Bursitis in the nonarticular part of the mandible in atopic dermatitis.

IF 1.8 Q3 DENTISTRY, ORAL SURGERY & MEDICINE
Natsumi Miyata, Toshihiko Hayashi, Joji Hayashi, Takuya Nishio, Sayaka Yuzawa, Naoko Aoki, Takeshi Yamao
{"title":"Bursitis in the nonarticular part of the mandible in atopic dermatitis.","authors":"Natsumi Miyata, Toshihiko Hayashi, Joji Hayashi, Takuya Nishio, Sayaka Yuzawa, Naoko Aoki, Takeshi Yamao","doi":"10.1007/s10006-025-01384-w","DOIUrl":null,"url":null,"abstract":"<p><p>The most common sites of bursitis are articulations, such as the elbows and knees; it rarely occurs in the head and neck or in non-articulation sites. A report of bursitis in the anterior tibial region, a nonarticulation site, during a flare-up of atopic dermatitis (AD) led us to suggest an association between atopic dermatitis and bursitis. We report the case of a 42-year-old man with severe AD and rare bursitis of the mandible, a nonarticulation site. He underwent several resections of his bursitis but repeatedly recurred. We treated him simultaneously with surgical treatment of his bursitis and treatment of his AD, and he recovered completely without recurrence. No previous reports of bursitis occurring at the same site have been reported. The cause of bursitis may be chronic irritation due to atopic dermatitis. It is speculated that bursitis and AD are related, and bursitis can occur at the site of AD, and complete cure can be expected by treating both simultaneously.</p>","PeriodicalId":47251,"journal":{"name":"Oral and Maxillofacial Surgery-Heidelberg","volume":"29 1","pages":"87"},"PeriodicalIF":1.8000,"publicationDate":"2025-04-21","publicationTypes":"Journal Article","fieldsOfStudy":null,"isOpenAccess":false,"openAccessPdf":"https://www.ncbi.nlm.nih.gov/pmc/articles/PMC12009776/pdf/","citationCount":"0","resultStr":null,"platform":"Semanticscholar","paperid":null,"PeriodicalName":"Oral and Maxillofacial Surgery-Heidelberg","FirstCategoryId":"1085","ListUrlMain":"https://doi.org/10.1007/s10006-025-01384-w","RegionNum":0,"RegionCategory":null,"ArticlePicture":[],"TitleCN":null,"AbstractTextCN":null,"PMCID":null,"EPubDate":"","PubModel":"","JCR":"Q3","JCRName":"DENTISTRY, ORAL SURGERY & MEDICINE","Score":null,"Total":0}
引用次数: 0

Abstract

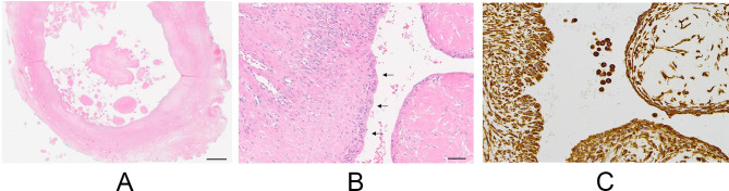
The most common sites of bursitis are articulations, such as the elbows and knees; it rarely occurs in the head and neck or in non-articulation sites. A report of bursitis in the anterior tibial region, a nonarticulation site, during a flare-up of atopic dermatitis (AD) led us to suggest an association between atopic dermatitis and bursitis. We report the case of a 42-year-old man with severe AD and rare bursitis of the mandible, a nonarticulation site. He underwent several resections of his bursitis but repeatedly recurred. We treated him simultaneously with surgical treatment of his bursitis and treatment of his AD, and he recovered completely without recurrence. No previous reports of bursitis occurring at the same site have been reported. The cause of bursitis may be chronic irritation due to atopic dermatitis. It is speculated that bursitis and AD are related, and bursitis can occur at the site of AD, and complete cure can be expected by treating both simultaneously.

Abstract Image

Abstract Image

Abstract Image

特应性皮炎中下颌骨非关节部分的滑囊炎。
滑囊炎最常见的部位是关节,如肘部和膝盖;它很少发生在头颈部或非关节部位。在特应性皮炎(AD)发作期间,一个非关节部位的胫骨前区滑囊炎的报告使我们提出特应性皮炎和滑囊炎之间的关联。我们报告的情况下,一个42岁的男子严重的阿尔茨海默病和罕见的滑囊炎下颌骨,一个非关节部位。他接受了多次囊炎切除术,但反复复发。我们同时对他进行滑囊炎的手术治疗和AD的治疗,他完全康复,没有复发。以前没有在同一部位发生滑囊炎的报道。滑囊炎的原因可能是由特应性皮炎引起的慢性刺激。推测滑囊炎与AD相关,且滑囊炎可发生在AD部位,同时治疗可完全治愈。
本文章由计算机程序翻译,如有差异,请以英文原文为准。
求助全文
约1分钟内获得全文 求助全文
来源期刊
Oral and Maxillofacial Surgery-Heidelberg
Oral and Maxillofacial Surgery-Heidelberg DENTISTRY, ORAL SURGERY & MEDICINE-
CiteScore
3.20
自引率
5.60%
发文量
118
期刊介绍: Oral & Maxillofacial Surgery founded as Mund-, Kiefer- und Gesichtschirurgie is a peer-reviewed online journal. It is designed for clinicians as well as researchers.The quarterly journal offers comprehensive coverage of new techniques, important developments and innovative ideas in oral and maxillofacial surgery and interdisciplinary aspects of cranial, facial and oral diseases and their management. The journal publishes papers of the highest scientific merit and widest possible scope on work in oral and maxillofacial surgery as well as supporting specialties. Practice-oriented articles help improve the methods used in oral and maxillofacial surgery.Every aspect of oral and maxillofacial surgery is fully covered through a range of invited review articles, clinical and research articles, technical notes, abstracts, and case reports. Specific topics are: aesthetic facial surgery, clinical pathology, computer-assisted surgery, congenital and craniofacial deformities, dentoalveolar surgery, head and neck oncology, implant dentistry, oral medicine, orthognathic surgery, reconstructive surgery, skull base surgery, TMJ and trauma.Time-limited reviewing and electronic processing allow to publish articles as fast as possible. Accepted articles are rapidly accessible online.Clinical studies submitted for publication have to include a declaration that they have been approved by an ethical committee according to the World Medical Association Declaration of Helsinki 1964 (last amendment during the 52nd World Medical Association General Assembly, Edinburgh, Scotland, October 2000). Experimental animal studies have to be carried out according to the principles of laboratory animal care (NIH publication No 86-23, revised 1985).
×
引用
GB/T 7714-2015
复制
MLA
复制
APA
复制
导出至
BibTeX EndNote RefMan NoteFirst NoteExpress
×
提示
您的信息不完整,为了账户安全,请先补充。
现在去补充
×
提示
您因"违规操作"
具体请查看互助需知
我知道了
×
提示
确定
请完成安全验证×
copy
已复制链接
快去分享给好友吧!
我知道了
右上角分享
点击右上角分享
0
联系我们:info@booksci.cn Book学术提供免费学术资源搜索服务,方便国内外学者检索中英文文献。致力于提供最便捷和优质的服务体验。 Copyright © 2023 布克学术 All rights reserved.
京ICP备2023020795号-1
ghs 京公网安备 11010802042870号
Book学术文献互助
Book学术文献互助群
群 号:604180095
Book学术官方微信