[Double-chambered right ventricle in a patient with hypertrophic cardiomyopathy. A case report].

Juan María Iroulart, Joaquín Ferrero, Rocío Blanco, Roshan Licht, Ana Miceli, María Natalia Pellegrini, Diego Pérez de Arenaza, Rodolfo Pizarro
{"title":"[Double-chambered right ventricle in a patient with hypertrophic cardiomyopathy. A case report].","authors":"Juan María Iroulart, Joaquín Ferrero, Rocío Blanco, Roshan Licht, Ana Miceli, María Natalia Pellegrini, Diego Pérez de Arenaza, Rodolfo Pizarro","doi":"10.47487/apcyccv.v6i1.440","DOIUrl":null,"url":null,"abstract":"<p><p>We present the case of a 42-year-old male patient with a history of bilateral lung transplantation and chronic graft dysfunction. The patient presented to the adult emergency department due to acute heart failure. During his stay in the emergency room and in outpatient follow-up, cardiac multi-imaging led to the diagnosis of double-chambered right ventricle with associated hypertrophic cardiomyopathy. Given the presence of advanced lung disease and poor adherence to immunosuppressant medication as well as clinical follow-ups, the patient was deemed unsuitable for re-lung transplantation. The optimization of his immunosuppressive medication was prioritized, and beta-blockers were added as part of the treatment for dynamic right ventricular outflow obstruction. He was referred to pulmonary rehabilitation, currently showing a partially favorable evolution to functional class II.</p>","PeriodicalId":72295,"journal":{"name":"Archivos Peruanos de cardiologia y cirugia cardiovascular","volume":"6 1","pages":"49-53"},"PeriodicalIF":0.0000,"publicationDate":"2025-02-12","publicationTypes":"Journal Article","fieldsOfStudy":null,"isOpenAccess":false,"openAccessPdf":"https://www.ncbi.nlm.nih.gov/pmc/articles/PMC12076761/pdf/","citationCount":"0","resultStr":null,"platform":"Semanticscholar","paperid":null,"PeriodicalName":"Archivos Peruanos de cardiologia y cirugia cardiovascular","FirstCategoryId":"1085","ListUrlMain":"https://doi.org/10.47487/apcyccv.v6i1.440","RegionNum":0,"RegionCategory":null,"ArticlePicture":[],"TitleCN":null,"AbstractTextCN":null,"PMCID":null,"EPubDate":"2025/1/1 0:00:00","PubModel":"eCollection","JCR":"","JCRName":"","Score":null,"Total":0}
引用次数: 0

Abstract

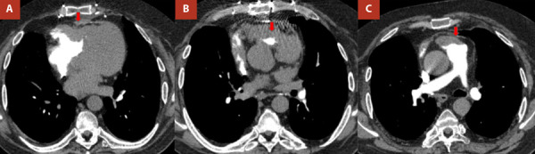
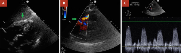
We present the case of a 42-year-old male patient with a history of bilateral lung transplantation and chronic graft dysfunction. The patient presented to the adult emergency department due to acute heart failure. During his stay in the emergency room and in outpatient follow-up, cardiac multi-imaging led to the diagnosis of double-chambered right ventricle with associated hypertrophic cardiomyopathy. Given the presence of advanced lung disease and poor adherence to immunosuppressant medication as well as clinical follow-ups, the patient was deemed unsuitable for re-lung transplantation. The optimization of his immunosuppressive medication was prioritized, and beta-blockers were added as part of the treatment for dynamic right ventricular outflow obstruction. He was referred to pulmonary rehabilitation, currently showing a partially favorable evolution to functional class II.

Abstract Image

Abstract Image

Abstract Image

肥厚性心肌病患者的双室右心室。[病例报告]。
我们提出一个42岁男性患者的历史,双侧肺移植和慢性移植物功能障碍。患者因急性心力衰竭被送到成人急诊科。在急诊室和门诊随访期间,心脏多重成像诊断为双室右心室合并肥厚性心肌病。考虑到晚期肺部疾病的存在,免疫抑制药物依从性差以及临床随访,认为患者不适合再次肺移植。优先优化其免疫抑制药物,并添加β受体阻滞剂作为动态右心室流出梗阻治疗的一部分。他被转介到肺部康复,目前显示部分有利的发展到功能II级。
本文章由计算机程序翻译,如有差异,请以英文原文为准。
求助全文
约1分钟内获得全文 求助全文
来源期刊
CiteScore
0.40
自引率
0.00%
发文量
0
审稿时长
4 weeks
×
引用
GB/T 7714-2015
复制
MLA
复制
APA
复制
导出至
BibTeX EndNote RefMan NoteFirst NoteExpress
×
提示
您的信息不完整,为了账户安全,请先补充。
现在去补充
×
提示
您因"违规操作"
具体请查看互助需知
我知道了
×
提示
确定
请完成安全验证×
copy
已复制链接
快去分享给好友吧!
我知道了
右上角分享
点击右上角分享
0
联系我们:info@booksci.cn Book学术提供免费学术资源搜索服务,方便国内外学者检索中英文文献。致力于提供最便捷和优质的服务体验。 Copyright © 2023 布克学术 All rights reserved.
京ICP备2023020795号-1
ghs 京公网安备 11010802042870号
Book学术文献互助
Book学术文献互助群
群 号:604180095
Book学术官方微信