Functional Suppression of a Prolactinoma by a Dopamine-Secreting Paraganglioma.

JCEM case reports Pub Date : 2025-04-22 eCollection Date: 2025-06-01 DOI:10.1210/jcemcr/luaf080
Tamaryn Fox, Leor Needleman, Krishna L Bharani, Frederick Mihm, Justin P Annes, Julia J Chang
{"title":"Functional Suppression of a Prolactinoma by a Dopamine-Secreting Paraganglioma.","authors":"Tamaryn Fox, Leor Needleman, Krishna L Bharani, Frederick Mihm, Justin P Annes, Julia J Chang","doi":"10.1210/jcemcr/luaf080","DOIUrl":null,"url":null,"abstract":"<p><p>Prolactin-secreting pituitary adenomas are typically treated with dopamine agonists to inhibit prolactin secretion and reduce tumor size. Dopamine-secreting paragangliomas are rare neuroendocrine tumors of sympathetic and parasympathetic paraganglia and often do not provoke symptoms of catecholamine excess. Although overlapping genetic drivers have been described for paragangliomas and pituitary adenomas, biochemical crosstalk between coexisting tumors is underexplored. We describe the case of a 52-year-old male individual who presented with cerebrospinal fluid (CSF) rhinorrhea and was found to have an invasive, 4.2-cm pituitary mass with modestly elevated prolactin (130.9 ng/mL [130.9 µg/L], reference range [RR] 2-18 ng/mL [2-18 µg/L]). Additional imaging discovered a mediastinal mass suspicious for a thoracic paraganglioma. Biochemical screening demonstrated marked elevation of plasma and urinary dopamine. Following paraganglioma resection, dopamine levels normalized, but prolactin rose significantly (877.8 ng/mL [877.8 µg/L]), suggesting an endogenous dopamine agonist-like effect from the paraganglioma to suppress pituitary prolactin hypersecretion. Pituitary pathology was notable for a PIT1 (pituitary transcription factor-1)-lineage pituitary adenoma with absent immunohistochemical staining for prolactin. Genetic testing found a previously unreported germline <i>SDHC</i> variant of uncertain significance. In this case, we report a novel biologic signaling mechanism between 2 rare primary endocrine tumors and highlight challenges in their diagnosis and management.</p>","PeriodicalId":73540,"journal":{"name":"JCEM case reports","volume":"3 6","pages":"luaf080"},"PeriodicalIF":0.0000,"publicationDate":"2025-04-22","publicationTypes":"Journal Article","fieldsOfStudy":null,"isOpenAccess":false,"openAccessPdf":"https://www.ncbi.nlm.nih.gov/pmc/articles/PMC12011523/pdf/","citationCount":"0","resultStr":null,"platform":"Semanticscholar","paperid":null,"PeriodicalName":"JCEM case reports","FirstCategoryId":"1085","ListUrlMain":"https://doi.org/10.1210/jcemcr/luaf080","RegionNum":0,"RegionCategory":null,"ArticlePicture":[],"TitleCN":null,"AbstractTextCN":null,"PMCID":null,"EPubDate":"2025/6/1 0:00:00","PubModel":"eCollection","JCR":"","JCRName":"","Score":null,"Total":0}
引用次数: 0

Abstract

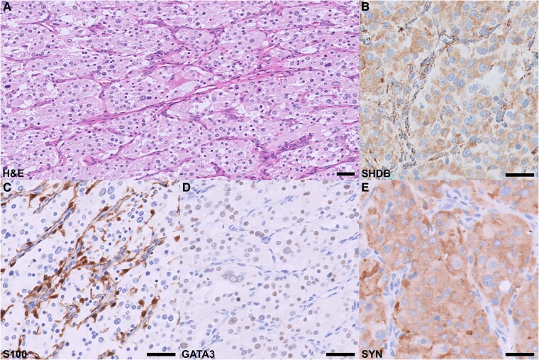
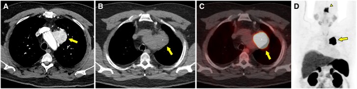
Prolactin-secreting pituitary adenomas are typically treated with dopamine agonists to inhibit prolactin secretion and reduce tumor size. Dopamine-secreting paragangliomas are rare neuroendocrine tumors of sympathetic and parasympathetic paraganglia and often do not provoke symptoms of catecholamine excess. Although overlapping genetic drivers have been described for paragangliomas and pituitary adenomas, biochemical crosstalk between coexisting tumors is underexplored. We describe the case of a 52-year-old male individual who presented with cerebrospinal fluid (CSF) rhinorrhea and was found to have an invasive, 4.2-cm pituitary mass with modestly elevated prolactin (130.9 ng/mL [130.9 µg/L], reference range [RR] 2-18 ng/mL [2-18 µg/L]). Additional imaging discovered a mediastinal mass suspicious for a thoracic paraganglioma. Biochemical screening demonstrated marked elevation of plasma and urinary dopamine. Following paraganglioma resection, dopamine levels normalized, but prolactin rose significantly (877.8 ng/mL [877.8 µg/L]), suggesting an endogenous dopamine agonist-like effect from the paraganglioma to suppress pituitary prolactin hypersecretion. Pituitary pathology was notable for a PIT1 (pituitary transcription factor-1)-lineage pituitary adenoma with absent immunohistochemical staining for prolactin. Genetic testing found a previously unreported germline SDHC variant of uncertain significance. In this case, we report a novel biologic signaling mechanism between 2 rare primary endocrine tumors and highlight challenges in their diagnosis and management.

Abstract Image

Abstract Image

Abstract Image

分泌多巴胺的副神经节瘤对泌乳素瘤的功能抑制。
分泌催乳素的垂体腺瘤通常使用多巴胺激动剂来抑制催乳素分泌并减小肿瘤大小。多巴胺分泌副神经节瘤是罕见的交感和副交感副神经节神经内分泌肿瘤,通常不会引起儿茶酚胺过量的症状。虽然已经描述了副神经节瘤和垂体腺瘤的重叠遗传驱动,但共存肿瘤之间的生化串扰尚未得到充分探讨。我们报告了一例52岁男性患者,其表现为脑脊液(CSF)鼻漏,并发现有一个侵袭性的4.2 cm垂体肿块,泌乳素适度升高(130.9 ng/mL[130.9µg/L],参考范围[RR] 2-18 ng/mL[2-18µg/L])。附加影像发现一纵隔肿块,怀疑为胸副神经节瘤。生化检查显示血浆和尿中多巴胺明显升高。副神经节瘤切除后,多巴胺水平恢复正常,但催乳素明显升高(877.8 ng/mL[877.8µg/L]),提示副神经节瘤具有内源性多巴胺激动剂样抑制垂体催乳素高分泌的作用。垂体病理表现为垂体转录因子1 (PIT1)谱系垂体腺瘤,未见催乳素免疫组化染色。基因检测发现以前未报道的种系SDHC变异不确定的意义。在这种情况下,我们报告了两种罕见的原发性内分泌肿瘤之间的新的生物信号传导机制,并强调了其诊断和治疗的挑战。
本文章由计算机程序翻译,如有差异,请以英文原文为准。
求助全文
约1分钟内获得全文 求助全文
来源期刊
自引率
0.00%
发文量
0
×
引用
GB/T 7714-2015
复制
MLA
复制
APA
复制
导出至
BibTeX EndNote RefMan NoteFirst NoteExpress
×
提示
您的信息不完整,为了账户安全,请先补充。
现在去补充
×
提示
您因"违规操作"
具体请查看互助需知
我知道了
×
提示
确定
请完成安全验证×
copy
已复制链接
快去分享给好友吧!
我知道了
右上角分享
点击右上角分享
0
联系我们:info@booksci.cn Book学术提供免费学术资源搜索服务,方便国内外学者检索中英文文献。致力于提供最便捷和优质的服务体验。 Copyright © 2023 布克学术 All rights reserved.
京ICP备2023020795号-1
ghs 京公网安备 11010802042870号
Book学术文献互助
Book学术文献互助群
群 号:604180095
Book学术官方微信