Evaluation of the relations between foot & ankle pathologies and anatomic variations with magnetic resonance imaging of 849 study population.

IF 1.9 Q2 ORTHOPEDICS
Kaan Pota, Celal Çağrı Baysal, Osman Civan, Mustafa Ürgüden
{"title":"Evaluation of the relations between foot & ankle pathologies and anatomic variations with magnetic resonance imaging of 849 study population.","authors":"Kaan Pota, Celal Çağrı Baysal, Osman Civan, Mustafa Ürgüden","doi":"10.52312/jdrs.2025.2146","DOIUrl":null,"url":null,"abstract":"<p><strong>Objectives: </strong>The aim of the study was to evaluate the relationships between common pathologies and anatomical variations in the foot & ankle using magnetic resonance imaging (MRI).</p><p><strong>Patients and methods: </strong>Between January 2016 and December 2020, a total of 849 ankle MRIs (427 right foot, 422 left foot) in 738 patients (274 males, 464 females; mean age: 43.4±14.3 years; range, 15 to 70 years) were retrospectively analyzed. Among ankle pathologies, peroneal and flexor hallucis longus (FHL) tendinopathies were evaluated. Among the anatomical variations, retromalleolar fibular groove (RMFG) shape, os peroneum, os trigonum, peroneus quartus (PQ), flexor digitorum accessorius longus (FDAL), low-lying peroneus brevis (PB) and FHL muscles were examined. The distance of the PB and FHL musculotendinous junctions (MTJs) from designated reference points was measured. Cut-off values for PB and FHL musculotendinous junction distances were determined by receiver operating characteristic (ROC) analysis. For the reliability analysis of measurements performed by two researchers, intraclass correlation coefficient (ICC) values were calculated.</p><p><strong>Results: </strong>Bilateral ankle MRIs of 111 patients were evaluated. The PB, PL, and FHL tenosynovitis were observed in 29.6%, 34.9%, and 38.8% of all ankles, respectively. The PB and PL tendon tears were found in 12.2% and 3.9%, respectively. A total of 47.1% of the RMFG shapes were concave, 36.7% were flat, 12.4% were convex, and 3.8% were irregular. The PQ, FDAL, os peroneum, and os trigonum were detected in 13.8%, 3.1%, 16.6%, and 20.5% of the ankles, respectively. The cut-off value of PB MTJ distance that would cause a PB tendon tear was 4.40 mm distal from reference point. The cut-off value of FHL MTJ distance that would cause FHL tendinopathy was 4.15 mm distal from reference point. The study had a statistically significantly high level of consistency between the experts (ICC=0.85).</p><p><strong>Conclusion: </strong>The convex and irregular shapes of the RMFG, along with the anatomical variations of the os peroneum and low-lying PB muscle, constitute risk factors for peroneal tendon pathologies. The presence of the os trigonum and low-lying FHL muscle anatomical variations predispose individuals to FHL tendinopathies. The cut-off values that could lead to PB vertical tears and FHL tendinopathy were identified for the low-lying PB and FHL muscles, respectively.</p>","PeriodicalId":73560,"journal":{"name":"Joint diseases and related surgery","volume":"36 2","pages":"394-407"},"PeriodicalIF":1.9000,"publicationDate":"2025-04-09","publicationTypes":"Journal Article","fieldsOfStudy":null,"isOpenAccess":false,"openAccessPdf":"https://www.ncbi.nlm.nih.gov/pmc/articles/PMC12086489/pdf/","citationCount":"0","resultStr":null,"platform":"Semanticscholar","paperid":null,"PeriodicalName":"Joint diseases and related surgery","FirstCategoryId":"1085","ListUrlMain":"https://doi.org/10.52312/jdrs.2025.2146","RegionNum":0,"RegionCategory":null,"ArticlePicture":[],"TitleCN":null,"AbstractTextCN":null,"PMCID":null,"EPubDate":"","PubModel":"","JCR":"Q2","JCRName":"ORTHOPEDICS","Score":null,"Total":0}
引用次数: 0

Abstract

Objectives: The aim of the study was to evaluate the relationships between common pathologies and anatomical variations in the foot & ankle using magnetic resonance imaging (MRI).

Patients and methods: Between January 2016 and December 2020, a total of 849 ankle MRIs (427 right foot, 422 left foot) in 738 patients (274 males, 464 females; mean age: 43.4±14.3 years; range, 15 to 70 years) were retrospectively analyzed. Among ankle pathologies, peroneal and flexor hallucis longus (FHL) tendinopathies were evaluated. Among the anatomical variations, retromalleolar fibular groove (RMFG) shape, os peroneum, os trigonum, peroneus quartus (PQ), flexor digitorum accessorius longus (FDAL), low-lying peroneus brevis (PB) and FHL muscles were examined. The distance of the PB and FHL musculotendinous junctions (MTJs) from designated reference points was measured. Cut-off values for PB and FHL musculotendinous junction distances were determined by receiver operating characteristic (ROC) analysis. For the reliability analysis of measurements performed by two researchers, intraclass correlation coefficient (ICC) values were calculated.

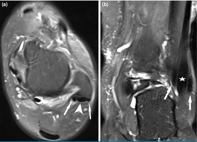
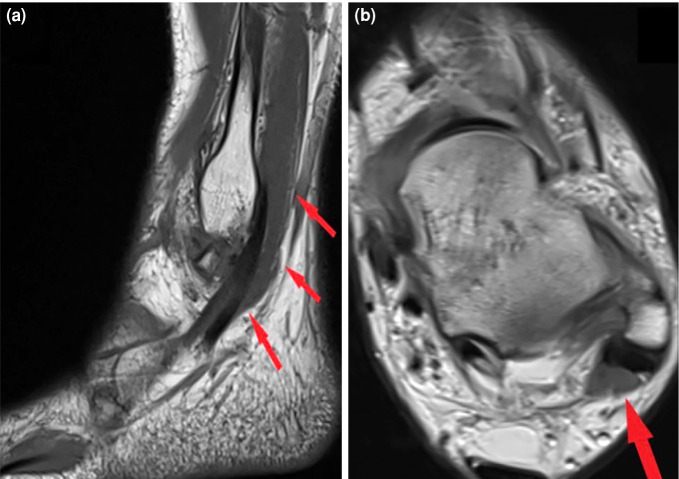
Results: Bilateral ankle MRIs of 111 patients were evaluated. The PB, PL, and FHL tenosynovitis were observed in 29.6%, 34.9%, and 38.8% of all ankles, respectively. The PB and PL tendon tears were found in 12.2% and 3.9%, respectively. A total of 47.1% of the RMFG shapes were concave, 36.7% were flat, 12.4% were convex, and 3.8% were irregular. The PQ, FDAL, os peroneum, and os trigonum were detected in 13.8%, 3.1%, 16.6%, and 20.5% of the ankles, respectively. The cut-off value of PB MTJ distance that would cause a PB tendon tear was 4.40 mm distal from reference point. The cut-off value of FHL MTJ distance that would cause FHL tendinopathy was 4.15 mm distal from reference point. The study had a statistically significantly high level of consistency between the experts (ICC=0.85).

Conclusion: The convex and irregular shapes of the RMFG, along with the anatomical variations of the os peroneum and low-lying PB muscle, constitute risk factors for peroneal tendon pathologies. The presence of the os trigonum and low-lying FHL muscle anatomical variations predispose individuals to FHL tendinopathies. The cut-off values that could lead to PB vertical tears and FHL tendinopathy were identified for the low-lying PB and FHL muscles, respectively.

Abstract Image

Abstract Image

Abstract Image

用磁共振成像评价849例研究人群足踝病变与解剖变异之间的关系。
目的:本研究的目的是利用磁共振成像(MRI)评估足部和踝关节常见病理与解剖变异之间的关系。患者和方法:2016年1月至2020年12月,738例患者(男性274例,女性464例;平均年龄:43.4±14.3岁;年龄范围15至70岁)进行回顾性分析。在踝关节病变中,腓骨和拇长屈肌(FHL)肌腱病变进行了评估。解剖变异包括踝后腓骨沟(RMFG)形状、腓骨肌、腓骨三角肌、腓骨四分肌(PQ)、指长副屈肌(FDAL)、腓骨短肌(PB)和腓骨短肌(FHL)。测量PB和FHL肌腱连接(MTJs)与指定参考点的距离。通过受试者工作特征(ROC)分析确定PB和FHL肌腱连接距离的截止值。为了对两位研究者进行的测量进行信度分析,计算了类内相关系数(ICC)值。结果:对111例患者进行双侧踝关节mri检查。PB、PL和FHL肌腱滑膜炎分别占所有踝关节的29.6%、34.9%和38.8%。PB和PL肌腱撕裂分别占12.2%和3.9%。共47.1%的RMFG形状为凹形,36.7%为平形,12.4%为凸形,3.8%为不规则形。PQ、FDAL、腓骨肌和三角肌分别占踝关节的13.8%、3.1%、16.6%和20.5%。导致PB肌腱撕裂的MTJ距离临界值为参考点远端4.40 mm。导致FHL肌腱病变的FHL MTJ距离的临界值为参考点远端4.15 mm。该研究在专家之间具有统计学上显著的高水平一致性(ICC=0.85)。结论:RMFG的凸起和不规则形状,以及腓骨肌和低洼PB肌的解剖变异是腓肌腱病变的危险因素。三角肌和低洼FHL肌肉解剖变异的存在使个体易患FHL肌腱病。对于低洼的PB和FHL肌肉,分别确定了可能导致PB垂直撕裂和FHL肌腱病变的临界值。
本文章由计算机程序翻译,如有差异,请以英文原文为准。
求助全文
约1分钟内获得全文 求助全文
来源期刊
CiteScore
2.50
自引率
0.00%
发文量
0
×
引用
GB/T 7714-2015
复制
MLA
复制
APA
复制
导出至
BibTeX EndNote RefMan NoteFirst NoteExpress
×
提示
您的信息不完整,为了账户安全,请先补充。
现在去补充
×
提示
您因"违规操作"
具体请查看互助需知
我知道了
×
提示
确定
请完成安全验证×
copy
已复制链接
快去分享给好友吧!
我知道了
右上角分享
点击右上角分享
0
联系我们:info@booksci.cn Book学术提供免费学术资源搜索服务,方便国内外学者检索中英文文献。致力于提供最便捷和优质的服务体验。 Copyright © 2023 布克学术 All rights reserved.
京ICP备2023020795号-1
ghs 京公网安备 11010802042870号
Book学术文献互助
Book学术文献互助群
群 号:604180095
Book学术官方微信