Unilateral embolization of an arterio-cavernous fistula in the treatment of post-traumatic non-ischemic-priapism: permanent coiling after immediate temporary agent failure.

IF 1.5 Q3 CARDIAC & CARDIOVASCULAR SYSTEMS
Carolina Dominguez Aleixo, Christoph Erxleben, Emre Baysal, Fabiola Leibling, Maximilian de Bucourt, Bernhard Gebauer, Julian Lenk
{"title":"Unilateral embolization of an arterio-cavernous fistula in the treatment of post-traumatic non-ischemic-priapism: permanent coiling after immediate temporary agent failure.","authors":"Carolina Dominguez Aleixo, Christoph Erxleben, Emre Baysal, Fabiola Leibling, Maximilian de Bucourt, Bernhard Gebauer, Julian Lenk","doi":"10.1186/s42155-025-00547-w","DOIUrl":null,"url":null,"abstract":"<p><p>A healthy 24-year-old male patient presented with a history of straddle-trauma from a bicycle accident and concomitant non-ischemic-priapism lasting for ten days. On a contrast-enhanced computed tomography scan an arterio-cavernous fistula establishing a connection between the right cavernosal artery and the ipsilateral corpus cavernosum was diagnosed. Super-selective unilateral arterial embolization was performed using gelatin sponge and microcoils. Technical success became evident with the consecutive detumescence of the penis and long-term preservation of baseline urogenital functions.</p>","PeriodicalId":52351,"journal":{"name":"CVIR Endovascular","volume":"8 1","pages":"34"},"PeriodicalIF":1.5000,"publicationDate":"2025-04-24","publicationTypes":"Journal Article","fieldsOfStudy":null,"isOpenAccess":false,"openAccessPdf":"https://www.ncbi.nlm.nih.gov/pmc/articles/PMC12018654/pdf/","citationCount":"0","resultStr":null,"platform":"Semanticscholar","paperid":null,"PeriodicalName":"CVIR Endovascular","FirstCategoryId":"1085","ListUrlMain":"https://doi.org/10.1186/s42155-025-00547-w","RegionNum":0,"RegionCategory":null,"ArticlePicture":[],"TitleCN":null,"AbstractTextCN":null,"PMCID":null,"EPubDate":"","PubModel":"","JCR":"Q3","JCRName":"CARDIAC & CARDIOVASCULAR SYSTEMS","Score":null,"Total":0}
引用次数: 0

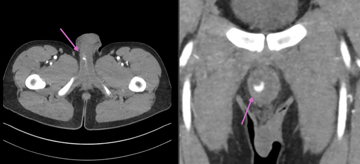
Abstract

A healthy 24-year-old male patient presented with a history of straddle-trauma from a bicycle accident and concomitant non-ischemic-priapism lasting for ten days. On a contrast-enhanced computed tomography scan an arterio-cavernous fistula establishing a connection between the right cavernosal artery and the ipsilateral corpus cavernosum was diagnosed. Super-selective unilateral arterial embolization was performed using gelatin sponge and microcoils. Technical success became evident with the consecutive detumescence of the penis and long-term preservation of baseline urogenital functions.

Abstract Image

Abstract Image

Abstract Image

单侧动脉海绵瘘栓塞治疗创伤后非缺血性阴茎勃起:即刻暂时性药物失效后永久盘绕。
一位24岁的健康男性患者,有自行车事故造成的跨骑创伤史,并伴有持续10天的非缺血性阴茎勃起。在对比增强的计算机断层扫描上,诊断出动脉-海绵体瘘,建立了右海绵体动脉和同侧海绵体之间的连接。采用明胶海绵和微线圈对单侧动脉进行超选择性栓塞。技术上的成功是显而易见的,阴茎的连续消肿和长期保存基线泌尿生殖功能。
本文章由计算机程序翻译,如有差异,请以英文原文为准。
求助全文
约1分钟内获得全文 求助全文
来源期刊
CVIR Endovascular
CVIR Endovascular Medicine-Radiology, Nuclear Medicine and Imaging
CiteScore
2.30
自引率
0.00%
发文量
59
×
引用
GB/T 7714-2015
复制
MLA
复制
APA
复制
导出至
BibTeX EndNote RefMan NoteFirst NoteExpress
×
提示
您的信息不完整,为了账户安全,请先补充。
现在去补充
×
提示
您因"违规操作"
具体请查看互助需知
我知道了
×
提示
确定
请完成安全验证×
copy
已复制链接
快去分享给好友吧!
我知道了
右上角分享
点击右上角分享
0
联系我们:info@booksci.cn Book学术提供免费学术资源搜索服务,方便国内外学者检索中英文文献。致力于提供最便捷和优质的服务体验。 Copyright © 2023 布克学术 All rights reserved.
京ICP备2023020795号-1
ghs 京公网安备 11010802042870号
Book学术文献互助
Book学术文献互助群
群 号:604180095
Book学术官方微信