Glenoid-version-measurement methods on magnetic resonance imaging: accuracy and reliability analysis.

IF 1
Gokhan Karademir, Onur Tunalı, Ata Can Atalar
{"title":"Glenoid-version-measurement methods on magnetic resonance imaging: accuracy and reliability analysis.","authors":"Gokhan Karademir, Onur Tunalı, Ata Can Atalar","doi":"10.5152/j.aott.2025.24059","DOIUrl":null,"url":null,"abstract":"<p><p>Objective: Glenoid-version-measurement methods were initially defined for computed tomography (CT) but are now used for magnetic resonance imaging (MRI). However, their accuracy and reliability on MRI have not been thoroughly investigated. The aim was to determine the accuracy of these methods on MRI and compare their reliability, hypothesizing that MRI could provide accurate measurements similar to CT using all 3 methods, with the Matsumura method having the highest reliability. Methods: Glenoid-version measurements of 40 patients (14 female, 26 males; mean age 46.5 ± 17.9 years) with glenohumeral instability were performed using the Friedman, Poon and Ting, and Matsumura methods on MRI. These measurements were compared to those on 3-dimensional corrected slices of CT scans to evaluate accuracy. Reliability was assessed by 2 observers who repeated MRI measurements after 2 months. Results: All methods demonstrated favorable accuracy. The Friedman and Matsumura methods exhibited good interobserver reliability [intraclass correlation coefficient (ICC)=0.78 (0.58-0.88) and 0.89 (0.79-0.94)], while the Poon and Ting method showed moderate reliability [ICC=0.71 (0.44-0.84)]. Intraobserver reliability was excellent for the Matsumura method [Observer 1 ICC=0.96 (0.93-0.98), Observer 2 ICC=0.86 (0.95-0.99)], good for Friedman [Observer 1 ICC=0.77 (0.57-0.88), Observer 2 ICC=0.82 (0.67-0.91)], and moderate to good for Poon and Ting [Observer 1 ICC=0.68 (0.39-0.83), Observer 2 ICC=0.82 (0.65-0.9)]. Conclusion: All 3 methods can be used confidently for MRI measurements, matching the accuracy of CT scans. The Friedman and Matsumura methods demonstrated higher interobserver and intraobserver reliabilities. Level of evidence: Level III, diagnostic study.</p>","PeriodicalId":93854,"journal":{"name":"Acta orthopaedica et traumatologica turcica","volume":"59 2","pages":"93-99"},"PeriodicalIF":1.0000,"publicationDate":"2025-04-29","publicationTypes":"Journal Article","fieldsOfStudy":null,"isOpenAccess":false,"openAccessPdf":"https://www.ncbi.nlm.nih.gov/pmc/articles/PMC12070445/pdf/","citationCount":"0","resultStr":null,"platform":"Semanticscholar","paperid":null,"PeriodicalName":"Acta orthopaedica et traumatologica turcica","FirstCategoryId":"1085","ListUrlMain":"https://doi.org/10.5152/j.aott.2025.24059","RegionNum":0,"RegionCategory":null,"ArticlePicture":[],"TitleCN":null,"AbstractTextCN":null,"PMCID":null,"EPubDate":"","PubModel":"","JCR":"","JCRName":"","Score":null,"Total":0}
引用次数: 0

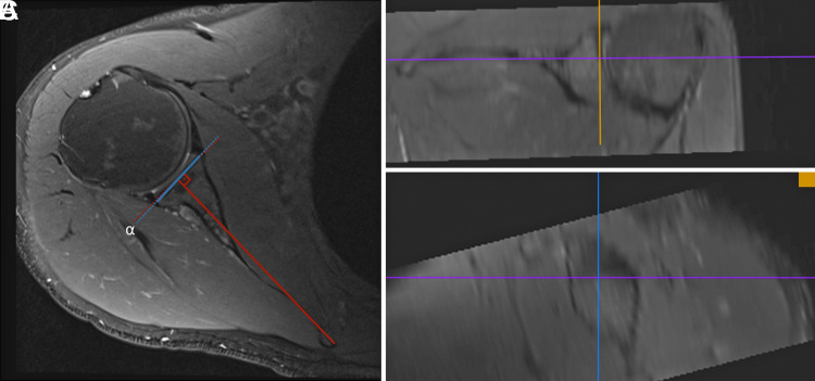
Abstract

Objective: Glenoid-version-measurement methods were initially defined for computed tomography (CT) but are now used for magnetic resonance imaging (MRI). However, their accuracy and reliability on MRI have not been thoroughly investigated. The aim was to determine the accuracy of these methods on MRI and compare their reliability, hypothesizing that MRI could provide accurate measurements similar to CT using all 3 methods, with the Matsumura method having the highest reliability. Methods: Glenoid-version measurements of 40 patients (14 female, 26 males; mean age 46.5 ± 17.9 years) with glenohumeral instability were performed using the Friedman, Poon and Ting, and Matsumura methods on MRI. These measurements were compared to those on 3-dimensional corrected slices of CT scans to evaluate accuracy. Reliability was assessed by 2 observers who repeated MRI measurements after 2 months. Results: All methods demonstrated favorable accuracy. The Friedman and Matsumura methods exhibited good interobserver reliability [intraclass correlation coefficient (ICC)=0.78 (0.58-0.88) and 0.89 (0.79-0.94)], while the Poon and Ting method showed moderate reliability [ICC=0.71 (0.44-0.84)]. Intraobserver reliability was excellent for the Matsumura method [Observer 1 ICC=0.96 (0.93-0.98), Observer 2 ICC=0.86 (0.95-0.99)], good for Friedman [Observer 1 ICC=0.77 (0.57-0.88), Observer 2 ICC=0.82 (0.67-0.91)], and moderate to good for Poon and Ting [Observer 1 ICC=0.68 (0.39-0.83), Observer 2 ICC=0.82 (0.65-0.9)]. Conclusion: All 3 methods can be used confidently for MRI measurements, matching the accuracy of CT scans. The Friedman and Matsumura methods demonstrated higher interobserver and intraobserver reliabilities. Level of evidence: Level III, diagnostic study.

Abstract Image

Abstract Image

Abstract Image

磁共振成像的关节型测量方法:准确性和可靠性分析。
目的:关节盂旋转测量方法最初用于计算机断层扫描(CT),但现在用于磁共振成像(MRI)。然而,它们在MRI上的准确性和可靠性尚未得到充分的研究。目的是确定这些方法在MRI上的准确性,并比较它们的可靠性,假设MRI可以使用所有3种方法提供类似于CT的准确测量,其中Matsumura方法具有最高的可靠性。方法:对40例患者(女性14例,男性26例;患者平均年龄46.5±17.9岁,肩关节不稳,MRI采用Friedman、Poon和Ting、Matsumura方法。将这些测量结果与CT扫描的三维校正切片进行比较,以评估准确性。可靠性由2名观察者评估,他们在2个月后重复MRI测量。结果:所有方法均具有良好的准确性。Friedman和Matsumura方法具有良好的观察者间信度[类内相关系数(ICC)=0.78(0.58-0.88)和0.89(0.79-0.94)],而Poon和Ting方法具有中等信度[ICC=0.71(0.44-0.84)]。观察者内信度对Matsumura方法来说非常好[观察者1 ICC=0.96(0.93-0.98),观察者2 ICC=0.86(0.95-0.99)],对Friedman来说很好[观察者1 ICC=0.77(0.57-0.88),观察者2 ICC=0.82(0.67-0.91)],对Poon和Ting来说中等至良好[观察者1 ICC=0.68(0.39-0.83),观察者2 ICC=0.82(0.65-0.9)]。结论:3种方法均可用于MRI测量,其准确度与CT扫描相当。Friedman和Matsumura方法显示出更高的观察者之间和观察者内部的可靠性。证据等级:III级,诊断性研究。
本文章由计算机程序翻译,如有差异,请以英文原文为准。
求助全文
约1分钟内获得全文 求助全文
来源期刊
自引率
0.00%
发文量
0
×
引用
GB/T 7714-2015
复制
MLA
复制
APA
复制
导出至
BibTeX EndNote RefMan NoteFirst NoteExpress
×
提示
您的信息不完整,为了账户安全,请先补充。
现在去补充
×
提示
您因"违规操作"
具体请查看互助需知
我知道了
×
提示
确定
请完成安全验证×
copy
已复制链接
快去分享给好友吧!
我知道了
右上角分享
点击右上角分享
0
联系我们:info@booksci.cn Book学术提供免费学术资源搜索服务,方便国内外学者检索中英文文献。致力于提供最便捷和优质的服务体验。 Copyright © 2023 布克学术 All rights reserved.
京ICP备2023020795号-1
ghs 京公网安备 11010802042870号
Book学术文献互助
Book学术文献互助群
群 号:604180095
Book学术官方微信