Effect of N-acetylcysteine on fracture healing in rat femoral diaphysis: A histopathological, radiological, and biomechanical analysis.

IF 1.9 Q2 ORTHOPEDICS
Burak Yildirim, Cemil Erturk, Halil Buyukdogan, Tahir Burak Saritas, Nilsen Yildirim Erdogan, Fatih Ertem
{"title":"Effect of N-acetylcysteine on fracture healing in rat femoral diaphysis: A histopathological, radiological, and biomechanical analysis.","authors":"Burak Yildirim, Cemil Erturk, Halil Buyukdogan, Tahir Burak Saritas, Nilsen Yildirim Erdogan, Fatih Ertem","doi":"10.52312/jdrs.2025.1975","DOIUrl":null,"url":null,"abstract":"<p><strong>Objectives: </strong>The aim of this study was to examine the effect of N-acetylcysteine (NAC), which has antioxidant properties, on healing in a rat femoral diaphysis fracture model.</p><p><strong>Materials and methods: </strong>Twenty-four male Wistar-Hannover rats were randomly divided into two groups: experimental (n=12) and control groups (n=12). An open femur fracture model (osteotomy) was applied to the right femora of both groups. Fixation was performed with Kirschner wire. While intraperitoneal NAC treatment was given to the experimental group for 21 days after surgery, an equal volume of intraperitoneal saline injection was administered to the control group. At the end of this period, the femurs obtained from the sacrificed animals were examined histopathologically, radiologically, and biomechanically. Huo scoring was used for histopathological examination. The samples were examined radiologically according to the Radiographic Union Scale in Tibial Fractures (RUST) scoring system. The three-point bending test was used for the biomechanical examination.</p><p><strong>Results: </strong>According to the third-week results, NAC could histopathologically contribute positively to fracture healing in rats (p=0.003 and p<0.05, respectively). Considering radiological and biomechanical parameters, no significant difference was observed between the groups in terms of healing (p>0.05). However, a positive significant correlation (67.7%) was found between histopathological results and radiological findings (p=0.016 and p<0.05, respectively).</p><p><strong>Conclusion: </strong>Our study results indicate that NAC may have a histopathologically positive effect on the healing process in rat traumatic fractures. Based on these findings, NAC preparations may be used as a supportive agent in the treatment of fractures. Further clinical studies are needed.</p>","PeriodicalId":73560,"journal":{"name":"Joint diseases and related surgery","volume":"36 2","pages":"283-292"},"PeriodicalIF":1.9000,"publicationDate":"2025-01-13","publicationTypes":"Journal Article","fieldsOfStudy":null,"isOpenAccess":false,"openAccessPdf":"https://www.ncbi.nlm.nih.gov/pmc/articles/PMC12086479/pdf/","citationCount":"0","resultStr":null,"platform":"Semanticscholar","paperid":null,"PeriodicalName":"Joint diseases and related surgery","FirstCategoryId":"1085","ListUrlMain":"https://doi.org/10.52312/jdrs.2025.1975","RegionNum":0,"RegionCategory":null,"ArticlePicture":[],"TitleCN":null,"AbstractTextCN":null,"PMCID":null,"EPubDate":"","PubModel":"","JCR":"Q2","JCRName":"ORTHOPEDICS","Score":null,"Total":0}
引用次数: 0

Abstract

Objectives: The aim of this study was to examine the effect of N-acetylcysteine (NAC), which has antioxidant properties, on healing in a rat femoral diaphysis fracture model.

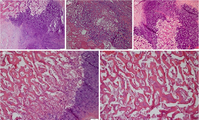
Materials and methods: Twenty-four male Wistar-Hannover rats were randomly divided into two groups: experimental (n=12) and control groups (n=12). An open femur fracture model (osteotomy) was applied to the right femora of both groups. Fixation was performed with Kirschner wire. While intraperitoneal NAC treatment was given to the experimental group for 21 days after surgery, an equal volume of intraperitoneal saline injection was administered to the control group. At the end of this period, the femurs obtained from the sacrificed animals were examined histopathologically, radiologically, and biomechanically. Huo scoring was used for histopathological examination. The samples were examined radiologically according to the Radiographic Union Scale in Tibial Fractures (RUST) scoring system. The three-point bending test was used for the biomechanical examination.

Results: According to the third-week results, NAC could histopathologically contribute positively to fracture healing in rats (p=0.003 and p<0.05, respectively). Considering radiological and biomechanical parameters, no significant difference was observed between the groups in terms of healing (p>0.05). However, a positive significant correlation (67.7%) was found between histopathological results and radiological findings (p=0.016 and p<0.05, respectively).

Conclusion: Our study results indicate that NAC may have a histopathologically positive effect on the healing process in rat traumatic fractures. Based on these findings, NAC preparations may be used as a supportive agent in the treatment of fractures. Further clinical studies are needed.

Abstract Image

Abstract Image

Abstract Image

n -乙酰半胱氨酸对大鼠股骨干骨折愈合的影响:组织病理学、放射学和生物力学分析。
目的:研究具有抗氧化作用的n -乙酰半胱氨酸(NAC)对大鼠股骨干骨折模型愈合的影响。材料与方法:24只雄性Wistar-Hannover大鼠随机分为实验组(n=12)和对照组(n=12)。两组右股骨均采用开放性股骨骨折模型(截骨)。用克氏针固定。实验组术后给予腹腔内NAC治疗21 d,对照组给予等量腹腔内生理盐水注射。在这段时间结束时,从牺牲的动物身上获得的股骨进行了组织病理学、放射学和生物力学检查。采用霍氏评分法进行组织病理学检查。根据胫骨骨折放射愈合量表(RUST)评分系统对样本进行放射学检查。采用三点弯曲试验进行生物力学检查。结果:根据第三周的结果,NAC对大鼠骨折愈合有积极的组织病理学作用(p=0.003和p0.05)。然而,组织病理学结果与放射学结果呈正相关(67.7%)(p=0.016和p)。结论:我们的研究结果表明,NAC可能对大鼠创伤性骨折的愈合过程具有组织病理学上的积极作用。基于这些发现,NAC制剂可作为骨折治疗的支持剂。需要进一步的临床研究。
本文章由计算机程序翻译,如有差异,请以英文原文为准。
求助全文
约1分钟内获得全文 求助全文
来源期刊
CiteScore
2.50
自引率
0.00%
发文量
0
×
引用
GB/T 7714-2015
复制
MLA
复制
APA
复制
导出至
BibTeX EndNote RefMan NoteFirst NoteExpress
×
提示
您的信息不完整,为了账户安全,请先补充。
现在去补充
×
提示
您因"违规操作"
具体请查看互助需知
我知道了
×
提示
确定
请完成安全验证×
copy
已复制链接
快去分享给好友吧!
我知道了
右上角分享
点击右上角分享
0
联系我们:info@booksci.cn Book学术提供免费学术资源搜索服务,方便国内外学者检索中英文文献。致力于提供最便捷和优质的服务体验。 Copyright © 2023 布克学术 All rights reserved.
京ICP备2023020795号-1
ghs 京公网安备 11010802042870号
Book学术文献互助
Book学术文献互助群
群 号:604180095
Book学术官方微信