Mid-ventricular hypertrophic cardiomyopathy with apical aneurysm: a multimodality imaging case report.

Pavel Martinez-Dominguez, Manuel Horna-Noriega, María José Santa-Ana-Bayona, Sara Ramírez-Flores, Lucia Horna-Regalado, Nilda Espinola-Zavaleta
{"title":"Mid-ventricular hypertrophic cardiomyopathy with apical aneurysm: a multimodality imaging case report.","authors":"Pavel Martinez-Dominguez, Manuel Horna-Noriega, María José Santa-Ana-Bayona, Sara Ramírez-Flores, Lucia Horna-Regalado, Nilda Espinola-Zavaleta","doi":"10.47487/apcyccv.v6i1.452","DOIUrl":null,"url":null,"abstract":"<p><p>Mid-ventricular hypertrophic cardiomyopathy is a rare subgroup within hypertrophic cardiomyopathies that may present with apical aneurysm. This condition is associated with an increased risk of cardiac adverse events, including cardiac arrest, heart failure, thromboembolic events, or sudden cardiac death. We present a case of a 41-year-old man who presented with a history of exertional dyspnea and syncope. Multimodality imaging with echocardiography and cardiac magnetic resonance showed hypertrophy of the mid-ventricular segments with apical aneurysm. An implantable cardioverter-defibrillator was implanted to prevent sudden cardiac death.</p>","PeriodicalId":72295,"journal":{"name":"Archivos Peruanos de cardiologia y cirugia cardiovascular","volume":"6 1","pages":"44-48"},"PeriodicalIF":0.0000,"publicationDate":"2025-02-12","publicationTypes":"Journal Article","fieldsOfStudy":null,"isOpenAccess":false,"openAccessPdf":"https://www.ncbi.nlm.nih.gov/pmc/articles/PMC12076763/pdf/","citationCount":"0","resultStr":null,"platform":"Semanticscholar","paperid":null,"PeriodicalName":"Archivos Peruanos de cardiologia y cirugia cardiovascular","FirstCategoryId":"1085","ListUrlMain":"https://doi.org/10.47487/apcyccv.v6i1.452","RegionNum":0,"RegionCategory":null,"ArticlePicture":[],"TitleCN":null,"AbstractTextCN":null,"PMCID":null,"EPubDate":"2025/1/1 0:00:00","PubModel":"eCollection","JCR":"","JCRName":"","Score":null,"Total":0}
引用次数: 0

Abstract

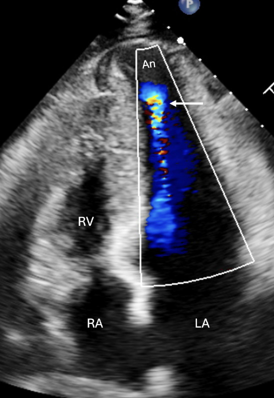
Mid-ventricular hypertrophic cardiomyopathy is a rare subgroup within hypertrophic cardiomyopathies that may present with apical aneurysm. This condition is associated with an increased risk of cardiac adverse events, including cardiac arrest, heart failure, thromboembolic events, or sudden cardiac death. We present a case of a 41-year-old man who presented with a history of exertional dyspnea and syncope. Multimodality imaging with echocardiography and cardiac magnetic resonance showed hypertrophy of the mid-ventricular segments with apical aneurysm. An implantable cardioverter-defibrillator was implanted to prevent sudden cardiac death.

Abstract Image

Abstract Image

Abstract Image

中室性肥厚性心肌病伴顶动脉瘤:多模态影像学病例报告。
中室性肥厚性心肌病是肥厚性心肌病中一个罕见的亚组,它可能表现为顶端动脉瘤。这种情况与心脏不良事件的风险增加有关,包括心脏骤停、心力衰竭、血栓栓塞事件或心源性猝死。我们提出的情况下,一个41岁的男子谁提出的历史,用力呼吸困难和晕厥。超声心动图和心脏磁共振多模态成像显示心室中段肥大并伴有顶端动脉瘤。植入可植入式心脏转复除颤器以防止心源性猝死。
本文章由计算机程序翻译,如有差异,请以英文原文为准。
求助全文
约1分钟内获得全文 求助全文
来源期刊
CiteScore
0.40
自引率
0.00%
发文量
0
审稿时长
4 weeks
×
引用
GB/T 7714-2015
复制
MLA
复制
APA
复制
导出至
BibTeX EndNote RefMan NoteFirst NoteExpress
×
提示
您的信息不完整,为了账户安全,请先补充。
现在去补充
×
提示
您因"违规操作"
具体请查看互助需知
我知道了
×
提示
确定
请完成安全验证×
copy
已复制链接
快去分享给好友吧!
我知道了
右上角分享
点击右上角分享
0
联系我们:info@booksci.cn Book学术提供免费学术资源搜索服务,方便国内外学者检索中英文文献。致力于提供最便捷和优质的服务体验。 Copyright © 2023 布克学术 All rights reserved.
京ICP备2023020795号-1
ghs 京公网安备 11010802042870号
Book学术文献互助
Book学术文献互助群
群 号:604180095
Book学术官方微信