Bilateral Elastofibroma Dorsi in a Symptomatic Male Patient: Is Surgical Resection Justified? A Case Report.

IF 1 Q4 Medicine
Journal of Chest Surgery Pub Date : 2025-09-05 Epub Date: 2025-04-15 DOI:10.5090/jcs.25.005
Ahmed Gamal Elkhouly, Faisal Hamad, Al Anoud Al Saud, Mohammed Saleh Ishaq
{"title":"Bilateral Elastofibroma Dorsi in a Symptomatic Male Patient: Is Surgical Resection Justified? A Case Report.","authors":"Ahmed Gamal Elkhouly, Faisal Hamad, Al Anoud Al Saud, Mohammed Saleh Ishaq","doi":"10.5090/jcs.25.005","DOIUrl":null,"url":null,"abstract":"<p><p>Elastofibroma dorsi (ED) is a rare, benign, slowly growing soft tissue neoplasm characterized by abnormal elastic fiber proliferation. There is a marked female predominance; bilateral presentation occurs in only 10% of cases. ED is usually located in the infra-scapular area, adherent to the posterior chest wall and ribs. Although many theories have been proposed regarding its pathogenesis, the exact cause remains uncertain. Preoperative diagnosis is established based on clinical picture and radiological imaging. We present a case of a 49-year-old man with bilateral ED who complained of back pain and limited shoulder movement, and who underwent simultaneous bilateral surgical removal; histopathological examination confirmed the diagnosis.</p>","PeriodicalId":34499,"journal":{"name":"Journal of Chest Surgery","volume":" ","pages":"205-208"},"PeriodicalIF":1.0000,"publicationDate":"2025-09-05","publicationTypes":"Journal Article","fieldsOfStudy":null,"isOpenAccess":false,"openAccessPdf":"https://www.ncbi.nlm.nih.gov/pmc/articles/PMC12415427/pdf/","citationCount":"0","resultStr":null,"platform":"Semanticscholar","paperid":null,"PeriodicalName":"Journal of Chest Surgery","FirstCategoryId":"1085","ListUrlMain":"https://doi.org/10.5090/jcs.25.005","RegionNum":0,"RegionCategory":null,"ArticlePicture":[],"TitleCN":null,"AbstractTextCN":null,"PMCID":null,"EPubDate":"2025/4/15 0:00:00","PubModel":"Epub","JCR":"Q4","JCRName":"Medicine","Score":null,"Total":0}
引用次数: 0

Abstract

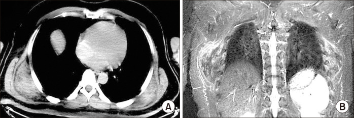
Elastofibroma dorsi (ED) is a rare, benign, slowly growing soft tissue neoplasm characterized by abnormal elastic fiber proliferation. There is a marked female predominance; bilateral presentation occurs in only 10% of cases. ED is usually located in the infra-scapular area, adherent to the posterior chest wall and ribs. Although many theories have been proposed regarding its pathogenesis, the exact cause remains uncertain. Preoperative diagnosis is established based on clinical picture and radiological imaging. We present a case of a 49-year-old man with bilateral ED who complained of back pain and limited shoulder movement, and who underwent simultaneous bilateral surgical removal; histopathological examination confirmed the diagnosis.

Abstract Image

Abstract Image

男性双侧背弹性纤维瘤患者:手术切除是否合理?一个病例报告。
背弹性纤维瘤(ED)是一种罕见的、良性的、生长缓慢的软组织肿瘤,其特征是异常的弹性纤维增生。有明显的女性优势;只有10%的病例出现双侧表现。ED通常位于肩胛下区,附着于后胸壁和肋骨。虽然关于其发病机制提出了许多理论,但确切原因仍不确定。术前诊断是根据临床表现和放射影像来确定的。我们报告一例49岁男性双侧ED患者,主诉背部疼痛和肩部活动受限,同时接受双侧手术切除;组织病理学检查证实了诊断。
本文章由计算机程序翻译,如有差异,请以英文原文为准。
求助全文
约1分钟内获得全文 求助全文
来源期刊
Journal of Chest Surgery
Journal of Chest Surgery Medicine-Surgery
CiteScore
0.80
自引率
0.00%
发文量
76
审稿时长
7 weeks
×
引用
GB/T 7714-2015
复制
MLA
复制
APA
复制
导出至
BibTeX EndNote RefMan NoteFirst NoteExpress
×
提示
您的信息不完整,为了账户安全,请先补充。
现在去补充
×
提示
您因"违规操作"
具体请查看互助需知
我知道了
×
提示
确定
请完成安全验证×
copy
已复制链接
快去分享给好友吧!
我知道了
右上角分享
点击右上角分享
0
联系我们:info@booksci.cn Book学术提供免费学术资源搜索服务,方便国内外学者检索中英文文献。致力于提供最便捷和优质的服务体验。 Copyright © 2023 布克学术 All rights reserved.
京ICP备2023020795号-1
ghs 京公网安备 11010802042870号
Book学术文献互助
Book学术文献互助群
群 号:604180095
Book学术官方微信