Exceptional Response in a Patient with mRCC Through Precision-Guided Treatment Involving Immunotherapy Rechallenge with Temsirolimus and Bevacizumab.

IF 3.2 Q3 Medicine
Journal of Immunotherapy and Precision Oncology Pub Date : 2025-05-12 eCollection Date: 2025-05-01 DOI:10.36401/JIPO-25-3
Ashkan Adibi, Ünal Metin Tokat, Esranur Aydın, Eylül Özgü, Şevval Nur Bilgiç, Nalan Akgül Babacan, Onur Tutar, Razelle Kurzrock, Mutlu Demiray
{"title":"Exceptional Response in a Patient with mRCC Through Precision-Guided Treatment Involving Immunotherapy Rechallenge with Temsirolimus and Bevacizumab.","authors":"Ashkan Adibi, Ünal Metin Tokat, Esranur Aydın, Eylül Özgü, Şevval Nur Bilgiç, Nalan Akgül Babacan, Onur Tutar, Razelle Kurzrock, Mutlu Demiray","doi":"10.36401/JIPO-25-3","DOIUrl":null,"url":null,"abstract":"<p><p>Comprehensive genomic profiling (CGP) and the subsequent discussions in molecular tumor boards (MTBs) are becoming an integral part of personalized cancer care. The patient with metastatic renal cell carcinoma (mRCC) presented here demonstrated an absence of a favorable response accompanied by adverse events after receiving dual immunotherapy with nivolumab plus ipilimumab in combination with a poly (adenosine diphosphate-ribose) polymerase inhibitor, niraparib. This determination was made based on the initial CGP report and the initial MTB. Following the progression of the disease and the emergence of immune-related adverse events, a second CGP was conducted, and several subsequent MTBs were held. The decision was made to transition the patient's treatment to temsirolimus plus bevacizumab, with the rechallenge of immunotherapy with pembrolizumab. The response evaluation revealed a complete radiographic and molecular response. This case study underscores the mounting significance of precision oncology in the management of mRCC, thereby suggesting that mammalian target of rapamycin inhibitor may augment the efficacy of immunotherapy in select patients based on their genomic findings. A digital poster of this case is included in the supplemental materials.</p>","PeriodicalId":16081,"journal":{"name":"Journal of Immunotherapy and Precision Oncology","volume":"8 2","pages":"184-190"},"PeriodicalIF":3.2000,"publicationDate":"2025-05-12","publicationTypes":"Journal Article","fieldsOfStudy":null,"isOpenAccess":false,"openAccessPdf":"https://www.ncbi.nlm.nih.gov/pmc/articles/PMC12080210/pdf/","citationCount":"0","resultStr":null,"platform":"Semanticscholar","paperid":null,"PeriodicalName":"Journal of Immunotherapy and Precision Oncology","FirstCategoryId":"1085","ListUrlMain":"https://doi.org/10.36401/JIPO-25-3","RegionNum":0,"RegionCategory":null,"ArticlePicture":[],"TitleCN":null,"AbstractTextCN":null,"PMCID":null,"EPubDate":"2025/5/1 0:00:00","PubModel":"eCollection","JCR":"Q3","JCRName":"Medicine","Score":null,"Total":0}
引用次数: 0

Abstract

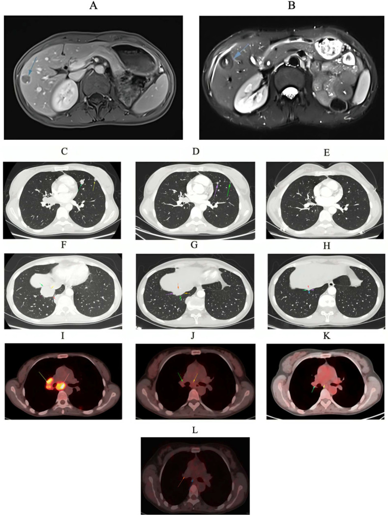
Comprehensive genomic profiling (CGP) and the subsequent discussions in molecular tumor boards (MTBs) are becoming an integral part of personalized cancer care. The patient with metastatic renal cell carcinoma (mRCC) presented here demonstrated an absence of a favorable response accompanied by adverse events after receiving dual immunotherapy with nivolumab plus ipilimumab in combination with a poly (adenosine diphosphate-ribose) polymerase inhibitor, niraparib. This determination was made based on the initial CGP report and the initial MTB. Following the progression of the disease and the emergence of immune-related adverse events, a second CGP was conducted, and several subsequent MTBs were held. The decision was made to transition the patient's treatment to temsirolimus plus bevacizumab, with the rechallenge of immunotherapy with pembrolizumab. The response evaluation revealed a complete radiographic and molecular response. This case study underscores the mounting significance of precision oncology in the management of mRCC, thereby suggesting that mammalian target of rapamycin inhibitor may augment the efficacy of immunotherapy in select patients based on their genomic findings. A digital poster of this case is included in the supplemental materials.

Abstract Image

Abstract Image

Abstract Image

一名mRCC患者通过使用替西莫司和贝伐单抗进行免疫治疗再挑战的精确引导治疗获得了特殊的应答。
综合基因组分析(CGP)和随后在分子肿瘤委员会(MTBs)上的讨论正在成为个性化癌症治疗的一个组成部分。转移性肾细胞癌(mRCC)患者在接受nivolumab + ipilimumab联合聚二磷酸腺苷核糖聚合酶抑制剂niraparib的双重免疫治疗后,没有出现良好的反应,并伴有不良事件。这一决定是根据最初的CGP报告和最初的MTB作出的。随着疾病的进展和免疫相关不良事件的出现,进行了第二次CGP,并随后举行了几次MTBs。决定将患者的治疗转变为替西莫司加贝伐单抗,并重新挑战派姆单抗的免疫治疗。反应评估显示完全的放射学和分子反应。该病例研究强调了精确肿瘤学在mRCC治疗中的日益重要的意义,从而表明雷帕霉素抑制剂的哺乳动物靶点可能会根据其基因组研究结果增强免疫治疗的效果。本案例的数字海报包含在补充材料中。
本文章由计算机程序翻译,如有差异,请以英文原文为准。
求助全文
约1分钟内获得全文 求助全文
来源期刊
CiteScore
2.40
自引率
0.00%
发文量
17
×
引用
GB/T 7714-2015
复制
MLA
复制
APA
复制
导出至
BibTeX EndNote RefMan NoteFirst NoteExpress
×
提示
您的信息不完整,为了账户安全,请先补充。
现在去补充
×
提示
您因"违规操作"
具体请查看互助需知
我知道了
×
提示
确定
请完成安全验证×
copy
已复制链接
快去分享给好友吧!
我知道了
右上角分享
点击右上角分享
0
联系我们:info@booksci.cn Book学术提供免费学术资源搜索服务,方便国内外学者检索中英文文献。致力于提供最便捷和优质的服务体验。 Copyright © 2023 布克学术 All rights reserved.
京ICP备2023020795号-1
ghs 京公网安备 11010802042870号
Book学术文献互助
Book学术文献互助群
群 号:604180095
Book学术官方微信