Primary Cardiac Lymphoma Presenting With Sick Sinus Syndrome and Atrial Flutter.

IF 1.4 Q3 CARDIAC & CARDIOVASCULAR SYSTEMS
Cardiology Research Pub Date : 2025-06-01 Epub Date: 2025-05-07 DOI:10.14740/cr2072
Tomo Komaki, Noriyuki Mohri, Akihito Ideishi, Takafumi Fujita, Kohei Tashiro, Tadaaki Arimura, Kanta Fujimi, Yuta Nakashima, Yasushi Takamatsu, Shin-Ichiro Miura, Masahiro Ogawa
{"title":"Primary Cardiac Lymphoma Presenting With Sick Sinus Syndrome and Atrial Flutter.","authors":"Tomo Komaki, Noriyuki Mohri, Akihito Ideishi, Takafumi Fujita, Kohei Tashiro, Tadaaki Arimura, Kanta Fujimi, Yuta Nakashima, Yasushi Takamatsu, Shin-Ichiro Miura, Masahiro Ogawa","doi":"10.14740/cr2072","DOIUrl":null,"url":null,"abstract":"<p><p>Primary cardiac lymphoma is a rare, often fatal malignancy that can cause disorders of conduction depending on tumor location. We report two cases with sick sinus syndrome and atrial flutter secondary to primary cardiac lymphoma originating from the right atrium. One case required pacemaker implantation in the chronic phase after complete remission of lymphoma, and the other case in the acute phase when cardiac mass occupied the right atrium. Depending on the disease activity of lymphoma including its size, growth rate, and degree of invasion, the clinical course of sinus node dysfunction varies between each patient. In patients with conduction disorders, we suggest that long-term cardiac monitoring is necessary not only at onset but also after complete remission of lymphoma.</p>","PeriodicalId":9424,"journal":{"name":"Cardiology Research","volume":"16 3","pages":"289-294"},"PeriodicalIF":1.4000,"publicationDate":"2025-06-01","publicationTypes":"Journal Article","fieldsOfStudy":null,"isOpenAccess":false,"openAccessPdf":"https://www.ncbi.nlm.nih.gov/pmc/articles/PMC12074686/pdf/","citationCount":"0","resultStr":null,"platform":"Semanticscholar","paperid":null,"PeriodicalName":"Cardiology Research","FirstCategoryId":"1085","ListUrlMain":"https://doi.org/10.14740/cr2072","RegionNum":0,"RegionCategory":null,"ArticlePicture":[],"TitleCN":null,"AbstractTextCN":null,"PMCID":null,"EPubDate":"2025/5/7 0:00:00","PubModel":"Epub","JCR":"Q3","JCRName":"CARDIAC & CARDIOVASCULAR SYSTEMS","Score":null,"Total":0}
引用次数: 0

Abstract

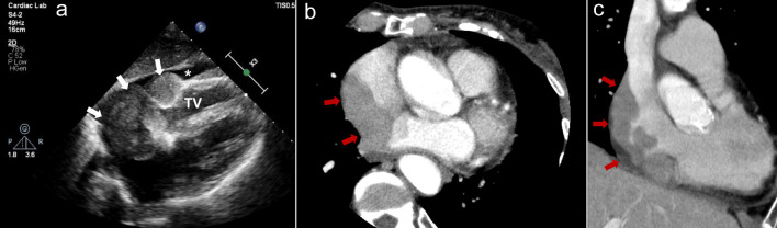
Primary cardiac lymphoma is a rare, often fatal malignancy that can cause disorders of conduction depending on tumor location. We report two cases with sick sinus syndrome and atrial flutter secondary to primary cardiac lymphoma originating from the right atrium. One case required pacemaker implantation in the chronic phase after complete remission of lymphoma, and the other case in the acute phase when cardiac mass occupied the right atrium. Depending on the disease activity of lymphoma including its size, growth rate, and degree of invasion, the clinical course of sinus node dysfunction varies between each patient. In patients with conduction disorders, we suggest that long-term cardiac monitoring is necessary not only at onset but also after complete remission of lymphoma.

Abstract Image

Abstract Image

Abstract Image

原发性心脏淋巴瘤表现为病态窦性综合征和心房扑动。
原发性心脏淋巴瘤是一种罕见的,往往是致命的恶性肿瘤,可引起传导障碍取决于肿瘤的位置。我们报告两例病窦综合征和心房扑动继发于原发性心脏淋巴瘤起源于右心房。一例在淋巴瘤完全缓解后的慢性期需要植入起搏器,另一例在心脏肿块占据右心房的急性期需要植入起搏器。根据淋巴瘤的疾病活动性,包括其大小、生长速度和侵袭程度,每个患者的窦结功能障碍的临床病程各不相同。对于有传导障碍的患者,我们建议不仅在发病时,而且在淋巴瘤完全缓解后,长期心脏监测都是必要的。
本文章由计算机程序翻译,如有差异,请以英文原文为准。
求助全文
约1分钟内获得全文 求助全文
来源期刊
Cardiology Research
Cardiology Research CARDIAC & CARDIOVASCULAR SYSTEMS-
CiteScore
2.50
自引率
0.00%
发文量
42
期刊介绍: Cardiology Research is an open access, peer-reviewed, international journal. All submissions relating to basic research and clinical practice of cardiology and cardiovascular medicine are in this journal''s scope. This journal focuses on publishing original research and observations in all cardiovascular medicine aspects. Manuscript types include original article, review, case report, short communication, book review, letter to the editor.
×
引用
GB/T 7714-2015
复制
MLA
复制
APA
复制
导出至
BibTeX EndNote RefMan NoteFirst NoteExpress
×
提示
您的信息不完整,为了账户安全,请先补充。
现在去补充
×
提示
您因"违规操作"
具体请查看互助需知
我知道了
×
提示
确定
请完成安全验证×
copy
已复制链接
快去分享给好友吧!
我知道了
右上角分享
点击右上角分享
0
联系我们:info@booksci.cn Book学术提供免费学术资源搜索服务,方便国内外学者检索中英文文献。致力于提供最便捷和优质的服务体验。 Copyright © 2023 布克学术 All rights reserved.
京ICP备2023020795号-1
ghs 京公网安备 11010802042870号
Book学术文献互助
Book学术文献互助群
群 号:604180095
Book学术官方微信