A Corticotropin-Secreting Adenoma in the Setting of von Hippel-Lindau Disease.

JCEM case reports Pub Date : 2025-04-10 eCollection Date: 2025-05-01 DOI:10.1210/jcemcr/luaf055
Xiaoxue Chen, Yue Zhou, Lin Lu, Ming Feng, Linjie Wang, Anli Tong
{"title":"A Corticotropin-Secreting Adenoma in the Setting of von Hippel-Lindau Disease.","authors":"Xiaoxue Chen, Yue Zhou, Lin Lu, Ming Feng, Linjie Wang, Anli Tong","doi":"10.1210/jcemcr/luaf055","DOIUrl":null,"url":null,"abstract":"<p><p>Von Hippel-Lindau (VHL) disease is an autosomal dominant disorder caused by germline pathogenic variants of the <i>VHL</i> gene, which can lead to abnormal growth of blood vessels and cause the development of benign or malignant tumors, as well as cysts in diverse organs. To date, no case reports have documented adrenocorticotropic hormone (ACTH)-secreting adenomas in individuals with VHL disease. We present the case of a 19-year-old female individual with VHL disease who developed an ACTH-secreting adenoma alongside hemangioblastomas in the central nervous system (CNS) and cystic lesions in diverse organ systems. Genetic testing and immunohistochemistry of the pituitary tumor were performed. Genetic testing revealed that the patient carried the familial germline pathogenic variant located in the first exon of the <i>VHL</i> gene (c.227_229del, p.76delF). Immunohistochemical staining of the pituitary tumor demonstrated positive for ACTH, chromogranin A, and synaptophysin, with Ki-67 index at 3%. In addition, tumor cells showed scattered immunoreactivity for the α subunit of hypoxia-inducible factor (HIF-1α). This case suggests that VHL disease might be associated with ACTH-secreting adenomas and broadens the tumor spectrum.</p>","PeriodicalId":73540,"journal":{"name":"JCEM case reports","volume":"3 5","pages":"luaf055"},"PeriodicalIF":0.0000,"publicationDate":"2025-04-10","publicationTypes":"Journal Article","fieldsOfStudy":null,"isOpenAccess":false,"openAccessPdf":"https://www.ncbi.nlm.nih.gov/pmc/articles/PMC11982611/pdf/","citationCount":"0","resultStr":null,"platform":"Semanticscholar","paperid":null,"PeriodicalName":"JCEM case reports","FirstCategoryId":"1085","ListUrlMain":"https://doi.org/10.1210/jcemcr/luaf055","RegionNum":0,"RegionCategory":null,"ArticlePicture":[],"TitleCN":null,"AbstractTextCN":null,"PMCID":null,"EPubDate":"2025/5/1 0:00:00","PubModel":"eCollection","JCR":"","JCRName":"","Score":null,"Total":0}
引用次数: 0

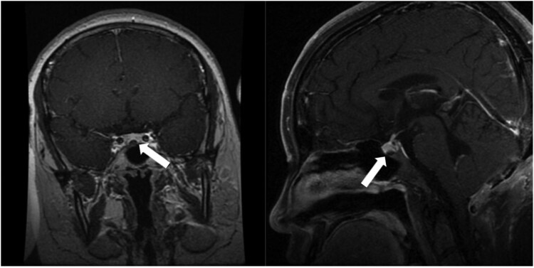
Abstract

Von Hippel-Lindau (VHL) disease is an autosomal dominant disorder caused by germline pathogenic variants of the VHL gene, which can lead to abnormal growth of blood vessels and cause the development of benign or malignant tumors, as well as cysts in diverse organs. To date, no case reports have documented adrenocorticotropic hormone (ACTH)-secreting adenomas in individuals with VHL disease. We present the case of a 19-year-old female individual with VHL disease who developed an ACTH-secreting adenoma alongside hemangioblastomas in the central nervous system (CNS) and cystic lesions in diverse organ systems. Genetic testing and immunohistochemistry of the pituitary tumor were performed. Genetic testing revealed that the patient carried the familial germline pathogenic variant located in the first exon of the VHL gene (c.227_229del, p.76delF). Immunohistochemical staining of the pituitary tumor demonstrated positive for ACTH, chromogranin A, and synaptophysin, with Ki-67 index at 3%. In addition, tumor cells showed scattered immunoreactivity for the α subunit of hypoxia-inducible factor (HIF-1α). This case suggests that VHL disease might be associated with ACTH-secreting adenomas and broadens the tumor spectrum.

Abstract Image

Abstract Image

Abstract Image

希佩尔-林道病并发促肾上腺皮质激素分泌腺瘤。
Von Hippel-Lindau (VHL)病是由VHL基因的种系致病性变异引起的常染色体显性疾病,可导致血管异常生长,导致良性或恶性肿瘤的发展,以及多种器官的囊肿。到目前为止,没有病例报告记录了VHL疾病患者分泌促肾上腺皮质激素(ACTH)的腺瘤。我们报告了一例19岁女性VHL患者,她在中枢神经系统(CNS)发展为acth分泌腺瘤和血管母细胞瘤,并在多个器官系统中出现囊性病变。对垂体瘤进行基因检测和免疫组化。基因检测显示患者携带位于VHL基因第一外显子的家族性种系致病变异(c.227_229del, p.76delF)。垂体瘤免疫组化染色显示ACTH、嗜铬粒蛋白A、突触素阳性,Ki-67指数为3%。此外,肿瘤细胞对缺氧诱导因子(HIF-1α) α亚基表现出分散的免疫反应性。本病例提示VHL疾病可能与acth分泌腺瘤相关,拓宽了肿瘤谱。
本文章由计算机程序翻译,如有差异,请以英文原文为准。
求助全文
约1分钟内获得全文 求助全文
来源期刊
自引率
0.00%
发文量
0
×
引用
GB/T 7714-2015
复制
MLA
复制
APA
复制
导出至
BibTeX EndNote RefMan NoteFirst NoteExpress
×
提示
您的信息不完整,为了账户安全,请先补充。
现在去补充
×
提示
您因"违规操作"
具体请查看互助需知
我知道了
×
提示
确定
请完成安全验证×
copy
已复制链接
快去分享给好友吧!
我知道了
右上角分享
点击右上角分享
0
联系我们:info@booksci.cn Book学术提供免费学术资源搜索服务,方便国内外学者检索中英文文献。致力于提供最便捷和优质的服务体验。 Copyright © 2023 布克学术 All rights reserved.
京ICP备2023020795号-1
ghs 京公网安备 11010802042870号
Book学术文献互助
Book学术文献互助群
群 号:604180095
Book学术官方微信