Comparison of tendon healing using local platelet-rich plasma, erythropoietin, and erythropoietin-bevacizumab in a rat Achilles tenotomy model.

IF 1.9 Q2 ORTHOPEDICS
Ahmet Emrah Açan, Aslı Karakılıç, Mert Emre Aydın, Özgür Bulmuş, Emrah Özcan, Gülay Turan, Özge Özmen, Reşit Buğra Hüsemoğlu
{"title":"Comparison of tendon healing using local platelet-rich plasma, erythropoietin, and erythropoietin-bevacizumab in a rat Achilles tenotomy model.","authors":"Ahmet Emrah Açan, Aslı Karakılıç, Mert Emre Aydın, Özgür Bulmuş, Emrah Özcan, Gülay Turan, Özge Özmen, Reşit Buğra Hüsemoğlu","doi":"10.52312/jdrs.2025.2234","DOIUrl":null,"url":null,"abstract":"<p><strong>Objectives: </strong>This study aims to evaluate the effects of platelet-rich plasma (PRP), erythropoietin (EPO), and EPO-bevacizumab (EPO-BEVA) combination on tendon healing in a rat Achilles tenotomy model.</p><p><strong>Materials and methods: </strong>Fifty-six male Wistar albino rats (14 to 16 weeks old) were randomly assigned to control, PRP, EPO, and EPO-BEVA groups including 14 rats in each group. Bilateral Achilles tenotomy was performed under anesthesia, followed by respective treatments. Platelet-rich plasma (0.1 mL/tendon) was prepared using a Ficoll-based extraction kit. The EPO (500 U/kg) and EPO-BEVA (175 U EPO + 1.25 mg BEVA) were administered locally. Biomechanical analysis assessed maximum force, stiffness, tensile stress, and Young's modulus. Histological evaluation included Bonar scoring, collagen organization, tenocyte morphology, and vascularity. Cross-sectional area (CSA) was measured.</p><p><strong>Results: </strong>At Week 2, the EPO-BEVA group exhibited superior stiffness (14.79±6.9 N/mm) than PRP (8.64±1.5 N/mm, p=0.015) and greater tensile stress (8.2±1 MPa) than control (6.16±1.3 MPa, p=0.031). The CSA was reduced (4.79±0.8 mm<sup>2</sup>) compared to EPO (6.56±1.1 mm<sup>2</sup>, p=0.038), indicating qualitative tendon improvements. Histological analysis showed enhanced matrix organization and reduced vascularity in the EPO-BEVA group, with lower Bonar scores (5.29±1.4 vs. 9.29±1.1 in control, p=0.002). By Week 4, maximum force remained higher in EPO-BEVA (46.67±5.8 N) than control (34.84±3 N, p=0.004), with sustained Young's modulus superiority compared to EPO (3.2±1.2 MPa vs. 1.78±0.5 MPa, p=0.014), although the stiffness differences were no longer significant.</p><p><strong>Conclusion: </strong>Our study results showed that EPO-BEVA enhanced tendon healing via vascular and matrix modulation, although the lack of a BEVA-only group limits conclusions on synergy. Future studies with larger sample sizes, including BEVA monotherapy, optimized dosing strategies, and long-term evaluations are needed to better clarify these effects and refine treatment strategies in regenerative medicine.</p>","PeriodicalId":73560,"journal":{"name":"Joint diseases and related surgery","volume":"36 2","pages":"383-393"},"PeriodicalIF":1.9000,"publicationDate":"2025-04-05","publicationTypes":"Journal Article","fieldsOfStudy":null,"isOpenAccess":false,"openAccessPdf":"https://www.ncbi.nlm.nih.gov/pmc/articles/PMC12086474/pdf/","citationCount":"0","resultStr":null,"platform":"Semanticscholar","paperid":null,"PeriodicalName":"Joint diseases and related surgery","FirstCategoryId":"1085","ListUrlMain":"https://doi.org/10.52312/jdrs.2025.2234","RegionNum":0,"RegionCategory":null,"ArticlePicture":[],"TitleCN":null,"AbstractTextCN":null,"PMCID":null,"EPubDate":"","PubModel":"","JCR":"Q2","JCRName":"ORTHOPEDICS","Score":null,"Total":0}
引用次数: 0

Abstract

Objectives: This study aims to evaluate the effects of platelet-rich plasma (PRP), erythropoietin (EPO), and EPO-bevacizumab (EPO-BEVA) combination on tendon healing in a rat Achilles tenotomy model.

Materials and methods: Fifty-six male Wistar albino rats (14 to 16 weeks old) were randomly assigned to control, PRP, EPO, and EPO-BEVA groups including 14 rats in each group. Bilateral Achilles tenotomy was performed under anesthesia, followed by respective treatments. Platelet-rich plasma (0.1 mL/tendon) was prepared using a Ficoll-based extraction kit. The EPO (500 U/kg) and EPO-BEVA (175 U EPO + 1.25 mg BEVA) were administered locally. Biomechanical analysis assessed maximum force, stiffness, tensile stress, and Young's modulus. Histological evaluation included Bonar scoring, collagen organization, tenocyte morphology, and vascularity. Cross-sectional area (CSA) was measured.

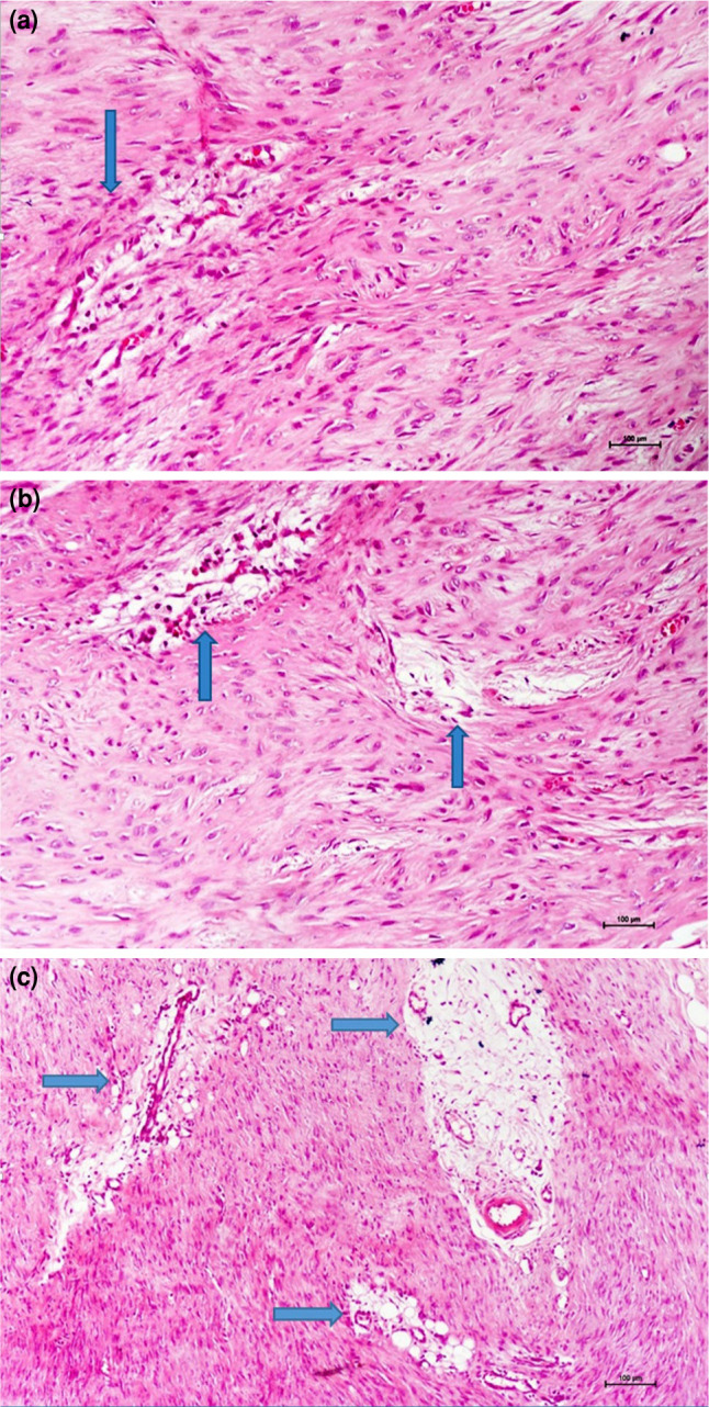
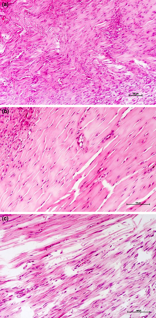
Results: At Week 2, the EPO-BEVA group exhibited superior stiffness (14.79±6.9 N/mm) than PRP (8.64±1.5 N/mm, p=0.015) and greater tensile stress (8.2±1 MPa) than control (6.16±1.3 MPa, p=0.031). The CSA was reduced (4.79±0.8 mm2) compared to EPO (6.56±1.1 mm2, p=0.038), indicating qualitative tendon improvements. Histological analysis showed enhanced matrix organization and reduced vascularity in the EPO-BEVA group, with lower Bonar scores (5.29±1.4 vs. 9.29±1.1 in control, p=0.002). By Week 4, maximum force remained higher in EPO-BEVA (46.67±5.8 N) than control (34.84±3 N, p=0.004), with sustained Young's modulus superiority compared to EPO (3.2±1.2 MPa vs. 1.78±0.5 MPa, p=0.014), although the stiffness differences were no longer significant.

Conclusion: Our study results showed that EPO-BEVA enhanced tendon healing via vascular and matrix modulation, although the lack of a BEVA-only group limits conclusions on synergy. Future studies with larger sample sizes, including BEVA monotherapy, optimized dosing strategies, and long-term evaluations are needed to better clarify these effects and refine treatment strategies in regenerative medicine.

Abstract Image

Abstract Image

Abstract Image

在大鼠跟腱切断术模型中,局部富血小板血浆、促红细胞生成素和促红细胞生成素-贝伐单抗对肌腱愈合的影响比较。
目的:本研究旨在评估富血小板血浆(PRP)、促红细胞生成素(EPO)和EPO-贝伐单抗(EPO- beva)联合用药对大鼠跟腱切断术模型肌腱愈合的影响。材料与方法:选取14 ~ 16周龄雄性Wistar白化大鼠56只,随机分为对照组、PRP组、EPO组和EPO- beva组,每组14只。麻醉下行双侧跟腱切断术,然后分别进行治疗。富血小板血浆(0.1 mL/肌腱)采用基于ficoll的提取试剂盒制备。局部给药EPO (500 U/kg)和EPO-BEVA (175 U EPO + 1.25 mg BEVA)。生物力学分析评估了最大力、刚度、拉应力和杨氏模量。组织学评价包括Bonar评分、胶原组织、细胞形态和血管。测量横截面积(CSA)。结果:在第2周,EPO-BEVA组的刚度(14.79±6.9 N/mm)优于PRP组(8.64±1.5 N/mm, p=0.015),拉应力(8.2±1 MPa)高于对照组(6.16±1.3 MPa, p=0.031)。与EPO(6.56±1.1 mm2, p=0.038)相比,CSA减少(4.79±0.8 mm2),表明定性肌腱改善。组织学分析显示,EPO-BEVA组基质组织增强,血管功能减少,Bonar评分较低(5.29±1.4比9.29±1.1,p=0.002)。到第4周,EPO- beva组的最大力(46.67±5.8 N)仍高于对照组(34.84±3 N, p=0.004),杨氏模量(3.2±1.2 MPa vs. 1.78±0.5 MPa, p=0.014)优于EPO组,但刚度差异不再显著。结论:我们的研究结果表明,EPO-BEVA通过血管和基质调节促进肌腱愈合,尽管缺乏仅beva组限制了对协同作用的结论。未来需要更大样本量的研究,包括BEVA单药治疗、优化剂量策略和长期评估,以更好地阐明这些效果并完善再生医学中的治疗策略。
本文章由计算机程序翻译,如有差异,请以英文原文为准。
求助全文
约1分钟内获得全文 求助全文
来源期刊
CiteScore
2.50
自引率
0.00%
发文量
0
×
引用
GB/T 7714-2015
复制
MLA
复制
APA
复制
导出至
BibTeX EndNote RefMan NoteFirst NoteExpress
×
提示
您的信息不完整,为了账户安全,请先补充。
现在去补充
×
提示
您因"违规操作"
具体请查看互助需知
我知道了
×
提示
确定
请完成安全验证×
copy
已复制链接
快去分享给好友吧!
我知道了
右上角分享
点击右上角分享
0
联系我们:info@booksci.cn Book学术提供免费学术资源搜索服务,方便国内外学者检索中英文文献。致力于提供最便捷和优质的服务体验。 Copyright © 2023 布克学术 All rights reserved.
京ICP备2023020795号-1
ghs 京公网安备 11010802042870号
Book学术文献互助
Book学术文献互助群
群 号:604180095
Book学术官方微信