan NoteFirst NoteExpress
×
提示
您的信息不完整,为了账户安全,请先补充。
现在去补充
×
提示
您因"违规操作"
具体请查看互助需知
我知道了
×
提示
确定
请完成安全验证×
copy
已复制链接
快去分享给好友吧!
我知道了
右上角分享
点击右上角分享
0
联系我们:info@booksci.cn Book学术提供免费学术资源搜索服务,方便国内外学者检索中英文文献。致力于提供最便捷和优质的服务体验。 Copyright © 2023 布克学术 All rights reserved.
京ICP备2023020795号-1
ghs 京公网安备 11010802042870号
Book学术文献互助
Book学术文献互助群
群 号:604180095
Book学术官方微信