Heparin resistance in a patient with severe acute pancreatitis: a case report.

IF 1
Dai Rongqin, Bai Zhexin, Liu Yuzhi, Guo Zhenbin, Zhang Jinbiao
{"title":"Heparin resistance in a patient with severe acute pancreatitis: a case report.","authors":"Dai Rongqin, Bai Zhexin, Liu Yuzhi, Guo Zhenbin, Zhang Jinbiao","doi":"10.1093/labmed/lmae126","DOIUrl":null,"url":null,"abstract":"<p><strong>Introduction: </strong>Severe acute pancreatitis is a life-threatening condition characterized by systemic inflammatory response syndrome and an increased risk of complications such as venous thrombosis, all of which contributes to a high mortality rate. Heparin resistance, although rare, can lead to ineffective anticoagulation and thrombus formation during unfractionated heparin therapy, complicating management.</p><p><strong>Methods: </strong>We report a case of heparin resistance in which, despite increasing the unfractionated heparin dosage, the patient's activated partial thromboplastin time remained subtherapeutic.</p><p><strong>Results: </strong>Laboratory findings indicated normal antithrombin levels but undetectable anti-Xa activity, confirming non-antithrombin-mediated heparin resistance. A multidisciplinary approach led to the successful management of thrombosis with rivaroxaban, resulting in substantial clinical improvement.</p><p><strong>Discussion: </strong>This case highlights the importance of early recognition and management of heparin resistance in patients with severe acute pancreatitis. Combined monitoring of activated partial thromboplastin time and anti-Xa activity is crucial for optimizing anticoagulation therapy and preventing complications such as deep vein thrombosis.</p>","PeriodicalId":94124,"journal":{"name":"Laboratory medicine","volume":" ","pages":"570-576"},"PeriodicalIF":1.0000,"publicationDate":"2025-09-08","publicationTypes":"Journal Article","fieldsOfStudy":null,"isOpenAccess":false,"openAccessPdf":"https://www.ncbi.nlm.nih.gov/pmc/articles/PMC12417076/pdf/","citationCount":"0","resultStr":null,"platform":"Semanticscholar","paperid":null,"PeriodicalName":"Laboratory medicine","FirstCategoryId":"1085","ListUrlMain":"https://doi.org/10.1093/labmed/lmae126","RegionNum":0,"RegionCategory":null,"ArticlePicture":[],"TitleCN":null,"AbstractTextCN":null,"PMCID":null,"EPubDate":"","PubModel":"","JCR":"","JCRName":"","Score":null,"Total":0}
引用次数: 0

Abstract

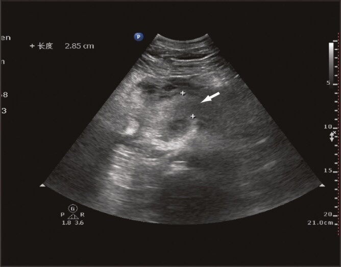
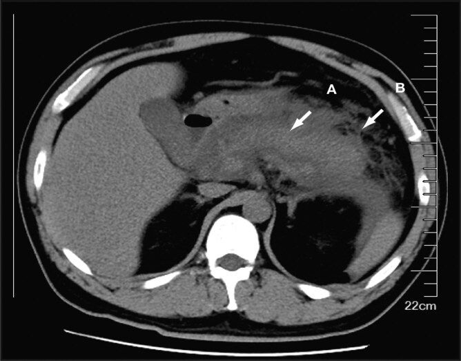
Introduction: Severe acute pancreatitis is a life-threatening condition characterized by systemic inflammatory response syndrome and an increased risk of complications such as venous thrombosis, all of which contributes to a high mortality rate. Heparin resistance, although rare, can lead to ineffective anticoagulation and thrombus formation during unfractionated heparin therapy, complicating management.

Methods: We report a case of heparin resistance in which, despite increasing the unfractionated heparin dosage, the patient's activated partial thromboplastin time remained subtherapeutic.

Results: Laboratory findings indicated normal antithrombin levels but undetectable anti-Xa activity, confirming non-antithrombin-mediated heparin resistance. A multidisciplinary approach led to the successful management of thrombosis with rivaroxaban, resulting in substantial clinical improvement.

Discussion: This case highlights the importance of early recognition and management of heparin resistance in patients with severe acute pancreatitis. Combined monitoring of activated partial thromboplastin time and anti-Xa activity is crucial for optimizing anticoagulation therapy and preventing complications such as deep vein thrombosis.

Abstract Image

Abstract Image

Abstract Image

严重急性胰腺炎患者肝素耐药1例报告。
简介:严重急性胰腺炎是一种危及生命的疾病,其特征是全身炎症反应综合征和静脉血栓形成等并发症的风险增加,所有这些都导致了高死亡率。肝素耐药,虽然罕见,可导致无效的抗凝和血栓形成在不分段肝素治疗,复杂化的管理。方法:我们报告一例肝素耐药,其中,尽管增加未分离肝素剂量,患者的活化部分凝血活酶时间仍然是亚治疗。结果:实验室结果显示抗凝血酶水平正常,但未检测到抗xa活性,证实非抗凝血酶介导的肝素耐药。多学科方法导致利伐沙班成功管理血栓形成,导致实质性的临床改善。讨论:本病例强调了早期识别和处理严重急性胰腺炎患者肝素耐药的重要性。联合监测活化的部分凝血活素时间和抗xa活性对于优化抗凝治疗和预防深静脉血栓等并发症至关重要。
本文章由计算机程序翻译,如有差异,请以英文原文为准。
求助全文
约1分钟内获得全文 求助全文
来源期刊
自引率
0.00%
发文量
0
×
引用
GB/T 7714-2015
复制
MLA
复制
APA
复制
导出至
BibTeX EndNote RefMan NoteFirst NoteExpress
×
提示
您的信息不完整,为了账户安全,请先补充。
现在去补充
×
提示
您因"违规操作"
具体请查看互助需知
我知道了
×
提示
确定
请完成安全验证×
copy
已复制链接
快去分享给好友吧!
我知道了
右上角分享
点击右上角分享
0
联系我们:info@booksci.cn Book学术提供免费学术资源搜索服务,方便国内外学者检索中英文文献。致力于提供最便捷和优质的服务体验。 Copyright © 2023 布克学术 All rights reserved.
京ICP备2023020795号-1
ghs 京公网安备 11010802042870号
Book学术文献互助
Book学术文献互助群
群 号:604180095
Book学术官方微信