Assessing Acute DWI Lesions in Clinically Diagnosed TIA: Insights from a Cohort Study in Cluj, Romania.

IF 2.2 4区 医学 Q2 RADIOLOGY, NUCLEAR MEDICINE & MEDICAL IMAGING
Khaled Abu Arif, Ioan Stefan Florian, Alexandru Ioan Florian, Alina Vasilica Blesneag, Enola Maer, Răzvan Mircea Cherecheș
{"title":"Assessing Acute DWI Lesions in Clinically Diagnosed TIA: Insights from a Cohort Study in Cluj, Romania.","authors":"Khaled Abu Arif, Ioan Stefan Florian, Alexandru Ioan Florian, Alina Vasilica Blesneag, Enola Maer, Răzvan Mircea Cherecheș","doi":"10.3390/tomography11040040","DOIUrl":null,"url":null,"abstract":"<p><strong>Background: </strong>The updated definition of a TIA emphasizes tissue characteristics rather than symptom duration, defining a TIA as a transient neurological episode without ischemic lesions in brain imaging, including in DWI. If imaging reveals a lesion, even in patients with transient symptoms, the event is reclassified as a minor ischemic stroke.</p><p><strong>Objective: </strong>This retrospective observational study aimed to determine the prevalence of ischemic lesions in DWI in patients with a TIA diagnosis.</p><p><strong>Results: </strong>Adults aged 18-90 years, diagnosed with a TIA by a neurologist and who underwent MRI-DWI at CMT hospital within the first week after symptom onset (May 2023-July 2024), were included. Ethical approval was obtained. Descriptive statistics summarized patient demographics, clinical features, Fazekas scale grades, and imaging findings.</p><p><strong>Conclusions: </strong>Among the 26 patients clinically diagnosed with TIAs, 7 (26.9%) exhibited ischemic lesions in DWI, reclassifying these cases as minor ischemic strokes under the updated definition. The prevalence of ischemic lesions was notably higher in patients with comorbidities such as hypertension and diabetes. These findings highlight the importance of early MRI-DWI to accurately distinguish TIAs from minor ischemic strokes. Routine urgent DWI within the first week of TIA symptoms enhances diagnosis and risk stratification and can guide targeted stroke prevention strategies, particularly when combined with the ABCD2 score.</p>","PeriodicalId":51330,"journal":{"name":"Tomography","volume":"11 4","pages":""},"PeriodicalIF":2.2000,"publicationDate":"2025-03-27","publicationTypes":"Journal Article","fieldsOfStudy":null,"isOpenAccess":false,"openAccessPdf":"https://www.ncbi.nlm.nih.gov/pmc/articles/PMC12031323/pdf/","citationCount":"0","resultStr":null,"platform":"Semanticscholar","paperid":null,"PeriodicalName":"Tomography","FirstCategoryId":"3","ListUrlMain":"https://doi.org/10.3390/tomography11040040","RegionNum":4,"RegionCategory":"医学","ArticlePicture":[],"TitleCN":null,"AbstractTextCN":null,"PMCID":null,"EPubDate":"","PubModel":"","JCR":"Q2","JCRName":"RADIOLOGY, NUCLEAR MEDICINE & MEDICAL IMAGING","Score":null,"Total":0}
引用次数: 0

Abstract

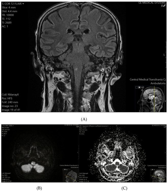
Background: The updated definition of a TIA emphasizes tissue characteristics rather than symptom duration, defining a TIA as a transient neurological episode without ischemic lesions in brain imaging, including in DWI. If imaging reveals a lesion, even in patients with transient symptoms, the event is reclassified as a minor ischemic stroke.

Objective: This retrospective observational study aimed to determine the prevalence of ischemic lesions in DWI in patients with a TIA diagnosis.

Results: Adults aged 18-90 years, diagnosed with a TIA by a neurologist and who underwent MRI-DWI at CMT hospital within the first week after symptom onset (May 2023-July 2024), were included. Ethical approval was obtained. Descriptive statistics summarized patient demographics, clinical features, Fazekas scale grades, and imaging findings.

Conclusions: Among the 26 patients clinically diagnosed with TIAs, 7 (26.9%) exhibited ischemic lesions in DWI, reclassifying these cases as minor ischemic strokes under the updated definition. The prevalence of ischemic lesions was notably higher in patients with comorbidities such as hypertension and diabetes. These findings highlight the importance of early MRI-DWI to accurately distinguish TIAs from minor ischemic strokes. Routine urgent DWI within the first week of TIA symptoms enhances diagnosis and risk stratification and can guide targeted stroke prevention strategies, particularly when combined with the ABCD2 score.

Abstract Image

Abstract Image

Abstract Image

评估临床诊断为TIA的急性DWI病变:来自罗马尼亚克鲁日队列研究的见解。
背景:TIA的最新定义强调组织特征而不是症状持续时间,将TIA定义为脑成像(包括DWI)中没有缺血性病变的一过性神经系统发作。如果影像学显示病变,即使患者有短暂症状,也应重新归类为轻微缺血性中风。目的:本回顾性观察研究旨在确定TIA诊断的DWI患者缺血性病变的患病率。结果:纳入了18-90岁的成年人,由神经科医生诊断为TIA,并在症状出现后的第一周(2023年5月至2024年7月)在CMT医院接受了MRI-DWI检查。获得伦理批准。描述性统计总结了患者的人口统计学特征、临床特征、Fazekas量表分级和影像学结果。结论:在26例临床诊断为TIAs的患者中,7例(26.9%)在DWI上表现为缺血性病变,在更新的定义下,这些病例被重新归类为轻微缺血性卒中。在合并高血压和糖尿病等合并症的患者中,缺血性病变的患病率明显更高。这些发现强调了早期MRI-DWI对准确区分tia和轻微缺血性卒中的重要性。TIA症状出现的第一周内常规紧急DWI可增强诊断和风险分层,并可指导有针对性的卒中预防策略,特别是与ABCD2评分结合使用时。
本文章由计算机程序翻译,如有差异,请以英文原文为准。
求助全文
约1分钟内获得全文 求助全文
来源期刊
Tomography
Tomography Medicine-Radiology, Nuclear Medicine and Imaging
CiteScore
2.70
自引率
10.50%
发文量
222
期刊介绍: TomographyTM publishes basic (technical and pre-clinical) and clinical scientific articles which involve the advancement of imaging technologies. Tomography encompasses studies that use single or multiple imaging modalities including for example CT, US, PET, SPECT, MR and hyperpolarization technologies, as well as optical modalities (i.e. bioluminescence, photoacoustic, endomicroscopy, fiber optic imaging and optical computed tomography) in basic sciences, engineering, preclinical and clinical medicine. Tomography also welcomes studies involving exploration and refinement of contrast mechanisms and image-derived metrics within and across modalities toward the development of novel imaging probes for image-based feedback and intervention. The use of imaging in biology and medicine provides unparalleled opportunities to noninvasively interrogate tissues to obtain real-time dynamic and quantitative information required for diagnosis and response to interventions and to follow evolving pathological conditions. As multi-modal studies and the complexities of imaging technologies themselves are ever increasing to provide advanced information to scientists and clinicians. Tomography provides a unique publication venue allowing investigators the opportunity to more precisely communicate integrated findings related to the diverse and heterogeneous features associated with underlying anatomical, physiological, functional, metabolic and molecular genetic activities of normal and diseased tissue. Thus Tomography publishes peer-reviewed articles which involve the broad use of imaging of any tissue and disease type including both preclinical and clinical investigations. In addition, hardware/software along with chemical and molecular probe advances are welcome as they are deemed to significantly contribute towards the long-term goal of improving the overall impact of imaging on scientific and clinical discovery.
×
引用
GB/T 7714-2015
复制
MLA
复制
APA
复制
导出至
BibTeX EndNote RefMan NoteFirst NoteExpress
×
提示
您的信息不完整,为了账户安全,请先补充。
现在去补充
×
提示
您因"违规操作"
具体请查看互助需知
我知道了
×
提示
确定
请完成安全验证×
copy
已复制链接
快去分享给好友吧!
我知道了
右上角分享
点击右上角分享
0
联系我们:info@booksci.cn Book学术提供免费学术资源搜索服务,方便国内外学者检索中英文文献。致力于提供最便捷和优质的服务体验。 Copyright © 2023 布克学术 All rights reserved.
京ICP备2023020795号-1
ghs 京公网安备 11010802042870号
Book学术文献互助
Book学术文献互助群
群 号:604180095
Book学术官方微信