Evaluation of the effects of rosmarinic acid on red blood cell deformability, morphology, and nitric oxide in rat lower limb skeletal muscle ischemia-reperfusion injury.

IF 1
Celalettin Günay, Hakan Kartal, Ertan Demirbaş, Bilgehan Savaş Öz, Şahin Kaymak, Faruk Metin Çomu, Gökhan Erol, Gökhan Arslan, Tayfun Özdem, Tuna Demirkıran, Muharrem Emre Özdaş, Işıl Taşöz Özdaş, Yiğit Tokgöz, Veli Can Özdemir
{"title":"Evaluation of the effects of rosmarinic acid on red blood cell deformability, morphology, and nitric oxide in rat lower limb skeletal muscle ischemia-reperfusion injury.","authors":"Celalettin Günay, Hakan Kartal, Ertan Demirbaş, Bilgehan Savaş Öz, Şahin Kaymak, Faruk Metin Çomu, Gökhan Erol, Gökhan Arslan, Tayfun Özdem, Tuna Demirkıran, Muharrem Emre Özdaş, Işıl Taşöz Özdaş, Yiğit Tokgöz, Veli Can Özdemir","doi":"10.14744/tjtes.2025.25590","DOIUrl":null,"url":null,"abstract":"<p><strong>Background: </strong>Erythrocyte deformability, the ability of red blood cells to bend and twist as they pass through capillaries, is es-sential for tissue perfusion. This study investigates the effects and underlying mechanisms of rosmarinic acid treatment on erythrocyte deformability in rats subjected to lower limb ischemia-reperfusion injury.</p><p><strong>Methods: </strong>The study was conducted on Wistar albino rats weighing 400-450 g. The rats were randomly divided into five groups: the control group with no treatment (C), the group receiving only the solvent dimethyl sulfoxide (DMSO), the ischemia-reperfusion group (IR) subjected to 90 minutes of ischemia followed by 90 minutes of reperfusion in the femoral artery of the lower limb, the rosmarinic acid control group (RA-C) to assess the effects of rosmarinic acid alone, and the group (IR+RA) in which rosmarinic acid was administered intraperitoneally one hour before the ischemia-reperfusion procedure. At the end of the experiment, intracardiac blood samples were collected. Analyses included May-Grünwald-Giemsa (MGG) staining, measurement of endothelial nitric oxide synthase (eNOS), erythrocyte deformability indexes, malondialdehyde (MDA), and superoxide dismutase (SOD) levels.</p><p><strong>Results: </strong>Significant findings were observed in the study. Erythrocyte deformability was statistically significantly improved in the group that received rosmarinic acid prior to ischemia-reperfusion compared to the group that underwent ischemia-reperfusion alone. Morphological changes of erythrocytes were also significantly better in the IR+RA group than in the IR group. Immunohistochemical analysis of eNOS staining revealed that eNOS activity was higher in the IR group compared to the IR+RA group. Malondialdehyde (MDA) levels were significantly elevated in the IR group compared to all other groups. Analysis of superoxide dismutase levels showed that the SOD levels in the IR+RA group were significantly higher than those in the other groups.</p><p><strong>Conclusion: </strong>Our findings indicate that rosmarinic acid treatment administered prior to ischemia provides protective effects against erythrocyte deformation and morphological deterioration. It is suggested that the improvement in deformability may be mediated by increased SOD activity, which reduces reactive oxygen anions, by-products of nitric oxide (NO) production, thereby exerting an antioxidant effect and enhancing the beneficial actions of NO.</p>","PeriodicalId":94263,"journal":{"name":"Ulusal travma ve acil cerrahi dergisi = Turkish journal of trauma & emergency surgery : TJTES","volume":"31 4","pages":"324-331"},"PeriodicalIF":1.0000,"publicationDate":"2025-04-01","publicationTypes":"Journal Article","fieldsOfStudy":null,"isOpenAccess":false,"openAccessPdf":"https://www.ncbi.nlm.nih.gov/pmc/articles/PMC12000976/pdf/","citationCount":"0","resultStr":null,"platform":"Semanticscholar","paperid":null,"PeriodicalName":"Ulusal travma ve acil cerrahi dergisi = Turkish journal of trauma & emergency surgery : TJTES","FirstCategoryId":"1085","ListUrlMain":"https://doi.org/10.14744/tjtes.2025.25590","RegionNum":0,"RegionCategory":null,"ArticlePicture":[],"TitleCN":null,"AbstractTextCN":null,"PMCID":null,"EPubDate":"","PubModel":"","JCR":"","JCRName":"","Score":null,"Total":0}
引用次数: 0

Abstract

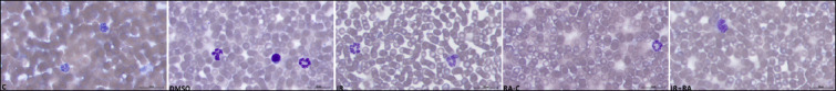
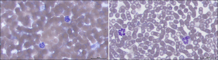
Background: Erythrocyte deformability, the ability of red blood cells to bend and twist as they pass through capillaries, is es-sential for tissue perfusion. This study investigates the effects and underlying mechanisms of rosmarinic acid treatment on erythrocyte deformability in rats subjected to lower limb ischemia-reperfusion injury.

Methods: The study was conducted on Wistar albino rats weighing 400-450 g. The rats were randomly divided into five groups: the control group with no treatment (C), the group receiving only the solvent dimethyl sulfoxide (DMSO), the ischemia-reperfusion group (IR) subjected to 90 minutes of ischemia followed by 90 minutes of reperfusion in the femoral artery of the lower limb, the rosmarinic acid control group (RA-C) to assess the effects of rosmarinic acid alone, and the group (IR+RA) in which rosmarinic acid was administered intraperitoneally one hour before the ischemia-reperfusion procedure. At the end of the experiment, intracardiac blood samples were collected. Analyses included May-Grünwald-Giemsa (MGG) staining, measurement of endothelial nitric oxide synthase (eNOS), erythrocyte deformability indexes, malondialdehyde (MDA), and superoxide dismutase (SOD) levels.

Results: Significant findings were observed in the study. Erythrocyte deformability was statistically significantly improved in the group that received rosmarinic acid prior to ischemia-reperfusion compared to the group that underwent ischemia-reperfusion alone. Morphological changes of erythrocytes were also significantly better in the IR+RA group than in the IR group. Immunohistochemical analysis of eNOS staining revealed that eNOS activity was higher in the IR group compared to the IR+RA group. Malondialdehyde (MDA) levels were significantly elevated in the IR group compared to all other groups. Analysis of superoxide dismutase levels showed that the SOD levels in the IR+RA group were significantly higher than those in the other groups.

Conclusion: Our findings indicate that rosmarinic acid treatment administered prior to ischemia provides protective effects against erythrocyte deformation and morphological deterioration. It is suggested that the improvement in deformability may be mediated by increased SOD activity, which reduces reactive oxygen anions, by-products of nitric oxide (NO) production, thereby exerting an antioxidant effect and enhancing the beneficial actions of NO.

Abstract Image

Abstract Image

Abstract Image

迷迭香酸对大鼠下肢骨骼肌缺血再灌注损伤红细胞变形性、形态及一氧化氮影响的研究。
背景:红细胞变形能力,即红细胞在通过毛细血管时弯曲和扭曲的能力,对组织灌注至关重要。本研究探讨迷迭香酸对大鼠下肢缺血再灌注损伤后红细胞变形能力的影响及其机制。方法:以体重400 ~ 450 g的Wistar白化大鼠为实验对象。将大鼠随机分为五组:对照组(C),仅给予溶剂二甲基亚砜(DMSO)的组,缺血再灌注组(IR),在下肢股动脉缺血90分钟后再灌注90分钟,迷迭香酸对照组(RA-C)评估迷迭香酸单独使用的效果,以及迷迭香酸在缺血再灌注前1小时腹腔注射组(IR+RA)。实验结束时,采集心内血液样本。分析包括may - gr nwald- giemsa (MGG)染色、内皮一氧化氮合酶(eNOS)、红细胞变形性指数、丙二醛(MDA)和超氧化物歧化酶(SOD)水平的测定。结果:本研究有显著的发现。缺血再灌注前给予迷迭香酸组与单独缺血再灌注组相比,红细胞变形能力有统计学意义上的改善。IR+RA组红细胞形态变化明显优于IR组。免疫组化分析eNOS染色显示,IR组eNOS活性高于IR+RA组。与所有其他组相比,IR组丙二醛(MDA)水平显著升高。超氧化物歧化酶水平分析显示,IR+RA组SOD水平明显高于其他组。结论:迷迭香酸在缺血前对红细胞变形和形态恶化具有保护作用。提示变形能力的改善可能是通过提高SOD活性,减少一氧化氮(NO)生成副产物活性氧阴离子,从而发挥抗氧化作用,增强NO的有益作用。
本文章由计算机程序翻译,如有差异,请以英文原文为准。
求助全文
约1分钟内获得全文 求助全文
来源期刊
自引率
0.00%
发文量
0
×
引用
GB/T 7714-2015
复制
MLA
复制
APA
复制
导出至
BibTeX EndNote RefMan NoteFirst NoteExpress
×
提示
您的信息不完整,为了账户安全,请先补充。
现在去补充
×
提示
您因"违规操作"
具体请查看互助需知
我知道了
×
提示
确定
请完成安全验证×
copy
已复制链接
快去分享给好友吧!
我知道了
右上角分享
点击右上角分享
0
联系我们:info@booksci.cn Book学术提供免费学术资源搜索服务,方便国内外学者检索中英文文献。致力于提供最便捷和优质的服务体验。 Copyright © 2023 布克学术 All rights reserved.
京ICP备2023020795号-1
ghs 京公网安备 11010802042870号
Book学术文献互助
Book学术文献互助群
群 号:604180095
Book学术官方微信