A Case Series Study of Solitary Mucosal Neuroma-Rare Cases of Benign Peripheral Neurogenic Tumours.

IF 1.9 Q3 PATHOLOGY
Clinical Pathology Pub Date : 2024-12-23 eCollection Date: 2024-01-01 DOI:10.1177/2632010X241306593
Yu Takayama, Satoshi Yokoo, Takahiro Yamaguchi, Keisuke Suzuki, Takahiro Shimizu, Masaru Ogawa, Akinori Gomi, Mai Seki, Takaya Makiguchi
{"title":"A Case Series Study of Solitary Mucosal Neuroma-Rare Cases of Benign Peripheral Neurogenic Tumours.","authors":"Yu Takayama, Satoshi Yokoo, Takahiro Yamaguchi, Keisuke Suzuki, Takahiro Shimizu, Masaru Ogawa, Akinori Gomi, Mai Seki, Takaya Makiguchi","doi":"10.1177/2632010X241306593","DOIUrl":null,"url":null,"abstract":"<p><strong>Aim/objective: </strong>Mucosal neuroma (MN) is a benign peripheral nerve tumour that usually occurs as a symptom of multiple endocrine neoplasia type 2B (MEN2B) (MEN2B-associated MN). MN that is not associated with MEN2B is termed solitary mucosal neuroma (SMN). We present a case of SMN in the upper gingiva and examine previously reported cases.</p><p><strong>Methods: </strong>The study included nine patients (eight from seven articles and one from this study) with SMN. Age of onset, sex, disease duration, tumour site, clinical findings including subjective symptoms, diagnostic method, treatment, prognosis and relationship with MEN2B were investigated in these nine patients.</p><p><strong>Results and conclusion: </strong>SMN is thought to be caused by the overproduction of nerve growth factors due to trauma or chronic continuous stimulation, whereas MEN2B-associated MN is caused by GNDF-induced hyperplasia. Considering the pathogenesis of their development, both diseases exhibit hyperplasia of the nerve fibre bundles and have the same histological type of hypertrophy. MNs (SMN and MEN2B-induced MN) must be differentiated from benign peripheral neurogenic tumours. Morphological recognition and immunohistopathological analyses make this differentiation possible.</p>","PeriodicalId":53204,"journal":{"name":"Clinical Pathology","volume":"17 ","pages":"2632010X241306593"},"PeriodicalIF":1.9000,"publicationDate":"2024-12-23","publicationTypes":"Journal Article","fieldsOfStudy":null,"isOpenAccess":false,"openAccessPdf":"https://www.ncbi.nlm.nih.gov/pmc/articles/PMC11672371/pdf/","citationCount":"0","resultStr":null,"platform":"Semanticscholar","paperid":null,"PeriodicalName":"Clinical Pathology","FirstCategoryId":"1085","ListUrlMain":"https://doi.org/10.1177/2632010X241306593","RegionNum":0,"RegionCategory":null,"ArticlePicture":[],"TitleCN":null,"AbstractTextCN":null,"PMCID":null,"EPubDate":"2024/1/1 0:00:00","PubModel":"eCollection","JCR":"Q3","JCRName":"PATHOLOGY","Score":null,"Total":0}
引用次数: 0

Abstract

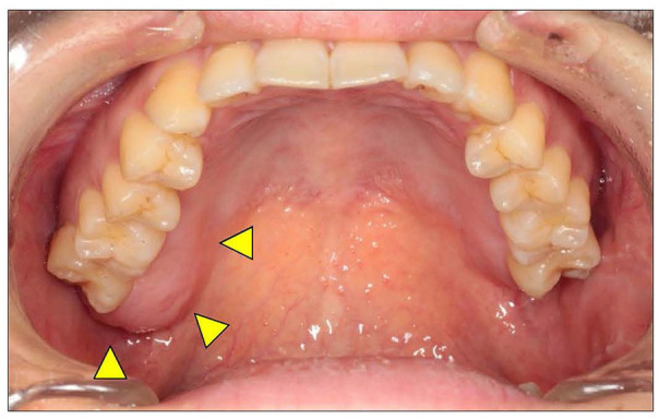
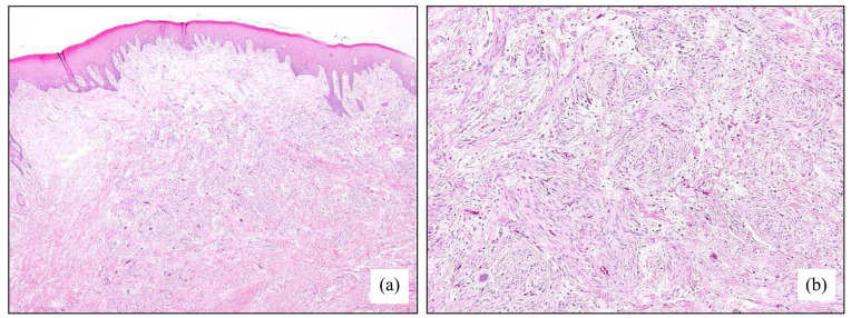
Aim/objective: Mucosal neuroma (MN) is a benign peripheral nerve tumour that usually occurs as a symptom of multiple endocrine neoplasia type 2B (MEN2B) (MEN2B-associated MN). MN that is not associated with MEN2B is termed solitary mucosal neuroma (SMN). We present a case of SMN in the upper gingiva and examine previously reported cases.

Methods: The study included nine patients (eight from seven articles and one from this study) with SMN. Age of onset, sex, disease duration, tumour site, clinical findings including subjective symptoms, diagnostic method, treatment, prognosis and relationship with MEN2B were investigated in these nine patients.

Results and conclusion: SMN is thought to be caused by the overproduction of nerve growth factors due to trauma or chronic continuous stimulation, whereas MEN2B-associated MN is caused by GNDF-induced hyperplasia. Considering the pathogenesis of their development, both diseases exhibit hyperplasia of the nerve fibre bundles and have the same histological type of hypertrophy. MNs (SMN and MEN2B-induced MN) must be differentiated from benign peripheral neurogenic tumours. Morphological recognition and immunohistopathological analyses make this differentiation possible.

Abstract Image

Abstract Image

Abstract Image

孤立性粘膜神经-少见的良性周围神经源性肿瘤病例系列研究。
目的/目的:粘膜神经瘤(MN)是一种良性周围神经肿瘤,通常作为多发性内分泌瘤2B型(MEN2B-associated MN)的症状发生。与MEN2B无关的MN被称为孤立性粘膜神经瘤(SMN)。我们提出了一例上牙龈的SMN,并检查了以前报道的病例。方法:本研究纳入9例SMN患者(8例来自7篇文章,1例来自本研究)。研究9例患者的发病年龄、性别、病程、肿瘤部位、临床表现(包括主观症状)、诊断方法、治疗方法、预后及与MEN2B的关系。结果和结论:SMN被认为是由创伤或慢性持续刺激引起的神经生长因子过量产生引起的,而men2b相关的MN是由gndf诱导的增生引起的。考虑到它们的发病机制,这两种疾病都表现为神经纤维束的增生,并且具有相同的肥大的组织学类型。MNs (SMN和men2b诱导的MN)必须与良性周围神经源性肿瘤区分开来。形态识别和免疫组织病理学分析使这种分化成为可能。
本文章由计算机程序翻译,如有差异,请以英文原文为准。
求助全文
约1分钟内获得全文 求助全文
来源期刊
Clinical Pathology
Clinical Pathology PATHOLOGY-
CiteScore
2.20
自引率
7.70%
发文量
66
×
引用
GB/T 7714-2015
复制
MLA
复制
APA
复制
导出至
BibTeX EndNote RefMan NoteFirst NoteExpress
×
提示
您的信息不完整,为了账户安全,请先补充。
现在去补充
×
提示
您因"违规操作"
具体请查看互助需知
我知道了
×
提示
确定
请完成安全验证×
copy
已复制链接
快去分享给好友吧!
我知道了
右上角分享
点击右上角分享
0
联系我们:info@booksci.cn Book学术提供免费学术资源搜索服务,方便国内外学者检索中英文文献。致力于提供最便捷和优质的服务体验。 Copyright © 2023 布克学术 All rights reserved.
京ICP备2023020795号-1
ghs 京公网安备 11010802042870号
Book学术文献互助
Book学术文献互助群
群 号:604180095
Book学术官方微信